High-frequency ultrasound for assessing the renal characteristics of spontaneous type 2 diabetes mellitus db/db mice.

IF 1.2 4区 农林科学 Q1 VETERINARY SCIENCES
Experimental Animals Pub Date : 2025-04-20 Epub Date: 2024-10-25 DOI:10.1538/expanim.24-0114
Jiazhi Cao, Hao Feng, Lutong Li, Wenwu Ling, Hong Wang
{"title":"High-frequency ultrasound for assessing the renal characteristics of spontaneous type 2 diabetes mellitus db/db mice.","authors":"Jiazhi Cao, Hao Feng, Lutong Li, Wenwu Ling, Hong Wang","doi":"10.1538/expanim.24-0114","DOIUrl":null,"url":null,"abstract":"<p><p>There are few ultrasonographic studies on the spontaneous type 2 diabetes mellitus db/db mouse. Our objective was to dynamically investigate and assess renal morphological and hemodynamic changes in spontaneous T2DM db/db mice through high-frequency ultrasound. Eighteen male db/db mice (the model group) and twelve male db/+ mice (the control group) were included. Body weight and fasting blood glucose were measured at the ages of 8, 16 and 32 weeks. High-frequency ultrasound examinations were conducted at the same ages. Compared with those in the control group, hematoxylin-eosin and Masson staining revealed pathological changes in the renal tissue of the db/db mice at 16 weeks of age, and the lesions were significantly aggravated at 32 weeks of age. The body mass of the mice in the model group increased significantly at 8, 16 and 32 weeks of age, and the kidney volume measured by ultrasound also increased with age. Compared with those of the control group, the blood flow scores determined via power Doppler were significantly different. The peak systolic velocity (PSV), end diastolic velocity (EDV), and resistive index (RI) of the renal artery and the PSV, EDV, and RI of the segmental artery were significantly different at the sixteenth week compared with those that at the eighth week. The results of high-frequency ultrasound revealed that the renal hemodynamics of db/db mice changed at the sixteenth weeks.</p>","PeriodicalId":12102,"journal":{"name":"Experimental Animals","volume":" ","pages":"151-159"},"PeriodicalIF":1.2000,"publicationDate":"2025-04-20","publicationTypes":"Journal Article","fieldsOfStudy":null,"isOpenAccess":false,"openAccessPdf":"https://www.ncbi.nlm.nih.gov/pmc/articles/PMC12044364/pdf/","citationCount":"0","resultStr":null,"platform":"Semanticscholar","paperid":null,"PeriodicalName":"Experimental Animals","FirstCategoryId":"3","ListUrlMain":"https://doi.org/10.1538/expanim.24-0114","RegionNum":4,"RegionCategory":"农林科学","ArticlePicture":[],"TitleCN":null,"AbstractTextCN":null,"PMCID":null,"EPubDate":"2024/10/25 0:00:00","PubModel":"Epub","JCR":"Q1","JCRName":"VETERINARY SCIENCES","Score":null,"Total":0}
引用次数: 0

Abstract

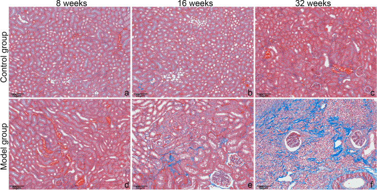
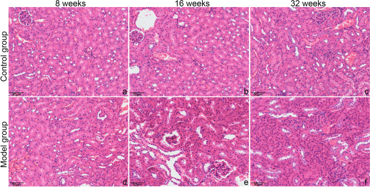
There are few ultrasonographic studies on the spontaneous type 2 diabetes mellitus db/db mouse. Our objective was to dynamically investigate and assess renal morphological and hemodynamic changes in spontaneous T2DM db/db mice through high-frequency ultrasound. Eighteen male db/db mice (the model group) and twelve male db/+ mice (the control group) were included. Body weight and fasting blood glucose were measured at the ages of 8, 16 and 32 weeks. High-frequency ultrasound examinations were conducted at the same ages. Compared with those in the control group, hematoxylin-eosin and Masson staining revealed pathological changes in the renal tissue of the db/db mice at 16 weeks of age, and the lesions were significantly aggravated at 32 weeks of age. The body mass of the mice in the model group increased significantly at 8, 16 and 32 weeks of age, and the kidney volume measured by ultrasound also increased with age. Compared with those of the control group, the blood flow scores determined via power Doppler were significantly different. The peak systolic velocity (PSV), end diastolic velocity (EDV), and resistive index (RI) of the renal artery and the PSV, EDV, and RI of the segmental artery were significantly different at the sixteenth week compared with those that at the eighth week. The results of high-frequency ultrasound revealed that the renal hemodynamics of db/db mice changed at the sixteenth weeks.

Abstract Image

Abstract Image

Abstract Image

高频超声评估自发性 2 型糖尿病 db/db 小鼠的肾脏特征。
关于自发性 T2DM db/db 小鼠的超声波研究很少。我们的目的是通过高频超声动态研究和评估自发性 2 型糖尿病 db/db 小鼠的肾脏形态学和血流动力学变化。研究对象包括 18 只雄性 db/db 小鼠(模型组)和 12 只雄性 db/+ 小鼠(对照组)。分别在 8 周龄、16 周龄和 32 周龄测量体重和空腹血糖。在相同的年龄段进行了高频超声波检查。与对照组相比,H&E 和 Masson 染色显示,16 周龄时 db/db 小鼠的肾组织发生了病理变化,32 周龄时病变明显加重。模型组小鼠的体重在8周龄、16周龄和32周龄时明显增加,超声波测量的肾脏体积也随着年龄的增长而增加。与对照组相比,通过功率多普勒测定的血流评分有明显差异。肾动脉的收缩峰值速度(PSV)、舒张末期速度(EDV)和阻力指数(RI)以及节段动脉的 PSV、EDV 和 RI 在第 16 周时与第 8 周时相比有显著差异。高频超声的结果显示,db/db小鼠的肾脏血液动力学在16周时发生了变化。
本文章由计算机程序翻译,如有差异,请以英文原文为准。
求助全文
约1分钟内获得全文 求助全文
来源期刊
Experimental Animals
Experimental Animals 生物-动物学
CiteScore
2.80
自引率
4.20%
发文量
2
审稿时长
3 months
期刊介绍: The aim of this international journal is to accelerate progress in laboratory animal experimentation and disseminate relevant information in related areas through publication of peer reviewed Original papers and Review articles. The journal covers basic to applied biomedical research centering around use of experimental animals and also covers topics related to experimental animals such as technology, management, and animal welfare.
×
引用
GB/T 7714-2015
复制
MLA
复制
APA
复制
导出至
BibTeX EndNote RefMan NoteFirst NoteExpress
×
提示
您的信息不完整,为了账户安全,请先补充。
现在去补充
×
提示
您因"违规操作"
具体请查看互助需知
我知道了
×
提示
确定
请完成安全验证×
copy
已复制链接
快去分享给好友吧!
我知道了
右上角分享
点击右上角分享
0
联系我们:info@booksci.cn Book学术提供免费学术资源搜索服务,方便国内外学者检索中英文文献。致力于提供最便捷和优质的服务体验。 Copyright © 2023 布克学术 All rights reserved.
京ICP备2023020795号-1
ghs 京公网安备 11010802042870号
Book学术文献互助
Book学术文献互助群
群 号:604180095
Book学术官方微信