Immunoglobulin G4-related disease in an elderly patient with treatment-resistant headache: a case report.

Encephalitis (Seoul, Korea) Pub Date : 2024-10-01 Epub Date: 2024-10-10 DOI:10.47936/encephalitis.2024.00073
Kevser Erdogan, Nermin Tepe, Gülay Turan, Musa Öztürk
{"title":"Immunoglobulin G4-related disease in an elderly patient with treatment-resistant headache: a case report.","authors":"Kevser Erdogan, Nermin Tepe, Gülay Turan, Musa Öztürk","doi":"10.47936/encephalitis.2024.00073","DOIUrl":null,"url":null,"abstract":"<p><p>Immunoglobulin G4 (IgG4)-related disease is an immune-mediated, fibroinflammatory condition that causes multisystemic contrast enhancement and is predominantly observed in elderly male patients. The most prominent features of IgG4-related disease are systemic involvement affecting from two to six systems. In the central nervous system, these contrast enhancements are typically found in the meninges and orbit. This case study describes a 78-year-old female patient with persistent headaches and constant diarrhea who underwent treatment for IgG4-related disease. Despite two months of treatment with non-steroidal and opioid analgesics, the patient remained unresponsive and continued to experience diarrhea for 4 months. Brain magnetic resonance imaging revealed contrast enhancement in the leptomeningeal surfaces, and a biopsy of the gastrointestinal mucosa confirmed the diagnosis of IgG4-related disease, showing widespread plasma cell infiltration and IgG4 expression on plasma cells. The patient was initially treated with 1.0 g/day of pulse therapy for 5 days, followed by a maintenance dose of 1.0 mg/kg oral azathioprine. When azathioprine caused significant pancytopenia, rituximab therapy was initiated. The patient's headaches resolved completely, and the diarrheal attacks were controlled. This case highlights the importance of considering IgG4-related disease as a potential cause of headache or multiorgan symptoms in elderly patients with new-onset headache unresponsive to conventional analgesics. IgG4-related disease can often be effectively treated with steroids and monoclonal antibodies.</p>","PeriodicalId":72904,"journal":{"name":"Encephalitis (Seoul, Korea)","volume":"4 4","pages":"87-90"},"PeriodicalIF":0.0000,"publicationDate":"2024-10-01","publicationTypes":"Journal Article","fieldsOfStudy":null,"isOpenAccess":false,"openAccessPdf":"https://www.ncbi.nlm.nih.gov/pmc/articles/PMC11472142/pdf/","citationCount":"0","resultStr":null,"platform":"Semanticscholar","paperid":null,"PeriodicalName":"Encephalitis (Seoul, Korea)","FirstCategoryId":"1085","ListUrlMain":"https://doi.org/10.47936/encephalitis.2024.00073","RegionNum":0,"RegionCategory":null,"ArticlePicture":[],"TitleCN":null,"AbstractTextCN":null,"PMCID":null,"EPubDate":"2024/10/10 0:00:00","PubModel":"Epub","JCR":"","JCRName":"","Score":null,"Total":0}
引用次数: 0

Abstract

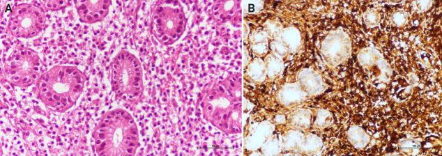
Immunoglobulin G4 (IgG4)-related disease is an immune-mediated, fibroinflammatory condition that causes multisystemic contrast enhancement and is predominantly observed in elderly male patients. The most prominent features of IgG4-related disease are systemic involvement affecting from two to six systems. In the central nervous system, these contrast enhancements are typically found in the meninges and orbit. This case study describes a 78-year-old female patient with persistent headaches and constant diarrhea who underwent treatment for IgG4-related disease. Despite two months of treatment with non-steroidal and opioid analgesics, the patient remained unresponsive and continued to experience diarrhea for 4 months. Brain magnetic resonance imaging revealed contrast enhancement in the leptomeningeal surfaces, and a biopsy of the gastrointestinal mucosa confirmed the diagnosis of IgG4-related disease, showing widespread plasma cell infiltration and IgG4 expression on plasma cells. The patient was initially treated with 1.0 g/day of pulse therapy for 5 days, followed by a maintenance dose of 1.0 mg/kg oral azathioprine. When azathioprine caused significant pancytopenia, rituximab therapy was initiated. The patient's headaches resolved completely, and the diarrheal attacks were controlled. This case highlights the importance of considering IgG4-related disease as a potential cause of headache or multiorgan symptoms in elderly patients with new-onset headache unresponsive to conventional analgesics. IgG4-related disease can often be effectively treated with steroids and monoclonal antibodies.

Abstract Image

Abstract Image

一名头痛难治的老年患者的免疫球蛋白 G4 相关疾病:病例报告。
免疫球蛋白 G4(IgG4)相关疾病是一种免疫介导的纤维炎症,会导致多系统对比度增强,主要见于老年男性患者。IgG4 相关疾病最显著的特征是全身受累,影响 2 到 6 个系统。在中枢神经系统,这些造影剂增强通常出现在脑膜和眼眶。本病例描述了一名 78 岁的女性患者,她患有持续性头痛和不断腹泻,因 IgG4 相关疾病接受了治疗。尽管患者接受了两个月的非甾体类和阿片类镇痛药治疗,但仍无反应,并持续腹泻 4 个月。脑磁共振成像检查发现,患者的大脑皮层表面对比度增强,胃肠道粘膜活检证实了 IgG4 相关疾病的诊断,显示广泛的浆细胞浸润和浆细胞上的 IgG4 表达。患者最初接受了每天 1.0 克、持续 5 天的脉冲治疗,随后口服 1.0 毫克/千克硫唑嘌呤维持治疗。当硫唑嘌呤导致全血细胞减少时,开始使用利妥昔单抗治疗。患者的头痛完全缓解,腹泻发作也得到了控制。本病例强调,对于对常规止痛药无反应的新发头痛老年患者,将 IgG4 相关疾病视为头痛或多器官症状的潜在病因非常重要。IgG4相关疾病通常可以通过类固醇和单克隆抗体得到有效治疗。
本文章由计算机程序翻译,如有差异,请以英文原文为准。
求助全文
约1分钟内获得全文 求助全文
来源期刊
自引率
0.00%
发文量
0
×
引用
GB/T 7714-2015
复制
MLA
复制
APA
复制
导出至
BibTeX EndNote RefMan NoteFirst NoteExpress
×
提示
您的信息不完整,为了账户安全,请先补充。
现在去补充
×
提示
您因"违规操作"
具体请查看互助需知
我知道了
×
提示
确定
请完成安全验证×
copy
已复制链接
快去分享给好友吧!
我知道了
右上角分享
点击右上角分享
0
联系我们:info@booksci.cn Book学术提供免费学术资源搜索服务,方便国内外学者检索中英文文献。致力于提供最便捷和优质的服务体验。 Copyright © 2023 布克学术 All rights reserved.
京ICP备2023020795号-1
ghs 京公网安备 11010802042870号
Book学术文献互助
Book学术文献互助群
群 号:604180095
Book学术官方微信