Consolidation in the right middle lobe in pediatric bronchial-pulmonary artery shunt: radiology's Aunt Minnie?

IF 1.7 4区 医学 Q3 RADIOLOGY, NUCLEAR MEDICINE & MEDICAL IMAGING
Diagnostic and interventional radiology Pub Date : 2025-04-28 Epub Date: 2024-10-21 DOI:10.4274/dir.2024.242908
Chi Wang, Rongchang Wu, Zihan Wang, Shuai Ma, Xinyu Yuan, Yuchun Yan, Yun Peng
{"title":"Consolidation in the right middle lobe in pediatric bronchial-pulmonary artery shunt: radiology's Aunt Minnie?","authors":"Chi Wang, Rongchang Wu, Zihan Wang, Shuai Ma, Xinyu Yuan, Yuchun Yan, Yun Peng","doi":"10.4274/dir.2024.242908","DOIUrl":null,"url":null,"abstract":"<p><strong>Purpose: </strong>By retrospectively studying the chest computed tomography (CT) data of children with bronchial artery (BA)-pulmonary artery fistula, this study summarizes the characteristic imaging features of the disease and provides imaging support for the diagnosis and clinical treatment of these children.</p><p><strong>Methods: </strong>Digital subtraction angiography and CT angiography data were collected from 74 children with pulmonary hemorrhage following BA embolization. Bronchial-pulmonary shunt was present in 30 cases.</p><p><strong>Results: </strong>Of the 74 children with pulmonary hemorrhage in this study, seven exhibited signs of consolidation in the middle lobe of the right lung, and bronchial-pulmonary shunt existed in all of them. A total of 30 children with BA-pulmonary artery shunt (PAS) had BA tortuosity and thickening. Regarding primary BA-PAS, the middle lobe and lower lobe of the right lung were involved in 94.1% (16) of the children. Those with a fistula located in the middle lobe of the right lung accounted for 58.8% (10 cases), of which 40.0% (four cases) presented consolidation. In this study, 41.2% (seven) of the children with primary BA-PAS exhibited no abnormal changes on chest CT, and 58.8% (10 cases) exhibited abnormal changes in the unilateral lung.</p><p><strong>Conclusion: </strong>For children with pulmonary hemorrhage who have consolidation in the right middle lobe, the formation of BA-PAS should be anticipated. The possibility of primary BA-PAS should not be disregarded in children with pulmonary hemorrhage with tortuosity and dilation of BAs, despite no apparent abnormalities on lung CT, or ground-glass density or consolidation on only one side.</p><p><strong>Clinical significance: </strong>The chest CT of patients with pulmonary hemorrhage showed consolidation of the right middle lobe of the lung, which was highly likely to indicate BA-PAS.</p>","PeriodicalId":11341,"journal":{"name":"Diagnostic and interventional radiology","volume":" ","pages":"280-284"},"PeriodicalIF":1.7000,"publicationDate":"2025-04-28","publicationTypes":"Journal Article","fieldsOfStudy":null,"isOpenAccess":false,"openAccessPdf":"https://www.ncbi.nlm.nih.gov/pmc/articles/PMC12057536/pdf/","citationCount":"0","resultStr":null,"platform":"Semanticscholar","paperid":null,"PeriodicalName":"Diagnostic and interventional radiology","FirstCategoryId":"3","ListUrlMain":"https://doi.org/10.4274/dir.2024.242908","RegionNum":4,"RegionCategory":"医学","ArticlePicture":[],"TitleCN":null,"AbstractTextCN":null,"PMCID":null,"EPubDate":"2024/10/21 0:00:00","PubModel":"Epub","JCR":"Q3","JCRName":"RADIOLOGY, NUCLEAR MEDICINE & MEDICAL IMAGING","Score":null,"Total":0}
引用次数: 0

Abstract

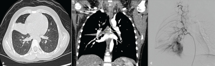
Purpose: By retrospectively studying the chest computed tomography (CT) data of children with bronchial artery (BA)-pulmonary artery fistula, this study summarizes the characteristic imaging features of the disease and provides imaging support for the diagnosis and clinical treatment of these children.

Methods: Digital subtraction angiography and CT angiography data were collected from 74 children with pulmonary hemorrhage following BA embolization. Bronchial-pulmonary shunt was present in 30 cases.

Results: Of the 74 children with pulmonary hemorrhage in this study, seven exhibited signs of consolidation in the middle lobe of the right lung, and bronchial-pulmonary shunt existed in all of them. A total of 30 children with BA-pulmonary artery shunt (PAS) had BA tortuosity and thickening. Regarding primary BA-PAS, the middle lobe and lower lobe of the right lung were involved in 94.1% (16) of the children. Those with a fistula located in the middle lobe of the right lung accounted for 58.8% (10 cases), of which 40.0% (four cases) presented consolidation. In this study, 41.2% (seven) of the children with primary BA-PAS exhibited no abnormal changes on chest CT, and 58.8% (10 cases) exhibited abnormal changes in the unilateral lung.

Conclusion: For children with pulmonary hemorrhage who have consolidation in the right middle lobe, the formation of BA-PAS should be anticipated. The possibility of primary BA-PAS should not be disregarded in children with pulmonary hemorrhage with tortuosity and dilation of BAs, despite no apparent abnormalities on lung CT, or ground-glass density or consolidation on only one side.

Clinical significance: The chest CT of patients with pulmonary hemorrhage showed consolidation of the right middle lobe of the lung, which was highly likely to indicate BA-PAS.

Abstract Image

Abstract Image

小儿支气管-肺动脉分流术中的右中叶合并症:放射科的米妮阿姨?
目的:本研究通过回顾性研究支气管动脉(BA)-肺动脉瘘患儿的胸部计算机断层扫描(CT)数据,总结该疾病的影像学特征,为这些患儿的诊断和临床治疗提供影像学支持:方法:收集了74例BA栓塞术后肺出血患儿的数字减影血管造影和CT血管造影数据。结果:74 例肺出血患儿中,有 30 例存在支气管-肺分流:结果:在74例肺出血患儿中,7例右肺中叶有合并征象,所有患儿均存在支气管-肺分流。共有30名支气管-肺动脉分流(PAS)患儿的支气管迂曲和增粗。就原发性 BA-PAS 而言,94.1%(16 例)的患儿右肺中叶和下叶受累。瘘管位于右肺中叶的患儿占58.8%(10例),其中40.0%(4例)出现合并症。在这项研究中,41.2%(7 例)的原发性 BA-PAS 患儿在胸部 CT 上未出现异常变化,58.8%(10 例)的患儿在单侧肺部出现异常变化:结论:对于右肺中叶有合并症的肺出血患儿,应预见到BA-PAS的形成。尽管肺部 CT 未见明显异常,或仅一侧肺部出现磨玻璃密度或合并症,但如果肺出血患儿的 BA 存在迂曲和扩张,则不应忽视原发性 BA-PAS 的可能性:临床意义:肺出血患者的胸部 CT 显示右肺中叶有合并症,极有可能是 BA-PAS。
本文章由计算机程序翻译,如有差异,请以英文原文为准。
求助全文
约1分钟内获得全文 求助全文
来源期刊
Diagnostic and interventional radiology
Diagnostic and interventional radiology Medicine-Radiology, Nuclear Medicine and Imaging
自引率
4.80%
发文量
0
期刊介绍: Diagnostic and Interventional Radiology (Diagn Interv Radiol) is the open access, online-only official publication of Turkish Society of Radiology. It is published bimonthly and the journal’s publication language is English. The journal is a medium for original articles, reviews, pictorial essays, technical notes related to all fields of diagnostic and interventional radiology.
×
引用
GB/T 7714-2015
复制
MLA
复制
APA
复制
导出至
BibTeX EndNote RefMan NoteFirst NoteExpress
×
提示
您的信息不完整,为了账户安全,请先补充。
现在去补充
×
提示
您因"违规操作"
具体请查看互助需知
我知道了
×
提示
确定
请完成安全验证×
copy
已复制链接
快去分享给好友吧!
我知道了
右上角分享
点击右上角分享
0
联系我们:info@booksci.cn Book学术提供免费学术资源搜索服务,方便国内外学者检索中英文文献。致力于提供最便捷和优质的服务体验。 Copyright © 2023 布克学术 All rights reserved.
京ICP备2023020795号-1
ghs 京公网安备 11010802042870号
Book学术文献互助
Book学术文献互助群
群 号:604180095
Book学术官方微信