Detached epithelial cell plugs from the upper respiratory tract favour distal lung injury in Golden Syrian hamsters (Mesocricetus auratus) when experimentally infected with the A.2 Brazilian SARS-CoV-2 strain.

IF 2.5 4区 医学 Q2 PARASITOLOGY
Memorias do Instituto Oswaldo Cruz Pub Date : 2024-10-21 eCollection Date: 2024-01-01 DOI:10.1590/0074-02760240100
Marcelo Pelajo-Machado, Alexandre Dos Santos da Silva, Daniela Del Rosario Flores Rodrigues, Milla Bezerra Paiva, Rodrigo Muller, Luciana Jesus da Costa, Pedro Paulo Abreu Manso, João Paulo Rodrigues Dos Santos, Emanuelle de Souza Ramalho Ferreira da Silva, Arthur Daniel Rocha Alves, Jaqueline Mendes Oliveira, Marcelo Alves Pinto
{"title":"Detached epithelial cell plugs from the upper respiratory tract favour distal lung injury in Golden Syrian hamsters (Mesocricetus auratus) when experimentally infected with the A.2 Brazilian SARS-CoV-2 strain.","authors":"Marcelo Pelajo-Machado, Alexandre Dos Santos da Silva, Daniela Del Rosario Flores Rodrigues, Milla Bezerra Paiva, Rodrigo Muller, Luciana Jesus da Costa, Pedro Paulo Abreu Manso, João Paulo Rodrigues Dos Santos, Emanuelle de Souza Ramalho Ferreira da Silva, Arthur Daniel Rocha Alves, Jaqueline Mendes Oliveira, Marcelo Alves Pinto","doi":"10.1590/0074-02760240100","DOIUrl":null,"url":null,"abstract":"<p><strong>Background: </strong>The Golden Syrian hamster (Mesocricetus auratus), Ferrets (Mustela putorius furo), and macaques have been described as useful laboratory animals naturally susceptible to severe acute respiratory syndrome coronavirus 2 (SARS-CoV-2) infection.</p><p><strong>Objectives: </strong>To study the mechanism of lung injury, we describe the histopathological features of SARS-CoV-2 infection in Golden Syrian hamsters inoculated intranasally with the A.2 Brazilian strain.</p><p><strong>Methods: </strong>Hamsters were intranasally inoculated with the A.2 variant and euthanised at 3-, 5-, 10- and 15-days post-inoculation. The physical examination and body weight were recorded daily. Neutralising antibodies and viral RNA load of the respiratory tract were assessed during necropsies.</p><p><strong>Findings: </strong>The coronavirus disease 2019 (COVID-19) model presented body weight loss, high levels of respiratory viral RNA load, severe segmentary pneumonitis, and bronchial fistula besides lymphatic trapping and infiltration, like the human SARS-COV-2 pathogenesis. The presence of subepithelial lymphoeosinophilic infiltrate was highlighted in our results; it contributed to the detachment of SARS-CoV-2 nucleocapsid-positive epithelial cells resulting in the infectious cell plugs.</p><p><strong>Main conclusions: </strong>The SARS-CoV-2 caused segmentary pneumonia and vascular damage. In our comprehension, the infectious cell plugs, as being aspirated from the upper respiratory tract into the terminal bronchial lumen, work as a \"Trojan horse\", thus contributing to the dissemination of the SARS-CoV-2 infection into specific regions of the deep lung parenchyma.</p>","PeriodicalId":18469,"journal":{"name":"Memorias do Instituto Oswaldo Cruz","volume":"119 ","pages":"e240100"},"PeriodicalIF":2.5000,"publicationDate":"2024-10-21","publicationTypes":"Journal Article","fieldsOfStudy":null,"isOpenAccess":false,"openAccessPdf":"https://www.ncbi.nlm.nih.gov/pmc/articles/PMC11493349/pdf/","citationCount":"0","resultStr":null,"platform":"Semanticscholar","paperid":null,"PeriodicalName":"Memorias do Instituto Oswaldo Cruz","FirstCategoryId":"3","ListUrlMain":"https://doi.org/10.1590/0074-02760240100","RegionNum":4,"RegionCategory":"医学","ArticlePicture":[],"TitleCN":null,"AbstractTextCN":null,"PMCID":null,"EPubDate":"2024/1/1 0:00:00","PubModel":"eCollection","JCR":"Q2","JCRName":"PARASITOLOGY","Score":null,"Total":0}
引用次数: 0

Abstract

Background: The Golden Syrian hamster (Mesocricetus auratus), Ferrets (Mustela putorius furo), and macaques have been described as useful laboratory animals naturally susceptible to severe acute respiratory syndrome coronavirus 2 (SARS-CoV-2) infection.

Objectives: To study the mechanism of lung injury, we describe the histopathological features of SARS-CoV-2 infection in Golden Syrian hamsters inoculated intranasally with the A.2 Brazilian strain.

Methods: Hamsters were intranasally inoculated with the A.2 variant and euthanised at 3-, 5-, 10- and 15-days post-inoculation. The physical examination and body weight were recorded daily. Neutralising antibodies and viral RNA load of the respiratory tract were assessed during necropsies.

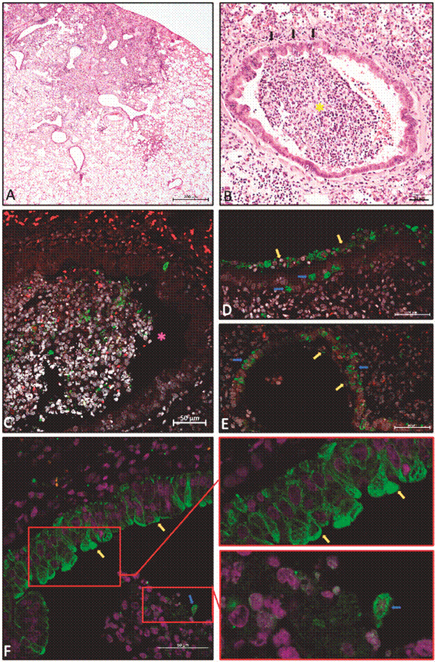
Findings: The coronavirus disease 2019 (COVID-19) model presented body weight loss, high levels of respiratory viral RNA load, severe segmentary pneumonitis, and bronchial fistula besides lymphatic trapping and infiltration, like the human SARS-COV-2 pathogenesis. The presence of subepithelial lymphoeosinophilic infiltrate was highlighted in our results; it contributed to the detachment of SARS-CoV-2 nucleocapsid-positive epithelial cells resulting in the infectious cell plugs.

Main conclusions: The SARS-CoV-2 caused segmentary pneumonia and vascular damage. In our comprehension, the infectious cell plugs, as being aspirated from the upper respiratory tract into the terminal bronchial lumen, work as a "Trojan horse", thus contributing to the dissemination of the SARS-CoV-2 infection into specific regions of the deep lung parenchyma.

Abstract Image

Abstract Image

Abstract Image

金色叙利亚仓鼠(Mesocricetus auratus)实验性感染巴西 A.2 型 SARS-CoV-2 株时,上呼吸道脱落的上皮细胞栓有利于远端肺损伤。
背景:金色叙利亚仓鼠(Mesocricetus auratus)、雪貂(Mustela putorius furo)和猕猴已被描述为对严重急性呼吸系统综合征冠状病毒 2(SARS-CoV-2)感染天然易感的有用实验动物:为了研究肺损伤的机制,我们描述了经鼻接种巴西 A.2 株的金色叙利亚仓鼠感染 SARS-CoV-2 后的组织病理学特征。每天记录仓鼠的体格检查和体重。尸体解剖时评估了中和抗体和呼吸道病毒 RNA 量:研究结果:冠状病毒病 2019(COVID-19)模型表现出体重减轻、呼吸道病毒 RNA 量高水平、严重的节段性肺炎、支气管瘘以及淋巴捕获和浸润,与人类 SARS-COV-2 发病机制相似。我们的研究结果强调了上皮下淋巴嗜酸性粒细胞浸润的存在;它有助于 SARS-CoV-2 核苷酸阳性上皮细胞的脱落,导致感染性细胞栓塞:主要结论:SARS-CoV-2 会引起节段性肺炎和血管损伤。主要结论:SARS-CoV-2 导致节段性肺炎和血管损伤。根据我们的理解,传染性细胞栓从上呼吸道吸入终末支气管管腔后,就像 "特洛伊木马 "一样发挥作用,从而促使 SARS-CoV-2 感染扩散到深部肺实质的特定区域。
本文章由计算机程序翻译,如有差异,请以英文原文为准。
求助全文
约1分钟内获得全文 求助全文
来源期刊
CiteScore
5.00
自引率
3.60%
发文量
91
审稿时长
3-8 weeks
期刊介绍: Memórias do Instituto Oswaldo Cruz is a journal specialized in microbes & their vectors causing human infections. This means that we accept manuscripts covering multidisciplinary approaches and findings in the basic aspects of infectious diseases, e.g. basic in research in prokariotes, eukaryotes, and/or virus. Articles must clearly show what is the main question to be answered, the hypothesis raised, and the contribution given by the study. Priority is given to manuscripts reporting novel mechanisms and general findings concerning the biology of human infectious prokariotes, eukariotes or virus. Papers reporting innovative methods for diagnostics or that advance the basic research with these infectious agents are also welcome. It is important to mention what we do not publish: veterinary infectious agents research, taxonomic analysis and re-description of species, epidemiological studies or surveys or case reports and data re-analysis. Manuscripts that fall in these cases or that are considered of low priority by the journal editorial board, will be returned to the author(s) for submission to another journal.
×
引用
GB/T 7714-2015
复制
MLA
复制
APA
复制
导出至
BibTeX EndNote RefMan NoteFirst NoteExpress
×
提示
您的信息不完整,为了账户安全,请先补充。
现在去补充
×
提示
您因"违规操作"
具体请查看互助需知
我知道了
×
提示
确定
请完成安全验证×
copy
已复制链接
快去分享给好友吧!
我知道了
右上角分享
点击右上角分享
0
联系我们:info@booksci.cn Book学术提供免费学术资源搜索服务,方便国内外学者检索中英文文献。致力于提供最便捷和优质的服务体验。 Copyright © 2023 布克学术 All rights reserved.
京ICP备2023020795号-1
ghs 京公网安备 11010802042870号
Book学术文献互助
Book学术文献互助群
群 号:604180095
Book学术官方微信