Fluctuation of Bone Marrow Lesions and Inflammatory MRI Markers over 2 Years and Concurrent Associations with Quantitative Cartilage Loss.

IF 2.7 4区 医学 Q1 ORTHOPEDICS
CARTILAGE Pub Date : 2025-09-01 Epub Date: 2024-10-26 DOI:10.1177/19476035241287694
Frank W Roemer, Mylène P Jansen, Susanne Maschek, Simon C Mastbergen, Anne-Karien Marijnissen, Anna Wisser, Rafael Heiss, Harrie H Weinans, Francisco J Blanco, Francis Berenbaum, Margreet Kloppenburg, Ida K Haugen, Felix Eckstein, David J Hunter, Ali Guermazi, Wolfgang Wirth
{"title":"Fluctuation of Bone Marrow Lesions and Inflammatory MRI Markers over 2 Years and Concurrent Associations with Quantitative Cartilage Loss.","authors":"Frank W Roemer, Mylène P Jansen, Susanne Maschek, Simon C Mastbergen, Anne-Karien Marijnissen, Anna Wisser, Rafael Heiss, Harrie H Weinans, Francisco J Blanco, Francis Berenbaum, Margreet Kloppenburg, Ida K Haugen, Felix Eckstein, David J Hunter, Ali Guermazi, Wolfgang Wirth","doi":"10.1177/19476035241287694","DOIUrl":null,"url":null,"abstract":"<p><p>ObjectiveTo assess whether change of semiquantitatively magnetic resonance imaging (MRI)-defined bone marrow lesions (BMLs) and inflammatory markers is associated with change in quantitatively-assessed cartilage loss in the femorotibial joint (FTJ) in knees with radiographic osteoarthritis (OA) over 24 months.DesignParticipants were included from the IMI-APPROACH and the Osteoarthritis Initiative FNIH studies. Semiquantitative MRI assessment was performed for BMLs, Hoffa- and effusion-synovitis. Quantitative cartilage thickness measurements were performed manually. Definitions of change included number of subregions with BMLs, change in sum and change in maximum increase in size. Change in Hoffa-synovitis and effusion-synovitis was categorized in addition. Between-group comparisons regarding cartilage loss in the FTJ, medial and lateral compartments were performed using analysis of variance (ANOVA).ResultsA total of 629 participants were included. Knees without any BMLs at baseline (BL) and follow-up (FU) had significantly less cartilage loss compared to the other subgroups. Change in both directions in the sum score of BMLs was associated with increased rates of cartilage loss. Maximum increase in size of BMLs was associated with increased rates of cartilage loss (FTJ increase by 2 grades -0.183 mm, 95% CI [-0.335, -0.031], by 3 grades -0.306 mm, [-0.511, -0.101]). Worsening of Hoffa-synovitis was associated with increased rates of cartilage loss.ConclusionKnees without BMLs at BL and FU showed lowest rates of cartilage loss. Knees with an increase in BML size showed increased rates of concurrent cartilage loss. Approaches with the aim to inhibit BML development, avoidance of increase in size and avoidance of Hoffa-synovitis worsening may have beneficial effects on cartilage loss.</p>","PeriodicalId":9626,"journal":{"name":"CARTILAGE","volume":" ","pages":"308-321"},"PeriodicalIF":2.7000,"publicationDate":"2025-09-01","publicationTypes":"Journal Article","fieldsOfStudy":null,"isOpenAccess":false,"openAccessPdf":"https://www.ncbi.nlm.nih.gov/pmc/articles/PMC11556660/pdf/","citationCount":"0","resultStr":null,"platform":"Semanticscholar","paperid":null,"PeriodicalName":"CARTILAGE","FirstCategoryId":"3","ListUrlMain":"https://doi.org/10.1177/19476035241287694","RegionNum":4,"RegionCategory":"医学","ArticlePicture":[],"TitleCN":null,"AbstractTextCN":null,"PMCID":null,"EPubDate":"2024/10/26 0:00:00","PubModel":"Epub","JCR":"Q1","JCRName":"ORTHOPEDICS","Score":null,"Total":0}
引用次数: 0

Abstract

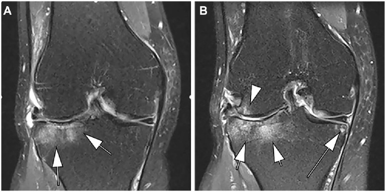
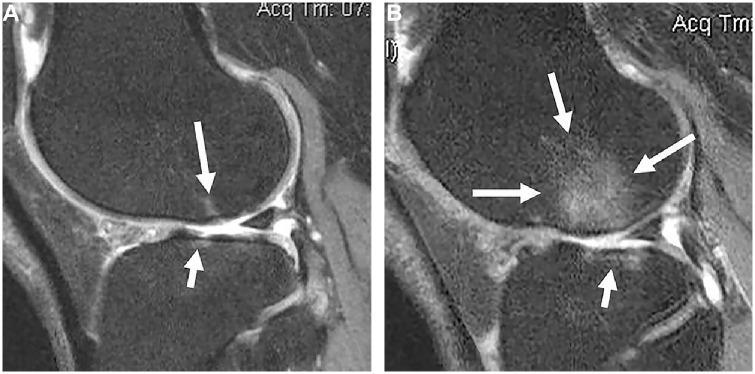
ObjectiveTo assess whether change of semiquantitatively magnetic resonance imaging (MRI)-defined bone marrow lesions (BMLs) and inflammatory markers is associated with change in quantitatively-assessed cartilage loss in the femorotibial joint (FTJ) in knees with radiographic osteoarthritis (OA) over 24 months.DesignParticipants were included from the IMI-APPROACH and the Osteoarthritis Initiative FNIH studies. Semiquantitative MRI assessment was performed for BMLs, Hoffa- and effusion-synovitis. Quantitative cartilage thickness measurements were performed manually. Definitions of change included number of subregions with BMLs, change in sum and change in maximum increase in size. Change in Hoffa-synovitis and effusion-synovitis was categorized in addition. Between-group comparisons regarding cartilage loss in the FTJ, medial and lateral compartments were performed using analysis of variance (ANOVA).ResultsA total of 629 participants were included. Knees without any BMLs at baseline (BL) and follow-up (FU) had significantly less cartilage loss compared to the other subgroups. Change in both directions in the sum score of BMLs was associated with increased rates of cartilage loss. Maximum increase in size of BMLs was associated with increased rates of cartilage loss (FTJ increase by 2 grades -0.183 mm, 95% CI [-0.335, -0.031], by 3 grades -0.306 mm, [-0.511, -0.101]). Worsening of Hoffa-synovitis was associated with increased rates of cartilage loss.ConclusionKnees without BMLs at BL and FU showed lowest rates of cartilage loss. Knees with an increase in BML size showed increased rates of concurrent cartilage loss. Approaches with the aim to inhibit BML development, avoidance of increase in size and avoidance of Hoffa-synovitis worsening may have beneficial effects on cartilage loss.

Abstract Image

Abstract Image

Abstract Image

骨髓病变和炎性磁共振成像标记物在两年内的波动以及与软骨定量损失的并发关系
目的评估磁共振成像(MRI)半定量定义的骨髓病变(BMLs)和炎症标记物的变化是否与24个月内膝关节放射骨关节炎(OA)患者股胫关节(FTJ)软骨损失的定量评估变化相关:设计:参与者来自 IMI-APPROACH 和骨关节炎倡议 FNIH 研究。对BML、Hoffa和渗出性滑膜炎进行半定量核磁共振成像评估。软骨厚度的定量测量由人工完成。变化的定义包括BMLs亚区的数量、总和的变化和最大增大的变化。此外,还对霍法-滑膜炎和渗出-滑膜炎的变化进行了分类。采用方差分析(ANOVA)对FTJ、内侧和外侧软骨损失进行组间比较:结果:共纳入 629 名参与者。与其他亚组相比,基线(BL)和随访(FU)时无任何BML的膝关节软骨损失明显较少。BMLs总分的双向变化与软骨损失率的增加有关。BMLs最大值的增加与软骨损失率的增加有关(FTJ增加2级为-0.183 mm,95% CI [-0.335,-0.031];增加3级为-0.306 mm,[-0.511,-0.101])。Hoffa-synovitis的恶化与软骨损失率的增加有关:结论:在BL和FU时没有BML的膝关节软骨损失率最低。结论:在BL和FU时没有BML的膝关节软骨损失率最低,BML增大的膝关节软骨损失率增加。抑制BML发展、避免BML增大、避免Hoffa-synovitis恶化的方法可能会对软骨损失产生有利影响。
本文章由计算机程序翻译,如有差异,请以英文原文为准。
求助全文
约1分钟内获得全文 求助全文
来源期刊
CARTILAGE
CARTILAGE ORTHOPEDICS-
CiteScore
6.90
自引率
7.10%
发文量
80
期刊介绍: CARTILAGE publishes articles related to the musculoskeletal system with particular attention to cartilage repair, development, function, degeneration, transplantation, and rehabilitation. The journal is a forum for the exchange of ideas for the many types of researchers and clinicians involved in cartilage biology and repair. A primary objective of CARTILAGE is to foster the cross-fertilization of the findings between clinical and basic sciences throughout the various disciplines involved in cartilage repair. The journal publishes full length original manuscripts on all types of cartilage including articular, nasal, auricular, tracheal/bronchial, and intervertebral disc fibrocartilage. Manuscripts on clinical and laboratory research are welcome. Review articles, editorials, and letters are also encouraged. The ICRS envisages CARTILAGE as a forum for the exchange of knowledge among clinicians, scientists, patients, and researchers. The International Cartilage Repair Society (ICRS) is dedicated to promotion, encouragement, and distribution of fundamental and applied research of cartilage in order to permit a better knowledge of function and dysfunction of articular cartilage and its repair.
×
引用
GB/T 7714-2015
复制
MLA
复制
APA
复制
导出至
BibTeX EndNote RefMan NoteFirst NoteExpress
×
提示
您的信息不完整,为了账户安全,请先补充。
现在去补充
×
提示
您因"违规操作"
具体请查看互助需知
我知道了
×
提示
确定
请完成安全验证×
copy
已复制链接
快去分享给好友吧!
我知道了
右上角分享
点击右上角分享
0
联系我们:info@booksci.cn Book学术提供免费学术资源搜索服务,方便国内外学者检索中英文文献。致力于提供最便捷和优质的服务体验。 Copyright © 2023 布克学术 All rights reserved.
京ICP备2023020795号-1
ghs 京公网安备 11010802042870号
Book学术文献互助
Book学术文献互助群
群 号:604180095
Book学术官方微信