Developmental characteristics of cutaneous telocytes in late embryos of the silky fowl.

IF 2.1 4区 生物学 Q4 CELL BIOLOGY
Hao Li, Junliang Chen, Wenjun You, Yizhen Xu, Yaqiong Ye, Haiquan Zhao, Junxing Li, Hui Zhang
{"title":"Developmental characteristics of cutaneous telocytes in late embryos of the silky fowl.","authors":"Hao Li, Junliang Chen, Wenjun You, Yizhen Xu, Yaqiong Ye, Haiquan Zhao, Junxing Li, Hui Zhang","doi":"10.4081/ejh.2024.4089","DOIUrl":null,"url":null,"abstract":"<p><p>Telocytes (TCs) have been identified in various animals. However, information on TCs in the embryos is still very limited. In this work, the developing skin of the silky fowl was sampled for TCs identification by histology, immunohistochemistry and transmission electron microscopy. In addition, morphological parameters of cutaneous TCs and their location relationships were measured using a morphometry software - ImageJ (FiJi). At the 12th, 16th and 20th day of incubation, in the embryonic skin, telocyte-like cells (TC-L) were observed in the dermis. TCs were PDGFRα+ at the 12th, 16th and 20th day of incubation, but showed CD34+ only at 20th day of incubation in the embryonic dermis. Ultrastructurally, TCs were observed in the dermis at all late embryonic developmental stages. TCs established the homocellular contacts/plasmalemmal adhesion with each other. TCs established heterocellular contacts with melanocytes at 20th day of incubation in the dermis. In addition, the intracellular microvesicles were present in the cytoplasm of TCs. The extracellular microvesicles/exosomes were in close proximity to the TCs. The results confirmed that the locations, immunophenotypes, structural characteristics and relationships of TCs, and revealed the developmental characteristics of cutaneous TCs in late silky fowl embryos.</p>","PeriodicalId":50487,"journal":{"name":"European Journal of Histochemistry","volume":"68 4","pages":""},"PeriodicalIF":2.1000,"publicationDate":"2024-10-15","publicationTypes":"Journal Article","fieldsOfStudy":null,"isOpenAccess":false,"openAccessPdf":"https://www.ncbi.nlm.nih.gov/pmc/articles/PMC11532996/pdf/","citationCount":"0","resultStr":null,"platform":"Semanticscholar","paperid":null,"PeriodicalName":"European Journal of Histochemistry","FirstCategoryId":"99","ListUrlMain":"https://doi.org/10.4081/ejh.2024.4089","RegionNum":4,"RegionCategory":"生物学","ArticlePicture":[],"TitleCN":null,"AbstractTextCN":null,"PMCID":null,"EPubDate":"","PubModel":"","JCR":"Q4","JCRName":"CELL BIOLOGY","Score":null,"Total":0}
引用次数: 0

Abstract

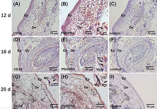
Telocytes (TCs) have been identified in various animals. However, information on TCs in the embryos is still very limited. In this work, the developing skin of the silky fowl was sampled for TCs identification by histology, immunohistochemistry and transmission electron microscopy. In addition, morphological parameters of cutaneous TCs and their location relationships were measured using a morphometry software - ImageJ (FiJi). At the 12th, 16th and 20th day of incubation, in the embryonic skin, telocyte-like cells (TC-L) were observed in the dermis. TCs were PDGFRα+ at the 12th, 16th and 20th day of incubation, but showed CD34+ only at 20th day of incubation in the embryonic dermis. Ultrastructurally, TCs were observed in the dermis at all late embryonic developmental stages. TCs established the homocellular contacts/plasmalemmal adhesion with each other. TCs established heterocellular contacts with melanocytes at 20th day of incubation in the dermis. In addition, the intracellular microvesicles were present in the cytoplasm of TCs. The extracellular microvesicles/exosomes were in close proximity to the TCs. The results confirmed that the locations, immunophenotypes, structural characteristics and relationships of TCs, and revealed the developmental characteristics of cutaneous TCs in late silky fowl embryos.

Abstract Image

Abstract Image

Abstract Image

乌骨鸡胚胎晚期皮肤端细胞的发育特征
Telocytes (TCs)已在多种动物体内被发现。然而,有关胚胎中端正细胞的信息仍然非常有限。本研究对乌骨鸡发育中的皮肤进行取样,通过组织学、免疫组织化学和透射电子显微镜对TCs进行鉴定。此外,还使用形态测量软件 ImageJ(FiJi)测量了皮肤 TC 的形态参数及其位置关系。在培养的第12、16和20天,在胚胎皮肤的真皮层观察到端细胞样细胞(TC-L)。在培养的第12天、第16天和第20天,端粒样细胞呈PDGFRα+,但只有在培养的第20天,胚胎真皮中的端粒样细胞才呈CD34+。从超微结构上看,在胚胎发育的所有晚期阶段,真皮中都能观察到 TCs。TCs之间建立了同细胞接触/浆膜粘附。在真皮培养的第 20 天,TC 与黑色素细胞建立了异细胞接触。此外,TCs 的细胞质中还存在细胞内微囊泡。细胞外的微囊泡/外泌体与 TC 邻近。结果证实了TCs的位置、免疫表型、结构特征和关系,并揭示了乌骨鸡胚胎后期皮肤TCs的发育特征。
本文章由计算机程序翻译,如有差异,请以英文原文为准。
求助全文
约1分钟内获得全文 求助全文
来源期刊
European Journal of Histochemistry
European Journal of Histochemistry 生物-细胞生物学
CiteScore
3.70
自引率
5.00%
发文量
47
审稿时长
3 months
期刊介绍: The Journal publishes original papers concerning investigations by histochemical and immunohistochemical methods, and performed with the aid of light, super-resolution and electron microscopy, cytometry and imaging techniques. Coverage extends to: functional cell and tissue biology in animals and plants; cell differentiation and death; cell-cell interaction and molecular trafficking; biology of cell development and senescence; nerve and muscle cell biology; cellular basis of diseases. The histochemical approach is nowadays essentially aimed at locating molecules in the very place where they exert their biological roles, and at describing dynamically specific chemical activities in living cells. Basic research on cell functional organization is essential for understanding the mechanisms underlying major biological processes such as differentiation, the control of tissue homeostasis, and the regulation of normal and tumor cell growth. Even more than in the past, the European Journal of Histochemistry, as a journal of functional cytology, represents the venue where cell scientists may present and discuss their original results, technical improvements and theories.
×
引用
GB/T 7714-2015
复制
MLA
复制
APA
复制
导出至
BibTeX EndNote RefMan NoteFirst NoteExpress
×
提示
您的信息不完整,为了账户安全,请先补充。
现在去补充
×
提示
您因"违规操作"
具体请查看互助需知
我知道了
×
提示
确定
请完成安全验证×
copy
已复制链接
快去分享给好友吧!
我知道了
右上角分享
点击右上角分享
0
联系我们:info@booksci.cn Book学术提供免费学术资源搜索服务,方便国内外学者检索中英文文献。致力于提供最便捷和优质的服务体验。 Copyright © 2023 布克学术 All rights reserved.
京ICP备2023020795号-1
ghs 京公网安备 11010802042870号
Book学术文献互助
Book学术文献互助群
群 号:604180095
Book学术官方微信