Syringotropic Lichen Planus: An Unusual Presentation of a Common Dermatosis - A Report of 2 Cases.

IF 0.8 Q4 DERMATOLOGY
Case Reports in Dermatology Pub Date : 2024-10-24 eCollection Date: 2024-01-01 DOI:10.1159/000541695
Fatemeh Mohaghegh, Zohre Khodashenas, Mina Saber, Haniyeh Sohrabi
{"title":"Syringotropic Lichen Planus: An Unusual Presentation of a Common Dermatosis - A Report of 2 Cases.","authors":"Fatemeh Mohaghegh, Zohre Khodashenas, Mina Saber, Haniyeh Sohrabi","doi":"10.1159/000541695","DOIUrl":null,"url":null,"abstract":"<p><strong>Introduction: </strong>Lichen planus (LP) is a chronic inflammatory dermatosis that causes plaques and itchy papules on the skin, as well as erosion and ulcers in the mucous membranes. LP is characterized by a dense dermal T-cell infiltration. Perieccrine inflammation can be seen in a variety of dermatoses, but genuine lymphocyte permeation of the secretory coil or lymphocytic syringotropism is a rare sign that is typically seen in mycosis fungoides.</p><p><strong>Case presentation: </strong>In this study, we present 2 uncommon instances of lymphocytic syringotropism in LP. Histopathological examination revealed dense T-cell infiltration and lymphocytic involvement of eccrine glands, confirming syringotropism.</p><p><strong>Conclusion: </strong>Lymphocytic syringotropism is an uncommon finding in LP. Its presence broadens the histopathological spectrum of LP and highlights the need to differentiate it from lymphoproliferative disorders like mycosis fungoides.</p>","PeriodicalId":9619,"journal":{"name":"Case Reports in Dermatology","volume":"16 1","pages":"226-233"},"PeriodicalIF":0.8000,"publicationDate":"2024-10-24","publicationTypes":"Journal Article","fieldsOfStudy":null,"isOpenAccess":false,"openAccessPdf":"https://www.ncbi.nlm.nih.gov/pmc/articles/PMC11501101/pdf/","citationCount":"0","resultStr":null,"platform":"Semanticscholar","paperid":null,"PeriodicalName":"Case Reports in Dermatology","FirstCategoryId":"1085","ListUrlMain":"https://doi.org/10.1159/000541695","RegionNum":0,"RegionCategory":null,"ArticlePicture":[],"TitleCN":null,"AbstractTextCN":null,"PMCID":null,"EPubDate":"2024/1/1 0:00:00","PubModel":"eCollection","JCR":"Q4","JCRName":"DERMATOLOGY","Score":null,"Total":0}
引用次数: 0

Abstract

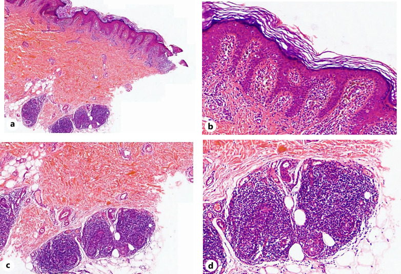
Introduction: Lichen planus (LP) is a chronic inflammatory dermatosis that causes plaques and itchy papules on the skin, as well as erosion and ulcers in the mucous membranes. LP is characterized by a dense dermal T-cell infiltration. Perieccrine inflammation can be seen in a variety of dermatoses, but genuine lymphocyte permeation of the secretory coil or lymphocytic syringotropism is a rare sign that is typically seen in mycosis fungoides.

Case presentation: In this study, we present 2 uncommon instances of lymphocytic syringotropism in LP. Histopathological examination revealed dense T-cell infiltration and lymphocytic involvement of eccrine glands, confirming syringotropism.

Conclusion: Lymphocytic syringotropism is an uncommon finding in LP. Its presence broadens the histopathological spectrum of LP and highlights the need to differentiate it from lymphoproliferative disorders like mycosis fungoides.

Abstract Image

Abstract Image

Abstract Image

注射性扁平苔藓:常见皮肤病的不寻常表现--2 例报告。
简介扁平苔藓(LP)是一种慢性炎症性皮肤病,会导致皮肤出现斑块和瘙痒性丘疹,以及黏膜糜烂和溃疡。LP 的特点是真皮层 T 细胞密集浸润。周皮炎症可见于多种皮肤病,但真正的淋巴细胞渗透分泌线圈或淋巴细胞鞘膜炎是一种罕见的体征,通常见于真菌病:在本研究中,我们发现了两例不常见的LP淋巴细胞虹吸现象。组织病理学检查显示,T细胞密集浸润,淋巴细胞累及泌尿生殖腺,证实了淋巴细胞性虹膜炎:结论:淋巴细胞性虹吸症在 LP 中并不常见。淋巴细胞嗜嗜酸性粒细胞增多症是 LP 中不常见的发现,它的出现拓宽了 LP 的组织病理学范围,突出了将 LP 与真菌病等淋巴增生性疾病区分开来的必要性。
本文章由计算机程序翻译,如有差异,请以英文原文为准。
求助全文
约1分钟内获得全文 求助全文
来源期刊
CiteScore
1.60
自引率
0.00%
发文量
57
审稿时长
9 weeks
×
引用
GB/T 7714-2015
复制
MLA
复制
APA
复制
导出至
BibTeX EndNote RefMan NoteFirst NoteExpress
×
提示
您的信息不完整,为了账户安全,请先补充。
现在去补充
×
提示
您因"违规操作"
具体请查看互助需知
我知道了
×
提示
确定
请完成安全验证×
copy
已复制链接
快去分享给好友吧!
我知道了
右上角分享
点击右上角分享
0
联系我们:info@booksci.cn Book学术提供免费学术资源搜索服务,方便国内外学者检索中英文文献。致力于提供最便捷和优质的服务体验。 Copyright © 2023 布克学术 All rights reserved.
京ICP备2023020795号-1
ghs 京公网安备 11010802042870号
Book学术文献互助
Book学术文献互助群
群 号:604180095
Book学术官方微信