Recurrent Anti-NMDAR Encephalitis Necessitating Oophorectomy in an Adolescent Patient: A Case Report.

IF 0.8 Q4 OBSTETRICS & GYNECOLOGY
Case Reports in Obstetrics and Gynecology Pub Date : 2024-10-15 eCollection Date: 2024-01-01 DOI:10.1155/2024/6150107
Shadowen Caroline, Agrawal Nidhi, Fugina Alexa, Messersmith Cole, Terasaki Laurne, Allen Hannah, Goldberg Aaron, Pflugner Lindsey
{"title":"Recurrent Anti-NMDAR Encephalitis Necessitating Oophorectomy in an Adolescent Patient: A Case Report.","authors":"Shadowen Caroline, Agrawal Nidhi, Fugina Alexa, Messersmith Cole, Terasaki Laurne, Allen Hannah, Goldberg Aaron, Pflugner Lindsey","doi":"10.1155/2024/6150107","DOIUrl":null,"url":null,"abstract":"<p><p><b>Background:</b> Anti-NMDA receptor (A-NMDAR) encephalitis is an autoimmune condition often associated with ovarian teratoma. Surgical removal of the teratoma is generally curative, and recurrence is uncommon. <b>Case:</b> A 14-year-old female presented with psychiatric symptoms and was ultimately diagnosed with A-NMDAR encephalitis during a prolonged hospitalization. She was found to have bilateral ovarian teratomas, underwent laparoscopic bilateral ovarian cystectomy, and returned to neurologic baseline within 2 months. One year later, the patient was re-presented with similar symptoms and was diagnosed with recurrent A-NMDAR encephalitis. Initial imaging was negative for ovarian teratomas. After another prolonged hospitalization, repeat imaging ultimately demonstrated a suspected left ovarian teratoma. A left salpingo-oophorectomy was performed, and the patient's condition again fully recovered. <b>Conclusion:</b> This case of A-NMDAR encephalitis presented with many atypical features including neuropsychiatric presenting symptoms, bilateral teratomas, and severe recurrence of disease. While imaging is the recommended modality for investigation of etiology, no teratoma was identified on the second presentation, leading to an ethical and clinical conundrum in this adolescent patient. More research is needed to investigate other diagnostic methods for A-NMDAR encephalitis without distinct teratoma on imaging in female patients.</p>","PeriodicalId":9610,"journal":{"name":"Case Reports in Obstetrics and Gynecology","volume":"2024 ","pages":"6150107"},"PeriodicalIF":0.8000,"publicationDate":"2024-10-15","publicationTypes":"Journal Article","fieldsOfStudy":null,"isOpenAccess":false,"openAccessPdf":"https://www.ncbi.nlm.nih.gov/pmc/articles/PMC11496578/pdf/","citationCount":"0","resultStr":null,"platform":"Semanticscholar","paperid":null,"PeriodicalName":"Case Reports in Obstetrics and Gynecology","FirstCategoryId":"1085","ListUrlMain":"https://doi.org/10.1155/2024/6150107","RegionNum":0,"RegionCategory":null,"ArticlePicture":[],"TitleCN":null,"AbstractTextCN":null,"PMCID":null,"EPubDate":"2024/1/1 0:00:00","PubModel":"eCollection","JCR":"Q4","JCRName":"OBSTETRICS & GYNECOLOGY","Score":null,"Total":0}
引用次数: 0

Abstract

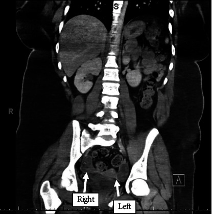
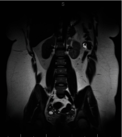
Background: Anti-NMDA receptor (A-NMDAR) encephalitis is an autoimmune condition often associated with ovarian teratoma. Surgical removal of the teratoma is generally curative, and recurrence is uncommon. Case: A 14-year-old female presented with psychiatric symptoms and was ultimately diagnosed with A-NMDAR encephalitis during a prolonged hospitalization. She was found to have bilateral ovarian teratomas, underwent laparoscopic bilateral ovarian cystectomy, and returned to neurologic baseline within 2 months. One year later, the patient was re-presented with similar symptoms and was diagnosed with recurrent A-NMDAR encephalitis. Initial imaging was negative for ovarian teratomas. After another prolonged hospitalization, repeat imaging ultimately demonstrated a suspected left ovarian teratoma. A left salpingo-oophorectomy was performed, and the patient's condition again fully recovered. Conclusion: This case of A-NMDAR encephalitis presented with many atypical features including neuropsychiatric presenting symptoms, bilateral teratomas, and severe recurrence of disease. While imaging is the recommended modality for investigation of etiology, no teratoma was identified on the second presentation, leading to an ethical and clinical conundrum in this adolescent patient. More research is needed to investigate other diagnostic methods for A-NMDAR encephalitis without distinct teratoma on imaging in female patients.

Abstract Image

Abstract Image

Abstract Image

一名青少年患者因复发性抗 NMDAR 脑炎而需要进行输卵管切除术:病例报告。
背景:抗 NMDA 受体(A-NMDAR)脑炎是一种自身免疫性疾病,通常与卵巢畸胎瘤有关。手术切除畸胎瘤一般可以治愈,复发并不常见。病例:一名 14 岁女性出现精神症状,在长期住院期间最终被诊断为 A-NMDAR 脑炎。她被发现患有双侧卵巢畸胎瘤,接受了腹腔镜双侧卵巢囊肿切除术,并在两个月内恢复了神经功能基线。一年后,患者再次出现类似症状,被诊断为复发性 A-NMDAR 脑炎。最初的影像学检查显示卵巢畸胎瘤为阴性。再次长期住院后,重复造影最终显示疑似左侧卵巢畸胎瘤。患者接受了左侧输卵管切除术,病情再次完全康复。结论这例 A-NMDAR 脑炎患者具有许多非典型特征,包括神经精神症状、双侧畸胎瘤和疾病严重复发。虽然影像学检查是研究病因的推荐方式,但第二次就诊时并未发现畸胎瘤,这给这名青少年患者带来了伦理和临床难题。需要进行更多的研究,以探讨在女性患者中通过影像学检查未发现明显畸胎瘤的 A-NMDAR 脑炎的其他诊断方法。
本文章由计算机程序翻译,如有差异,请以英文原文为准。
求助全文
约1分钟内获得全文 求助全文
来源期刊
Case Reports in Obstetrics and Gynecology
Case Reports in Obstetrics and Gynecology Medicine-Obstetrics and Gynecology
CiteScore
1.30
自引率
0.00%
发文量
64
审稿时长
12 weeks
×
引用
GB/T 7714-2015
复制
MLA
复制
APA
复制
导出至
BibTeX EndNote RefMan NoteFirst NoteExpress
×
提示
您的信息不完整,为了账户安全,请先补充。
现在去补充
×
提示
您因"违规操作"
具体请查看互助需知
我知道了
×
提示
确定
请完成安全验证×
copy
已复制链接
快去分享给好友吧!
我知道了
右上角分享
点击右上角分享
0
联系我们:info@booksci.cn Book学术提供免费学术资源搜索服务,方便国内外学者检索中英文文献。致力于提供最便捷和优质的服务体验。 Copyright © 2023 布克学术 All rights reserved.
京ICP备2023020795号-1
ghs 京公网安备 11010802042870号
Book学术文献互助
Book学术文献互助群
群 号:604180095
Book学术官方微信