MRI and CT imaging characteristics in parotid tumors with false-negative fine-needle aspirations.

IF 2.4 2区 医学 Q2 DENTISTRY, ORAL SURGERY & MEDICINE
Hyun Jee Lee, Hee Jin Kang, Jong Hwan Lee, Min Kyeong Lee, Su Il Kim, Young Chan Lee, Young-Gyu Eun
{"title":"MRI and CT imaging characteristics in parotid tumors with false-negative fine-needle aspirations.","authors":"Hyun Jee Lee, Hee Jin Kang, Jong Hwan Lee, Min Kyeong Lee, Su Il Kim, Young Chan Lee, Young-Gyu Eun","doi":"10.1186/s13005-024-00467-5","DOIUrl":null,"url":null,"abstract":"<p><strong>Backgrounds: </strong>Preoperative imaging, particularly with magnetic resonance imaging (MRI) and computed tomography (CT) scans, plays a crucial role in distinguishing between benign and malignant parotid gland tumors, while the reliability of Ultrasound-Guided Fine Needle Aspiration (FNA) in diagnosing these masses remains a topic of debate.</p><p><strong>Methods: </strong>This two-center retrospective analysis was conducted on 347 patients with parotid gland tumors who had FNA and preoperative imaging (CT or MRI). All patients underwent surgery and final histopathological examination was available, along with complete medical records between January 2008 and May 2023.</p><p><strong>Results: </strong>Among the 347 patients, 318 (92%) had benign and 10 (3%) had malignant tumors based on FNA, with 19 (5%) unsatisfactory specimens. Final histological diagnosis revealed 303 (87%) benign and 44 (13%) malignant lesions, with a false-negative rate of 10.6% for FNA. Multivariate analysis identified irregular shape and invasion as independent predictors of malignancy in patient with benign or unsatisfactory FNA results. The odds ratio for irregular shape was 3.06 and for invasion was 12.73.</p><p><strong>Conclusion: </strong>Imaging characteristics, such as irregular shape and invasion may indicate towards malignant parotid tumors, even in patients with false-negative benign findings in FNA.</p>","PeriodicalId":12994,"journal":{"name":"Head & Face Medicine","volume":"20 1","pages":"64"},"PeriodicalIF":2.4000,"publicationDate":"2024-10-26","publicationTypes":"Journal Article","fieldsOfStudy":null,"isOpenAccess":false,"openAccessPdf":"https://www.ncbi.nlm.nih.gov/pmc/articles/PMC11515105/pdf/","citationCount":"0","resultStr":null,"platform":"Semanticscholar","paperid":null,"PeriodicalName":"Head & Face Medicine","FirstCategoryId":"3","ListUrlMain":"https://doi.org/10.1186/s13005-024-00467-5","RegionNum":2,"RegionCategory":"医学","ArticlePicture":[],"TitleCN":null,"AbstractTextCN":null,"PMCID":null,"EPubDate":"","PubModel":"","JCR":"Q2","JCRName":"DENTISTRY, ORAL SURGERY & MEDICINE","Score":null,"Total":0}
引用次数: 0

Abstract

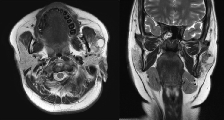
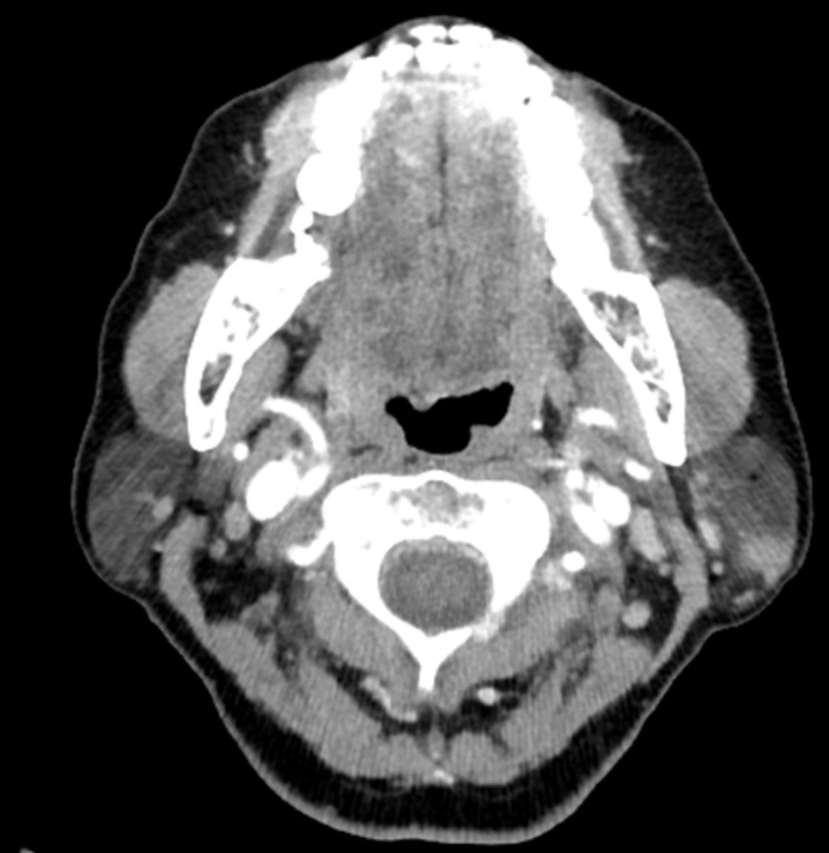
Backgrounds: Preoperative imaging, particularly with magnetic resonance imaging (MRI) and computed tomography (CT) scans, plays a crucial role in distinguishing between benign and malignant parotid gland tumors, while the reliability of Ultrasound-Guided Fine Needle Aspiration (FNA) in diagnosing these masses remains a topic of debate.

Methods: This two-center retrospective analysis was conducted on 347 patients with parotid gland tumors who had FNA and preoperative imaging (CT or MRI). All patients underwent surgery and final histopathological examination was available, along with complete medical records between January 2008 and May 2023.

Results: Among the 347 patients, 318 (92%) had benign and 10 (3%) had malignant tumors based on FNA, with 19 (5%) unsatisfactory specimens. Final histological diagnosis revealed 303 (87%) benign and 44 (13%) malignant lesions, with a false-negative rate of 10.6% for FNA. Multivariate analysis identified irregular shape and invasion as independent predictors of malignancy in patient with benign or unsatisfactory FNA results. The odds ratio for irregular shape was 3.06 and for invasion was 12.73.

Conclusion: Imaging characteristics, such as irregular shape and invasion may indicate towards malignant parotid tumors, even in patients with false-negative benign findings in FNA.

Abstract Image

Abstract Image

Abstract Image

腮腺肿瘤细针穿刺假阴性的 MRI 和 CT 成像特征。
背景:术前成像,尤其是磁共振成像(MRI)和计算机断层扫描(CT)在区分腮腺良性肿瘤和恶性肿瘤方面起着至关重要的作用,而超声引导下细针抽吸术(FNA)诊断这些肿块的可靠性仍是一个争论不休的话题:本研究对 347 例腮腺肿瘤患者进行了两中心回顾性分析,这些患者均进行了 FNA 和术前成像(CT 或 MRI)。2008年1月至2023年5月期间,所有患者均接受了手术和最终组织病理学检查,并提供了完整的病历资料:在 347 名患者中,318 人(92%)为良性肿瘤,10 人(3%)为恶性肿瘤,19 人(5%)标本不满意。最终组织学诊断显示,303 例(87%)为良性病变,44 例(13%)为恶性病变,FNA 的假阴性率为 10.6%。多变量分析发现,形状不规则和浸润是良性或 FNA 结果不满意的患者发生恶性肿瘤的独立预测因素。不规则形状的几率比为 3.06,侵犯的几率比为 12.73:不规则形状和浸润等影像学特征可能预示着腮腺肿瘤的恶性程度,即使是 FNA 结果为假阴性的良性患者也不例外。
本文章由计算机程序翻译,如有差异,请以英文原文为准。
求助全文
约1分钟内获得全文 求助全文
来源期刊
Head & Face Medicine
Head & Face Medicine DENTISTRY, ORAL SURGERY & MEDICINE-
CiteScore
4.70
自引率
3.30%
发文量
32
审稿时长
>12 weeks
期刊介绍: Head & Face Medicine is a multidisciplinary open access journal that publishes basic and clinical research concerning all aspects of cranial, facial and oral conditions. The journal covers all aspects of cranial, facial and oral diseases and their management. It has been designed as a multidisciplinary journal for clinicians and researchers involved in the diagnostic and therapeutic aspects of diseases which affect the human head and face. The journal is wide-ranging, covering the development, aetiology, epidemiology and therapy of head and face diseases to the basic science that underlies these diseases. Management of head and face diseases includes all aspects of surgical and non-surgical treatments including psychopharmacological therapies.
×
引用
GB/T 7714-2015
复制
MLA
复制
APA
复制
导出至
BibTeX EndNote RefMan NoteFirst NoteExpress
×
提示
您的信息不完整,为了账户安全,请先补充。
现在去补充
×
提示
您因"违规操作"
具体请查看互助需知
我知道了
×
提示
确定
请完成安全验证×
copy
已复制链接
快去分享给好友吧!
我知道了
右上角分享
点击右上角分享
0
联系我们:info@booksci.cn Book学术提供免费学术资源搜索服务,方便国内外学者检索中英文文献。致力于提供最便捷和优质的服务体验。 Copyright © 2023 布克学术 All rights reserved.
京ICP备2023020795号-1
ghs 京公网安备 11010802042870号
Book学术文献互助
Book学术文献互助群
群 号:604180095
Book学术官方微信