Life-threatening nasotracheal tube obstruction by a blood clot: a case report.

IF 0.2
Journal of Trauma and Injury Pub Date : 2024-09-01 Epub Date: 2024-09-03 DOI:10.20408/jti.2023.0084
Dajeong Lee, Chan Yong Park, Sang Wha Kim
{"title":"Life-threatening nasotracheal tube obstruction by a blood clot: a case report.","authors":"Dajeong Lee, Chan Yong Park, Sang Wha Kim","doi":"10.20408/jti.2023.0084","DOIUrl":null,"url":null,"abstract":"<p><p>The nasotracheal tube (NTT) is frequently used in oral and maxillofacial surgery and is generally considered a safe means of protecting the airway while ensuring an adequate surgical field. The most common complication associated with NTT is epistaxis, and only a few cases of foreign body obstruction have been reported. In this case report, the authors aimed to highlight the potential for NTT obstruction following surgery. A 24-year-old female patient, who underwent mandibuloplasty and rhinoplasty at a local clinic, was referred to our hospital patient due to dyspnea and edema on her right mandibular angle. Even with NTT, patient continued to experience mild dyspnea and tachypnea, so a T-piece was applied. However, tachycardia accompanied by a sudden worsening of dyspnea was observed, and bag-valve-mask ventilation was initiated promptly. But oxygen saturation remained unimproved, so an emergency cricothyroidotomy was performed. After 4 hours, the patient's condition stabilized. Upon examination, the previously inserted NTT was identified, and a blood clot approximately 10 cm long at the NTT tip was discovered, causing lumen obstruction. The obstructions of NTT can lead to serious or life-threatening consequences if left unobserved or ignored. Therefore, when a patient with an NTT complains of dyspnea, clinicians should promptly investigate the possibility of partial NTT obstruction to ensure the airway's security.</p>","PeriodicalId":52698,"journal":{"name":"Journal of Trauma and Injury","volume":"37 3","pages":"220-223"},"PeriodicalIF":0.2000,"publicationDate":"2024-09-01","publicationTypes":"Journal Article","fieldsOfStudy":null,"isOpenAccess":false,"openAccessPdf":"https://www.ncbi.nlm.nih.gov/pmc/articles/PMC11495948/pdf/","citationCount":"0","resultStr":null,"platform":"Semanticscholar","paperid":null,"PeriodicalName":"Journal of Trauma and Injury","FirstCategoryId":"1085","ListUrlMain":"https://doi.org/10.20408/jti.2023.0084","RegionNum":0,"RegionCategory":null,"ArticlePicture":[],"TitleCN":null,"AbstractTextCN":null,"PMCID":null,"EPubDate":"2024/9/3 0:00:00","PubModel":"Epub","JCR":"","JCRName":"","Score":null,"Total":0}
引用次数: 0

Abstract

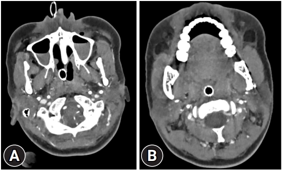
The nasotracheal tube (NTT) is frequently used in oral and maxillofacial surgery and is generally considered a safe means of protecting the airway while ensuring an adequate surgical field. The most common complication associated with NTT is epistaxis, and only a few cases of foreign body obstruction have been reported. In this case report, the authors aimed to highlight the potential for NTT obstruction following surgery. A 24-year-old female patient, who underwent mandibuloplasty and rhinoplasty at a local clinic, was referred to our hospital patient due to dyspnea and edema on her right mandibular angle. Even with NTT, patient continued to experience mild dyspnea and tachypnea, so a T-piece was applied. However, tachycardia accompanied by a sudden worsening of dyspnea was observed, and bag-valve-mask ventilation was initiated promptly. But oxygen saturation remained unimproved, so an emergency cricothyroidotomy was performed. After 4 hours, the patient's condition stabilized. Upon examination, the previously inserted NTT was identified, and a blood clot approximately 10 cm long at the NTT tip was discovered, causing lumen obstruction. The obstructions of NTT can lead to serious or life-threatening consequences if left unobserved or ignored. Therefore, when a patient with an NTT complains of dyspnea, clinicians should promptly investigate the possibility of partial NTT obstruction to ensure the airway's security.

Abstract Image

Abstract Image

血凝块阻塞鼻气管,危及生命:病例报告。
鼻气管插管(NTT)经常用于口腔颌面外科手术,通常被认为是一种既能保护气道又能确保足够手术视野的安全手段。与 NTT 相关的最常见并发症是鼻衄,而异物阻塞的病例仅有少数报道。在本病例报告中,作者旨在强调手术后出现 NTT 梗阻的可能性。一名 24 岁的女性患者在当地一家诊所接受了下颌角整形术和鼻整形术,因呼吸困难和右下颌角水肿而转诊至我院。即使使用了 NTT,患者仍有轻微的呼吸困难和心动过速,因此使用了 T 片。然而,观察到心动过速并伴有呼吸困难突然加重,于是及时启动了袋阀面罩通气。但血氧饱和度仍未改善,于是紧急进行了环甲膜切开术。4 小时后,患者病情稳定。经检查,发现了之前插入的 NTT,并在 NTT 顶端发现了一个长约 10 厘米的血块,导致管腔阻塞。如果不加以注意或忽视,NTT 阻塞可能会导致严重后果或危及生命。因此,当 NTT 患者主诉呼吸困难时,临床医生应及时检查 NTT 部分阻塞的可能性,以确保气道安全。
本文章由计算机程序翻译,如有差异,请以英文原文为准。
求助全文
约1分钟内获得全文 求助全文
来源期刊
自引率
0.00%
发文量
58
审稿时长
11 weeks
×
引用
GB/T 7714-2015
复制
MLA
复制
APA
复制
导出至
BibTeX EndNote RefMan NoteFirst NoteExpress
×
提示
您的信息不完整,为了账户安全,请先补充。
现在去补充
×
提示
您因"违规操作"
具体请查看互助需知
我知道了
×
提示
确定
请完成安全验证×
copy
已复制链接
快去分享给好友吧!
我知道了
右上角分享
点击右上角分享
0
联系我们:info@booksci.cn Book学术提供免费学术资源搜索服务,方便国内外学者检索中英文文献。致力于提供最便捷和优质的服务体验。 Copyright © 2023 布克学术 All rights reserved.
京ICP备2023020795号-1
ghs 京公网安备 11010802042870号
Book学术文献互助
Book学术文献互助群
群 号:604180095
Book学术官方微信