Keratoderma-Like T-Cell Dyscrasia: A Case Report.

IF 0.8 Q4 DERMATOLOGY
Case Reports in Dermatology Pub Date : 2024-10-25 eCollection Date: 2024-01-01 DOI:10.1159/000541258
Asem Shadid, Sukaina Al Haddad, Rua'a Alharithy, Tariq J Al-Zaid
{"title":"Keratoderma-Like T-Cell Dyscrasia: A Case Report.","authors":"Asem Shadid, Sukaina Al Haddad, Rua'a Alharithy, Tariq J Al-Zaid","doi":"10.1159/000541258","DOIUrl":null,"url":null,"abstract":"<p><strong>Introduction: </strong>Cutaneous T-cell dyscrasia (CTCD) encompasses a heterogeneous group of T-cell infiltrates, often clonal and epitheliotropic. While the etiology remains unclear, certain medications, including statins, have been linked to cutaneous T-cell lymphocytic infiltrate development.</p><p><strong>Case description: </strong>A patient presented with a pruritic, scaly eruption on her palms and soles unresponsive to topical steroids for 1 month. Histopathological examination revealed compact orthokeratosis, mild lymphocytic infiltrate with focal exocytosis, and atypical lymphocytes. Immunophenotyping demonstrated a predominance of CD3+ T cells with a 1:1 CD4/CD8 ratio and reduced CD7 expression. The clinical presentation, histopathology, and immunophenotype supported a diagnosis of statin-induced CTCD.</p><p><strong>Conclusion: </strong>Statin discontinuation led to complete symptom resolution, emphasizing the reversibility of drug-induced T-cell dyscrasia. This case highlights the importance of a detailed medication history as drug-induced T-cell dyscrasia, unlike classic CTCD with its characteristic lymphoid atypia, phenotypic abnormalities, and clonality leading to a refractory course, can be reversed by drug withdrawal.</p>","PeriodicalId":9619,"journal":{"name":"Case Reports in Dermatology","volume":"16 1","pages":"234-239"},"PeriodicalIF":0.8000,"publicationDate":"2024-10-25","publicationTypes":"Journal Article","fieldsOfStudy":null,"isOpenAccess":false,"openAccessPdf":"https://www.ncbi.nlm.nih.gov/pmc/articles/PMC11509488/pdf/","citationCount":"0","resultStr":null,"platform":"Semanticscholar","paperid":null,"PeriodicalName":"Case Reports in Dermatology","FirstCategoryId":"1085","ListUrlMain":"https://doi.org/10.1159/000541258","RegionNum":0,"RegionCategory":null,"ArticlePicture":[],"TitleCN":null,"AbstractTextCN":null,"PMCID":null,"EPubDate":"2024/1/1 0:00:00","PubModel":"eCollection","JCR":"Q4","JCRName":"DERMATOLOGY","Score":null,"Total":0}
引用次数: 0

Abstract

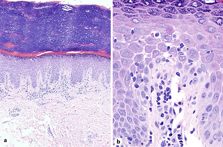
Introduction: Cutaneous T-cell dyscrasia (CTCD) encompasses a heterogeneous group of T-cell infiltrates, often clonal and epitheliotropic. While the etiology remains unclear, certain medications, including statins, have been linked to cutaneous T-cell lymphocytic infiltrate development.

Case description: A patient presented with a pruritic, scaly eruption on her palms and soles unresponsive to topical steroids for 1 month. Histopathological examination revealed compact orthokeratosis, mild lymphocytic infiltrate with focal exocytosis, and atypical lymphocytes. Immunophenotyping demonstrated a predominance of CD3+ T cells with a 1:1 CD4/CD8 ratio and reduced CD7 expression. The clinical presentation, histopathology, and immunophenotype supported a diagnosis of statin-induced CTCD.

Conclusion: Statin discontinuation led to complete symptom resolution, emphasizing the reversibility of drug-induced T-cell dyscrasia. This case highlights the importance of a detailed medication history as drug-induced T-cell dyscrasia, unlike classic CTCD with its characteristic lymphoid atypia, phenotypic abnormalities, and clonality leading to a refractory course, can be reversed by drug withdrawal.

Abstract Image

Abstract Image

Abstract Image

角化病样 T 细胞瘤:病例报告
导言:皮肤T细胞发育不良(CTCD)包括一组异质性的T细胞浸润,通常具有克隆性和上皮细胞性。虽然病因尚不清楚,但包括他汀类药物在内的某些药物与皮肤 T 细胞淋巴细胞浸润的发生有关:患者的手掌和脚底出现瘙痒性鳞屑性糜烂,外用类固醇激素治疗 1 个月无效。组织病理学检查显示,她的皮肤出现紧密角化、轻度淋巴细胞浸润并伴有局灶性外渗和非典型淋巴细胞。免疫分型显示,CD3+ T 细胞占多数,CD4/CD8 比率为 1:1,CD7 表达减少。临床表现、组织病理学和免疫分型均支持他汀类药物诱发 CTCD 的诊断:结论:停用他汀类药物后症状完全缓解,强调了药物诱导的T细胞病变的可逆性。本病例强调了详细用药史的重要性,因为药物诱导的T细胞异常不同于典型的CTCD,后者具有淋巴细胞不典型性、表型异常和克隆性等特征,会导致难治性病程,而停药则可逆转。
本文章由计算机程序翻译,如有差异,请以英文原文为准。
求助全文
约1分钟内获得全文 求助全文
来源期刊
CiteScore
1.60
自引率
0.00%
发文量
57
审稿时长
9 weeks
×
引用
GB/T 7714-2015
复制
MLA
复制
APA
复制
导出至
BibTeX EndNote RefMan NoteFirst NoteExpress
×
提示
您的信息不完整,为了账户安全,请先补充。
现在去补充
×
提示
您因"违规操作"
具体请查看互助需知
我知道了
×
提示
确定
请完成安全验证×
copy
已复制链接
快去分享给好友吧!
我知道了
右上角分享
点击右上角分享
0
联系我们:info@booksci.cn Book学术提供免费学术资源搜索服务,方便国内外学者检索中英文文献。致力于提供最便捷和优质的服务体验。 Copyright © 2023 布克学术 All rights reserved.
京ICP备2023020795号-1
ghs 京公网安备 11010802042870号
Book学术文献互助
Book学术文献互助群
群 号:604180095
Book学术官方微信