National recommendations of the Croatian Chamber of Medical Biochemists and Working group for Laboratory hematology of the Croatian Society of Medical Biochemistry and Laboratory Medicine: Management of samples with suspected EDTA-induced pseudothrombocytopenia.

IF 1.8
Lara Milevoj Kopčinović, Gordana Juričić, Dragana Antončić, Fran Smaić, Brankica Šimac, Ivana Lapić, Vanja Radišić Biljak
{"title":"National recommendations of the Croatian Chamber of Medical Biochemists and Working group for Laboratory hematology of the Croatian Society of Medical Biochemistry and Laboratory Medicine: Management of samples with suspected EDTA-induced pseudothrombocytopenia.","authors":"Lara Milevoj Kopčinović, Gordana Juričić, Dragana Antončić, Fran Smaić, Brankica Šimac, Ivana Lapić, Vanja Radišić Biljak","doi":"10.11613/BM.2024.030504","DOIUrl":null,"url":null,"abstract":"<p><p>Pseudothrombocytopenia (PTCP) is defined by the occurence of spouriously low platelet count as a consequence of <i>in vitro</i> platelet aggregation. It is a rare and benign artifact, not associated with any specific disorder or therapy, that becomes clinically relevant when it is not timely and reliably recognized. Thus, it may result in inappropriate clinical decisions (<i>i.e.</i> unnecessary further testing, misdiagnoses and potential patients' mismanagement) unavoidably compromising patient safety. The most common form of PTCP is caused by ethylenediaminetetraacetic acid (EDTA). Several approaches for the management of samples with EDTA-induced PTCP have been described in the literature. However, expert recommendations are scarce. The scope of these recommendations is to assist in achieving national harmonisation in laboratory management (<i>i.e.</i> detecting and reporting platelet counts) of samples with EDTA-induced PTCP. These minimal recommendations were prepared by the members of the joint working group of the Croatian Chamber of Medical Biochemists and Working group for Laboratory Hematology of the Croatian Society of Medical Biochemistry and Laboratory Medicine, and might be customized according to specific conditions (<i>i.e.</i> personnel and equipment) of each individual laboratory. These recommendations are primarily intended to all laboratory professionals involved in the management of samples with EDTA-induced PTCP, but also to other healthcare professionals involved in collecting samples and interpreting complete blood count results.</p>","PeriodicalId":94370,"journal":{"name":"Biochemia medica","volume":"34 3","pages":"030504"},"PeriodicalIF":1.8000,"publicationDate":"2024-10-15","publicationTypes":"Journal Article","fieldsOfStudy":null,"isOpenAccess":false,"openAccessPdf":"https://www.ncbi.nlm.nih.gov/pmc/articles/PMC11493459/pdf/","citationCount":"0","resultStr":null,"platform":"Semanticscholar","paperid":null,"PeriodicalName":"Biochemia medica","FirstCategoryId":"1085","ListUrlMain":"https://doi.org/10.11613/BM.2024.030504","RegionNum":0,"RegionCategory":null,"ArticlePicture":[],"TitleCN":null,"AbstractTextCN":null,"PMCID":null,"EPubDate":"","PubModel":"","JCR":"","JCRName":"","Score":null,"Total":0}
引用次数: 0

Abstract

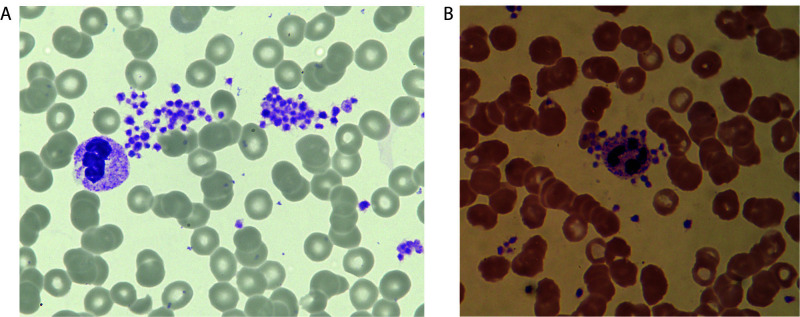
Pseudothrombocytopenia (PTCP) is defined by the occurence of spouriously low platelet count as a consequence of in vitro platelet aggregation. It is a rare and benign artifact, not associated with any specific disorder or therapy, that becomes clinically relevant when it is not timely and reliably recognized. Thus, it may result in inappropriate clinical decisions (i.e. unnecessary further testing, misdiagnoses and potential patients' mismanagement) unavoidably compromising patient safety. The most common form of PTCP is caused by ethylenediaminetetraacetic acid (EDTA). Several approaches for the management of samples with EDTA-induced PTCP have been described in the literature. However, expert recommendations are scarce. The scope of these recommendations is to assist in achieving national harmonisation in laboratory management (i.e. detecting and reporting platelet counts) of samples with EDTA-induced PTCP. These minimal recommendations were prepared by the members of the joint working group of the Croatian Chamber of Medical Biochemists and Working group for Laboratory Hematology of the Croatian Society of Medical Biochemistry and Laboratory Medicine, and might be customized according to specific conditions (i.e. personnel and equipment) of each individual laboratory. These recommendations are primarily intended to all laboratory professionals involved in the management of samples with EDTA-induced PTCP, but also to other healthcare professionals involved in collecting samples and interpreting complete blood count results.

Abstract Image

Abstract Image

Abstract Image

克罗地亚医学生物化学家商会和克罗地亚医学生物化学和实验室医学学会实验室血液学工作组的国家建议:疑似 EDTA 引起的假性血小板减少症样本的处理。
假性血小板减少症(Pseudothrombocytopenia,PTCP)是指由于体外血小板聚集而出现的血小板数量极低的现象。它是一种罕见的良性假象,与任何特定疾病或治疗无关,但如果不能及时可靠地识别,就会与临床相关。因此,它可能会导致不恰当的临床决策(即不必要的进一步检查、误诊和潜在的患者管理不当),不可避免地危及患者安全。最常见的 PTCP 由乙二胺四乙酸(EDTA)引起。文献中介绍了几种处理 EDTA 引起的 PTCP 样品的方法。然而,专家建议却很少。这些建议的目的是帮助各国统一对 EDTA 诱导的 PTCP 样品的实验室管理(即检测和报告血小板计数)。这些最基本的建议由克罗地亚医学生物化学家商会联合工作组和克罗地亚医学生物化学和检验医学学会实验室血液学工作组的成员编写,可根据各实验室的具体条件(如人员和设备)进行定制。这些建议主要面向所有参与 EDTA 引起的 PTCP 样品管理的实验室专业人员,同时也面向参与采集样本和解释全血细胞计数结果的其他医疗保健专业人员。
本文章由计算机程序翻译,如有差异,请以英文原文为准。
求助全文
约1分钟内获得全文 求助全文
来源期刊
自引率
0.00%
发文量
0
×
引用
GB/T 7714-2015
复制
MLA
复制
APA
复制
导出至
BibTeX EndNote RefMan NoteFirst NoteExpress
×
提示
您的信息不完整,为了账户安全,请先补充。
现在去补充
×
提示
您因"违规操作"
具体请查看互助需知
我知道了
×
提示
确定
请完成安全验证×
copy
已复制链接
快去分享给好友吧!
我知道了
右上角分享
点击右上角分享
0
联系我们:info@booksci.cn Book学术提供免费学术资源搜索服务,方便国内外学者检索中英文文献。致力于提供最便捷和优质的服务体验。 Copyright © 2023 布克学术 All rights reserved.
京ICP备2023020795号-1
ghs 京公网安备 11010802042870号
Book学术文献互助
Book学术文献互助群
群 号:604180095
Book学术官方微信