Impaired mitochondrial function in bipolar disorder and alcohol use disorder: a case study using 18F-BCPP-EF PET imaging of mitochondrial Complex I.

IF 2.9
Psychoradiology Pub Date : 2024-09-03 eCollection Date: 2024-01-01 DOI:10.1093/psyrad/kkae014
Travis P Wigstrom, Stiven Roytman, Jeffrey L B Bohnen, Rebecca R Paalanen, Alexis M Griggs, Robert Vangel, Jaimie Barr, Roger Albin, Prabesh Kanel, Nicolaas I Bohnen
{"title":"Impaired mitochondrial function in bipolar disorder and alcohol use disorder: a case study using <sup>18</sup>F-BCPP-EF PET imaging of mitochondrial Complex I.","authors":"Travis P Wigstrom, Stiven Roytman, Jeffrey L B Bohnen, Rebecca R Paalanen, Alexis M Griggs, Robert Vangel, Jaimie Barr, Roger Albin, Prabesh Kanel, Nicolaas I Bohnen","doi":"10.1093/psyrad/kkae014","DOIUrl":null,"url":null,"abstract":"<p><strong>Background: </strong>With bipolar disorder (BD) having a lifetime prevalence of 4.4% and a significant portion of patients being chronically burdened by symptoms, there has been an increased focus on uncovering new targets for intervention in BD. One area that has shown early promise is the mitochondrial hypothesis. However, at the time of publication no studies have utilized positron emission tomography (PET) imaging to assess mitochondrial function in the setting of BD.</p><p><strong>Case presentation: </strong>Our participant is a 58 year-old male with a past medical history notable for alcohol use disorder and BD (unspecified type) who underwent PET imaging with the mitochondrial complex I PET ligand <sup>18</sup>F-BCPP-EF. The resulting images demonstrated significant overlap between areas of dysfunction identified with the <sup>18</sup>F-BCPP-EF PET ligand and prior functional magnetic resonance imaging (MRI) techniques in the setting of BD. That overlap was seen in both affective and cognitive circuits, with mitochondrial dysfunction in the fronto-limbic, ventral affective, and dorsal cognitive circuits showing particularly significant differences.</p><p><strong>Conclusions: </strong>Despite mounting evidence implicating mitochondria in BD, this study represents the first PET imaging study to investigate this mechanistic connection. There were key limitations in the form of comorbid alcohol use disorder, limited statistical power inherent to a case study, no sex matched controls, and the absence of a comprehensive psychiatric history. However, even with these limitations in mind, the significant overlap between dysfunction previously demonstrated on functional MRI and this imaging provides compelling preliminary evidence that strengthens the mechanistic link between mitochondrial dysfunction and BD.</p>","PeriodicalId":93496,"journal":{"name":"Psychoradiology","volume":"4 ","pages":"kkae014"},"PeriodicalIF":2.9000,"publicationDate":"2024-09-03","publicationTypes":"Journal Article","fieldsOfStudy":null,"isOpenAccess":false,"openAccessPdf":"https://www.ncbi.nlm.nih.gov/pmc/articles/PMC11467810/pdf/","citationCount":"0","resultStr":null,"platform":"Semanticscholar","paperid":null,"PeriodicalName":"Psychoradiology","FirstCategoryId":"1085","ListUrlMain":"https://doi.org/10.1093/psyrad/kkae014","RegionNum":0,"RegionCategory":null,"ArticlePicture":[],"TitleCN":null,"AbstractTextCN":null,"PMCID":null,"EPubDate":"2024/1/1 0:00:00","PubModel":"eCollection","JCR":"","JCRName":"","Score":null,"Total":0}
引用次数: 0

Abstract

Background: With bipolar disorder (BD) having a lifetime prevalence of 4.4% and a significant portion of patients being chronically burdened by symptoms, there has been an increased focus on uncovering new targets for intervention in BD. One area that has shown early promise is the mitochondrial hypothesis. However, at the time of publication no studies have utilized positron emission tomography (PET) imaging to assess mitochondrial function in the setting of BD.

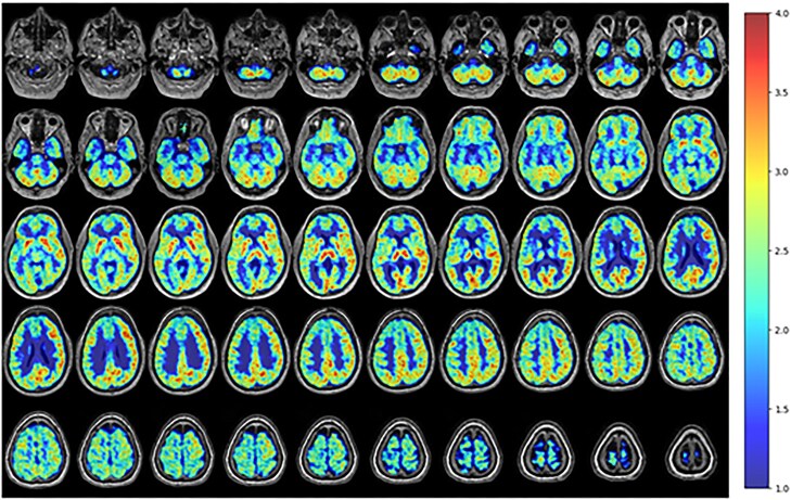
Case presentation: Our participant is a 58 year-old male with a past medical history notable for alcohol use disorder and BD (unspecified type) who underwent PET imaging with the mitochondrial complex I PET ligand 18F-BCPP-EF. The resulting images demonstrated significant overlap between areas of dysfunction identified with the 18F-BCPP-EF PET ligand and prior functional magnetic resonance imaging (MRI) techniques in the setting of BD. That overlap was seen in both affective and cognitive circuits, with mitochondrial dysfunction in the fronto-limbic, ventral affective, and dorsal cognitive circuits showing particularly significant differences.

Conclusions: Despite mounting evidence implicating mitochondria in BD, this study represents the first PET imaging study to investigate this mechanistic connection. There were key limitations in the form of comorbid alcohol use disorder, limited statistical power inherent to a case study, no sex matched controls, and the absence of a comprehensive psychiatric history. However, even with these limitations in mind, the significant overlap between dysfunction previously demonstrated on functional MRI and this imaging provides compelling preliminary evidence that strengthens the mechanistic link between mitochondrial dysfunction and BD.

Abstract Image

Abstract Image

Abstract Image

双相情感障碍和酒精使用障碍中受损的线粒体功能:使用线粒体复合物 I 的 18F-BCPP-EF PET 成像进行病例研究。
背景:双相情感障碍(BD)的终生患病率为 4.4%,相当一部分患者长期受症状困扰。线粒体假说是一个很有希望的领域。然而,截至本文发表时,还没有研究利用正电子发射断层扫描(PET)成像技术来评估 BD 的线粒体功能:我们的受试者是一名 58 岁的男性,既往病史为酒精使用障碍和 BD(未明确类型),他接受了线粒体复合体 I PET 配体 18F-BCPP-EF 的 PET 成像检查。成像结果表明,18F-BCPP-EF PET 配体与之前的功能磁共振成像(MRI)技术在 BD 病例中发现的功能障碍区域之间存在明显重叠。这种重叠可见于情感和认知回路,前边缘、腹侧情感和背侧认知回路的线粒体功能障碍显示出特别显著的差异:结论:尽管有越来越多的证据表明线粒体与 BD 有关,但本研究是首次对这种机理联系进行研究的 PET 成像研究。这项研究存在一些主要的局限性,如合并酒精使用障碍、病例研究固有的统计能力有限、没有性别匹配的对照组以及缺乏全面的精神病史。不过,即使考虑到这些局限性,之前在功能磁共振成像上显示的功能障碍与该成像之间的显著重叠提供了令人信服的初步证据,加强了线粒体功能障碍与 BD 之间的机理联系。
本文章由计算机程序翻译,如有差异,请以英文原文为准。
求助全文
约1分钟内获得全文 求助全文
来源期刊
CiteScore
2.50
自引率
0.00%
发文量
0
×
引用
GB/T 7714-2015
复制
MLA
复制
APA
复制
导出至
BibTeX EndNote RefMan NoteFirst NoteExpress
×
提示
您的信息不完整,为了账户安全,请先补充。
现在去补充
×
提示
您因"违规操作"
具体请查看互助需知
我知道了
×
提示
确定
请完成安全验证×
copy
已复制链接
快去分享给好友吧!
我知道了
右上角分享
点击右上角分享
0
联系我们:info@booksci.cn Book学术提供免费学术资源搜索服务,方便国内外学者检索中英文文献。致力于提供最便捷和优质的服务体验。 Copyright © 2023 布克学术 All rights reserved.
京ICP备2023020795号-1
ghs 京公网安备 11010802042870号
Book学术文献互助
Book学术文献互助群
群 号:604180095
Book学术官方微信