Evaluation of nitazoxanide in the treatment of experimental murine neurotoxoplasmosis.

IF 1.7 4区 医学 Q4 INFECTIOUS DISEASES
Thaís Santos Anjo Reis, Victor da Silva Siqueira, Stéfanne Rodrigues Rezende Ferreira, Natália Domann, Benílton Alves Rodrigues Júnior, Amanda Cristina Corrêa Fleury, Isa Marianny Ferreira Nascimento Barbosa de Souza, Ludimila Paula Vaz Cardoso, Carla Silva Siqueira, Hanstter Hallison Alves Rezende
{"title":"Evaluation of nitazoxanide in the treatment of experimental murine neurotoxoplasmosis.","authors":"Thaís Santos Anjo Reis, Victor da Silva Siqueira, Stéfanne Rodrigues Rezende Ferreira, Natália Domann, Benílton Alves Rodrigues Júnior, Amanda Cristina Corrêa Fleury, Isa Marianny Ferreira Nascimento Barbosa de Souza, Ludimila Paula Vaz Cardoso, Carla Silva Siqueira, Hanstter Hallison Alves Rezende","doi":"10.1590/S1678-9946202466061","DOIUrl":null,"url":null,"abstract":"<p><p>Toxoplasmosis is a widespread zoonotic disease that poses significant public health concern globally, with neurotoxoplasmosis being a severe complication associated with high mortality rates. The standard therapy for neurotoxoplasmosis involves a combination of sulfadiazine and pyrimethamine, which, despite its efficacy, is often limited by adverse effects leading to treatment discontinuation. This study aimed to evaluate the in vivo efficacy of nitazoxanide in treating neurotoxoplasmosis in mice infected with the Me49 strain. The study comprised two groups: Group I, including subgroups of uninfected, infected and treated with saline, and infected and untreated mice; and Group II, comprising infected mice treated with nitazoxanide at 100 mg/kg/day, nitazoxanide at 150 mg/kg/day, and pyrimethamine combined with sulfadiazine. After 14 days of treatment, the mice were euthanized for organ collection. Histopathological examination of the brains revealed that the highest dose of nitazoxanide reduced parasitic load and cerebral hemorrhages. Biochemical and histopathological analyses of liver and kidney tissues demonstrated toxicological profiles comparable to pyrimethamine and sulfadiazine. However, despite showing efficacy and similar toxicity levels, nitazoxanide treatment was less effective regimen in controlling neurotoxoplasmosis in this experimental model compared to the pyrimethamine and sulfadiazine. Thus, while nitazoxanide presents potential in neurotoxoplasmosis treatment, pyrimethamine combined with sulfadiazine remains the preferred therapeutic choice based on better efficacy observed in this study.</p>","PeriodicalId":54466,"journal":{"name":"Revista Do Instituto De Medicina Tropical De Sao Paulo","volume":"66 ","pages":"e61"},"PeriodicalIF":1.7000,"publicationDate":"2024-10-11","publicationTypes":"Journal Article","fieldsOfStudy":null,"isOpenAccess":false,"openAccessPdf":"https://www.ncbi.nlm.nih.gov/pmc/articles/PMC11469426/pdf/","citationCount":"0","resultStr":null,"platform":"Semanticscholar","paperid":null,"PeriodicalName":"Revista Do Instituto De Medicina Tropical De Sao Paulo","FirstCategoryId":"3","ListUrlMain":"https://doi.org/10.1590/S1678-9946202466061","RegionNum":4,"RegionCategory":"医学","ArticlePicture":[],"TitleCN":null,"AbstractTextCN":null,"PMCID":null,"EPubDate":"2024/1/1 0:00:00","PubModel":"eCollection","JCR":"Q4","JCRName":"INFECTIOUS DISEASES","Score":null,"Total":0}
引用次数: 0

Abstract

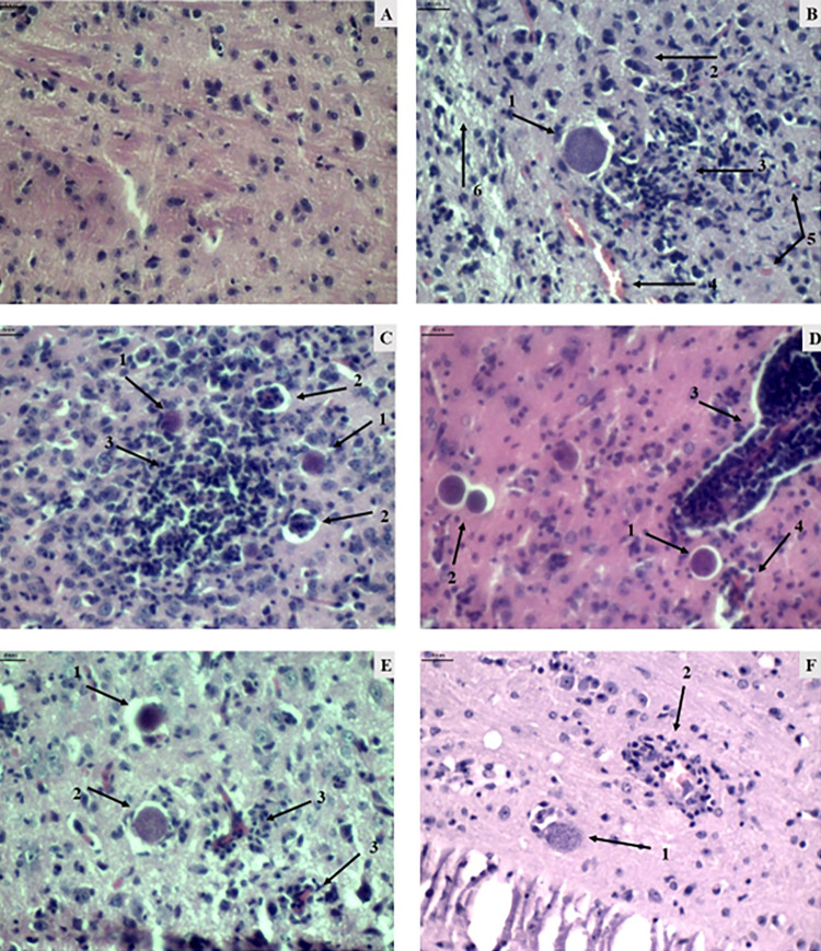
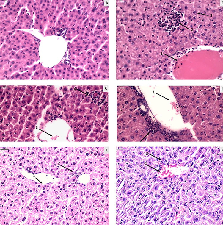
Toxoplasmosis is a widespread zoonotic disease that poses significant public health concern globally, with neurotoxoplasmosis being a severe complication associated with high mortality rates. The standard therapy for neurotoxoplasmosis involves a combination of sulfadiazine and pyrimethamine, which, despite its efficacy, is often limited by adverse effects leading to treatment discontinuation. This study aimed to evaluate the in vivo efficacy of nitazoxanide in treating neurotoxoplasmosis in mice infected with the Me49 strain. The study comprised two groups: Group I, including subgroups of uninfected, infected and treated with saline, and infected and untreated mice; and Group II, comprising infected mice treated with nitazoxanide at 100 mg/kg/day, nitazoxanide at 150 mg/kg/day, and pyrimethamine combined with sulfadiazine. After 14 days of treatment, the mice were euthanized for organ collection. Histopathological examination of the brains revealed that the highest dose of nitazoxanide reduced parasitic load and cerebral hemorrhages. Biochemical and histopathological analyses of liver and kidney tissues demonstrated toxicological profiles comparable to pyrimethamine and sulfadiazine. However, despite showing efficacy and similar toxicity levels, nitazoxanide treatment was less effective regimen in controlling neurotoxoplasmosis in this experimental model compared to the pyrimethamine and sulfadiazine. Thus, while nitazoxanide presents potential in neurotoxoplasmosis treatment, pyrimethamine combined with sulfadiazine remains the preferred therapeutic choice based on better efficacy observed in this study.

Abstract Image

Abstract Image

Abstract Image

评估硝唑尼特在治疗实验性鼠神经弓形虫病中的作用。
弓形虫病是一种广泛传播的人畜共患疾病,在全球范围内引发严重的公共卫生问题,其中神经弓形虫病是一种严重的并发症,死亡率很高。神经弓形虫病的标准疗法包括磺胺嘧啶和乙胺嘧啶的联合用药,尽管疗效显著,但往往受到不良反应的限制,导致治疗中断。本研究旨在评估硝唑尼特治疗感染 Me49 株小鼠神经弓形虫病的体内疗效。研究分为两组:I组包括未感染小鼠、感染并用生理盐水治疗的小鼠以及感染并未用过生理盐水治疗的小鼠;II组包括用硝唑尼特(100毫克/千克/天)、硝唑尼特(150毫克/千克/天)以及嘧霉胺联合磺胺嘧啶治疗的感染小鼠。治疗 14 天后,小鼠被安乐死以收集器官。大脑组织病理学检查显示,最高剂量的硝唑沙胺可减少寄生虫数量和脑出血。肝脏和肾脏组织的生化和组织病理学分析表明,其毒性与乙胺嘧啶和磺胺嘧啶相当。然而,尽管显示出疗效和相似的毒性水平,与嘧啶胺和磺胺嘧啶相比,硝唑沙内酯治疗方案在该实验模型中控制神经弓形虫病的效果较差。因此,虽然硝唑沙内酯具有治疗神经弓形虫病的潜力,但基于本研究中观察到的更好疗效,嘧霉胺联合磺胺嘧啶仍是首选治疗方案。
本文章由计算机程序翻译,如有差异,请以英文原文为准。
求助全文
约1分钟内获得全文 求助全文
来源期刊
CiteScore
3.60
自引率
5.30%
发文量
100
审稿时长
6-12 weeks
期刊介绍: The Revista do Instituto de Medicina Tropical de São Paulo (Journal of the São Paulo Institute of Tropical Medicine) is a journal devoted to research on different aspects of tropical infectious diseases. The journal welcomes original work on all infectious diseases, provided that data and results are directly linked to human health. The journal publishes, besides original articles, review articles, case reports, brief communications, and letters to the editor. The journal publishes manuscripts only in English. From 2016 on, the Revista do Instituto de Medicina Tropical de São Paulo (Journal of the São Paulo Institute of Tropical Medicine) is published online only, maintaining the free access. For more information visit: - http://www.scielo.br/rimtsp - http://www.imt.usp.br/revista-imt/
×
引用
GB/T 7714-2015
复制
MLA
复制
APA
复制
导出至
BibTeX EndNote RefMan NoteFirst NoteExpress
×
提示
您的信息不完整,为了账户安全,请先补充。
现在去补充
×
提示
您因"违规操作"
具体请查看互助需知
我知道了
×
提示
确定
请完成安全验证×
copy
已复制链接
快去分享给好友吧!
我知道了
右上角分享
点击右上角分享
0
联系我们:info@booksci.cn Book学术提供免费学术资源搜索服务,方便国内外学者检索中英文文献。致力于提供最便捷和优质的服务体验。 Copyright © 2023 布克学术 All rights reserved.
京ICP备2023020795号-1
ghs 京公网安备 11010802042870号
Book学术文献互助
Book学术文献互助群
群 号:604180095
Book学术官方微信