Use of helicopter emergency medical services with a physician on board in severe pediatric trauma in Korea: a case report.

IF 0.2
Journal of Trauma and Injury Pub Date : 2024-09-01 Epub Date: 2024-06-14 DOI:10.20408/jti.2023.0080
Yoonsuk Lee, Gunwoo Kim, Pil Young Jung
{"title":"Use of helicopter emergency medical services with a physician on board in severe pediatric trauma in Korea: a case report.","authors":"Yoonsuk Lee, Gunwoo Kim, Pil Young Jung","doi":"10.20408/jti.2023.0080","DOIUrl":null,"url":null,"abstract":"<p><p>In Korea, helicopter emergency medical services (HEMS) with a physician on board were introduced in September 2011, funded by both central and regional governments. HEMS was integrated into the Korean emergency medical system to address the need for EMS in remote rural areas. The present report describes 16-month-old twins who fell from the fifth floor of an apartment building, located approximately 100 km from the nearest level I trauma center. Utilizing HEMS along with initial emergency management by an emergency physician, the patients were transported to the level I trauma center within the critical \"golden hour.\" The children had sustained multiorgan injuries. Without intervention at the scene by an emergency physician, a fatal outcome was anticipated for both children. With the use of HEMS, one patient died, but the other survived with a good prognosis. The use of HEMS flights with an emergency physician on board may improve outcomes for pediatric patients with severe trauma in medically underserved rural areas.</p>","PeriodicalId":52698,"journal":{"name":"Journal of Trauma and Injury","volume":"37 3","pages":"224-227"},"PeriodicalIF":0.2000,"publicationDate":"2024-09-01","publicationTypes":"Journal Article","fieldsOfStudy":null,"isOpenAccess":false,"openAccessPdf":"https://www.ncbi.nlm.nih.gov/pmc/articles/PMC11495949/pdf/","citationCount":"0","resultStr":null,"platform":"Semanticscholar","paperid":null,"PeriodicalName":"Journal of Trauma and Injury","FirstCategoryId":"1085","ListUrlMain":"https://doi.org/10.20408/jti.2023.0080","RegionNum":0,"RegionCategory":null,"ArticlePicture":[],"TitleCN":null,"AbstractTextCN":null,"PMCID":null,"EPubDate":"2024/6/14 0:00:00","PubModel":"Epub","JCR":"","JCRName":"","Score":null,"Total":0}
引用次数: 0

Abstract

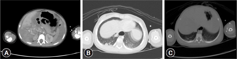
In Korea, helicopter emergency medical services (HEMS) with a physician on board were introduced in September 2011, funded by both central and regional governments. HEMS was integrated into the Korean emergency medical system to address the need for EMS in remote rural areas. The present report describes 16-month-old twins who fell from the fifth floor of an apartment building, located approximately 100 km from the nearest level I trauma center. Utilizing HEMS along with initial emergency management by an emergency physician, the patients were transported to the level I trauma center within the critical "golden hour." The children had sustained multiorgan injuries. Without intervention at the scene by an emergency physician, a fatal outcome was anticipated for both children. With the use of HEMS, one patient died, but the other survived with a good prognosis. The use of HEMS flights with an emergency physician on board may improve outcomes for pediatric patients with severe trauma in medically underserved rural areas.

Abstract Image

Abstract Image

Abstract Image

在韩国严重儿科创伤中使用直升机紧急医疗服务并在机上配备一名医生:病例报告。
韩国于 2011 年 9 月引入了直升机紧急医疗服务 (HEMS),机上配有一名医生,由中央政府和地区政府共同出资。直升机紧急医疗服务被纳入韩国紧急医疗系统,以满足偏远农村地区对紧急医疗服务的需求。本报告描述了一对 16 个月大的双胞胎从一栋公寓楼的五楼坠落,该公寓楼距离最近的一级创伤中心约 100 公里。在一名急诊医生的初步急救处理下,患者在关键的 "黄金一小时 "内被送往一级创伤中心。这些儿童受到了多器官损伤。如果没有急诊医生在现场进行干预,预计两名儿童都将面临死亡。由于使用了直升机急救服务,一名患者死亡,但另一名幸存下来,预后良好。在医疗服务不足的农村地区,使用配备急诊医生的直升机急救服务可改善严重创伤儿科患者的预后。
本文章由计算机程序翻译,如有差异,请以英文原文为准。
求助全文
约1分钟内获得全文 求助全文
来源期刊
自引率
0.00%
发文量
58
审稿时长
11 weeks
×
引用
GB/T 7714-2015
复制
MLA
复制
APA
复制
导出至
BibTeX EndNote RefMan NoteFirst NoteExpress
×
提示
您的信息不完整,为了账户安全,请先补充。
现在去补充
×
提示
您因"违规操作"
具体请查看互助需知
我知道了
×
提示
确定
请完成安全验证×
copy
已复制链接
快去分享给好友吧!
我知道了
右上角分享
点击右上角分享
0
联系我们:info@booksci.cn Book学术提供免费学术资源搜索服务,方便国内外学者检索中英文文献。致力于提供最便捷和优质的服务体验。 Copyright © 2023 布克学术 All rights reserved.
京ICP备2023020795号-1
ghs 京公网安备 11010802042870号
Book学术文献互助
Book学术文献互助群
群 号:604180095
Book学术官方微信