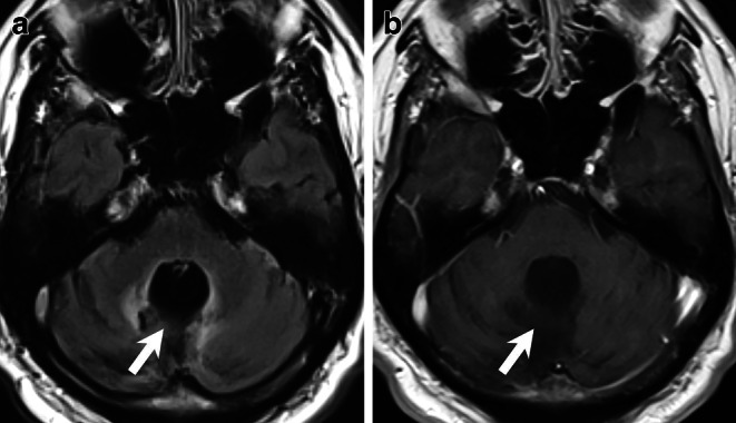
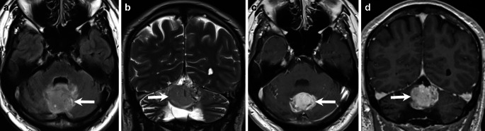
Freiburg Neuropathology Case Conference : Posterior fossa tumour 15 years after microsurgical resection of a cerebellar pilocytic astrocytoma.

IF 2.6 3区 医学 Q2 Medicine
Clinical Neuroradiology Pub Date : 2024-12-01 Epub Date: 2024-10-23 DOI:10.1007/s00062-024-01468-2
M Schwabenland, L Becker, C J Gizaw, M Prinz, H Urbach, D Erny, C A Taschner
{"title":"Freiburg Neuropathology Case Conference : Posterior fossa tumour 15 years after microsurgical resection of a cerebellar pilocytic astrocytoma.","authors":"M Schwabenland, L Becker, C J Gizaw, M Prinz, H Urbach, D Erny, C A Taschner","doi":"10.1007/s00062-024-01468-2","DOIUrl":null,"url":null,"abstract":"","PeriodicalId":10391,"journal":{"name":"Clinical Neuroradiology","volume":" ","pages":"983-989"},"PeriodicalIF":2.6000,"publicationDate":"2024-12-01","publicationTypes":"Journal Article","fieldsOfStudy":null,"isOpenAccess":false,"openAccessPdf":"https://www.ncbi.nlm.nih.gov/pmc/articles/PMC11564267/pdf/","citationCount":"0","resultStr":null,"platform":"Semanticscholar","paperid":null,"PeriodicalName":"Clinical Neuroradiology","FirstCategoryId":"3","ListUrlMain":"https://doi.org/10.1007/s00062-024-01468-2","RegionNum":3,"RegionCategory":"医学","ArticlePicture":[],"TitleCN":null,"AbstractTextCN":null,"PMCID":null,"EPubDate":"2024/10/23 0:00:00","PubModel":"Epub","JCR":"Q2","JCRName":"Medicine","Score":null,"Total":0}
引用次数: 0

Abstract Image

Abstract Image

Abstract Image

弗莱堡神经病理学病例会议:小脑柔毛细胞星形细胞瘤显微手术切除15年后的后窝肿瘤。
本文章由计算机程序翻译,如有差异,请以英文原文为准。
求助全文
约1分钟内获得全文 求助全文
来源期刊
Clinical Neuroradiology
Clinical Neuroradiology Medicine-Radiology, Nuclear Medicine and Imaging
CiteScore
4.90
自引率
3.60%
发文量
0
期刊介绍: Clinical Neuroradiology provides current information, original contributions, and reviews in the field of neuroradiology. An interdisciplinary approach is accomplished by diagnostic and therapeutic contributions related to associated subjects. The international coverage and relevance of the journal is underlined by its being the official journal of the German, Swiss, and Austrian Societies of Neuroradiology.
×
引用
GB/T 7714-2015
复制
MLA
复制
APA
复制
导出至
BibTeX EndNote RefMan NoteFirst NoteExpress
×
提示
您的信息不完整,为了账户安全,请先补充。
现在去补充
×
提示
您因"违规操作"
具体请查看互助需知
我知道了
×
提示
确定
请完成安全验证×
copy
已复制链接
快去分享给好友吧!
我知道了
右上角分享
点击右上角分享
0
联系我们:info@booksci.cn Book学术提供免费学术资源搜索服务,方便国内外学者检索中英文文献。致力于提供最便捷和优质的服务体验。 Copyright © 2023 布克学术 All rights reserved.
京ICP备2023020795号-1
ghs 京公网安备 11010802042870号
Book学术文献互助
Book学术文献互助群
群 号:604180095
Book学术官方微信