Infraspinatus muscle necrosis in a cat with primary hyperaldosteronism.

IF 0.7 Q3 VETERINARY SCIENCES
Journal of Feline Medicine and Surgery Open Reports Pub Date : 2024-10-17 eCollection Date: 2024-07-01 DOI:10.1177/20551169241282737
Go Otani, Hiroshi Ohta
{"title":"Infraspinatus muscle necrosis in a cat with primary hyperaldosteronism.","authors":"Go Otani, Hiroshi Ohta","doi":"10.1177/20551169241282737","DOIUrl":null,"url":null,"abstract":"<p><strong>Case summary: </strong>Persistent and progressive weakness secondary to hypokalaemia, that is, hypokalaemic polymyopathy, is one of the most common clinical signs of primary hyperaldosteronism (PHA). Herein, we report a case of PHA with infraspinatus muscle necrosis. A 5-year-old castrated male domestic shorthair cat presented with a history of polyuria and polydipsia, decreased activity, staggering gait, difficulty in jumping and inward rotation of both forelimbs. Blood examination revealed hypokalaemia, increased serum creatinine kinase activity and high serum aldosterone concentration. Abdominal ultrasonography and CT revealed an enlarged right adrenal gland. Post-contrast thoracic CT showed peripheral contrast enhancement and a non-enhanced centre in the bilateral infraspinatus muscles. From the day of initial presentation, the cat was started on oral potassium replacement therapy. On day 17, the right adrenal gland was surgically resected and the left infraspinatus muscle was biopsied. Histopathological examination confirmed the presence of an adrenocortical adenoma in the right adrenal gland and necrosis of the muscle fibres in the left infraspinatus muscle. On day 29, all clinical signs had disappeared, and the serum potassium concentration, creatinine kinase activity and aldosterone concentration had normalised. On day 57, atrophy of the bilateral infraspinatus muscles was noted, but there was no evidence of any posture or gait abnormalities.</p><p><strong>Relevance and novel information: </strong>To the authors' knowledge, this is the first report of possible infraspinatus muscle necrosis in a cat with PHA. It is also possible that the infrinatus muscle necrosis with hypokalaemic polymyopathy secondary to PHA was caused by compartment syndrome in the cat described here.</p>","PeriodicalId":36588,"journal":{"name":"Journal of Feline Medicine and Surgery Open Reports","volume":"10 2","pages":"20551169241282737"},"PeriodicalIF":0.7000,"publicationDate":"2024-10-17","publicationTypes":"Journal Article","fieldsOfStudy":null,"isOpenAccess":false,"openAccessPdf":"https://www.ncbi.nlm.nih.gov/pmc/articles/PMC11487503/pdf/","citationCount":"0","resultStr":null,"platform":"Semanticscholar","paperid":null,"PeriodicalName":"Journal of Feline Medicine and Surgery Open Reports","FirstCategoryId":"1085","ListUrlMain":"https://doi.org/10.1177/20551169241282737","RegionNum":0,"RegionCategory":null,"ArticlePicture":[],"TitleCN":null,"AbstractTextCN":null,"PMCID":null,"EPubDate":"2024/7/1 0:00:00","PubModel":"eCollection","JCR":"Q3","JCRName":"VETERINARY SCIENCES","Score":null,"Total":0}
引用次数: 0

Abstract

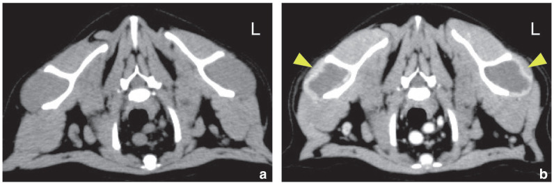
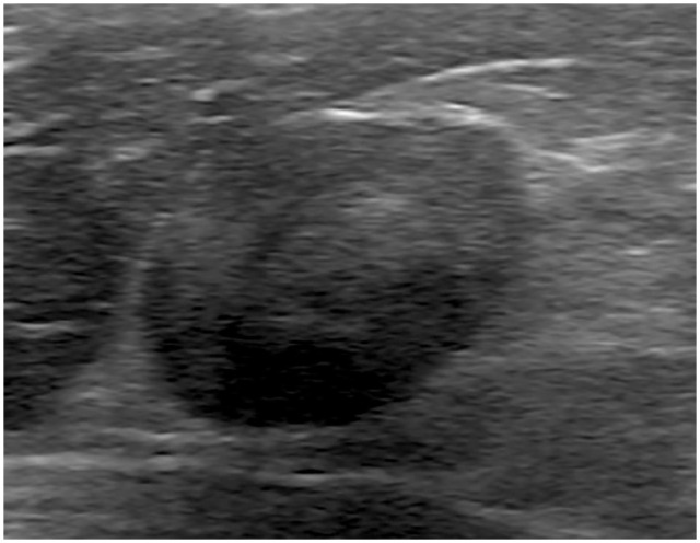
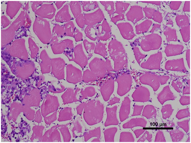
Case summary: Persistent and progressive weakness secondary to hypokalaemia, that is, hypokalaemic polymyopathy, is one of the most common clinical signs of primary hyperaldosteronism (PHA). Herein, we report a case of PHA with infraspinatus muscle necrosis. A 5-year-old castrated male domestic shorthair cat presented with a history of polyuria and polydipsia, decreased activity, staggering gait, difficulty in jumping and inward rotation of both forelimbs. Blood examination revealed hypokalaemia, increased serum creatinine kinase activity and high serum aldosterone concentration. Abdominal ultrasonography and CT revealed an enlarged right adrenal gland. Post-contrast thoracic CT showed peripheral contrast enhancement and a non-enhanced centre in the bilateral infraspinatus muscles. From the day of initial presentation, the cat was started on oral potassium replacement therapy. On day 17, the right adrenal gland was surgically resected and the left infraspinatus muscle was biopsied. Histopathological examination confirmed the presence of an adrenocortical adenoma in the right adrenal gland and necrosis of the muscle fibres in the left infraspinatus muscle. On day 29, all clinical signs had disappeared, and the serum potassium concentration, creatinine kinase activity and aldosterone concentration had normalised. On day 57, atrophy of the bilateral infraspinatus muscles was noted, but there was no evidence of any posture or gait abnormalities.

Relevance and novel information: To the authors' knowledge, this is the first report of possible infraspinatus muscle necrosis in a cat with PHA. It is also possible that the infrinatus muscle necrosis with hypokalaemic polymyopathy secondary to PHA was caused by compartment syndrome in the cat described here.

Abstract Image

Abstract Image

Abstract Image

一只患有原发性高醛固酮症的猫的冈下肌坏死。
病例摘要:继发于低钾血症的持续性和进行性乏力,即低钾血症性多肌病,是原发性高醛固酮血症(PHA)最常见的临床表现之一。在此,我们报告了一例伴有冈下肌坏死的 PHA 病例。一只 5 岁的阉割雄性短毛猫出现多尿、多饮、活动减少、步态蹒跚、跳跃困难和双前肢内旋。血液检查显示该猫患有低钾血症,血清肌酸激酶活性升高,血清醛固酮浓度较高。腹部超声波和 CT 显示右侧肾上腺肿大。对比后胸部 CT 显示双侧冈下肌周围对比增强,中心无增强。从最初出现的那天起,猫就开始接受口服钾替代治疗。第 17 天,手术切除了右侧肾上腺,并对左侧冈下肌进行了活组织检查。组织病理学检查证实,右侧肾上腺存在肾上腺皮质腺瘤,左侧冈下肌肌纤维坏死。第 29 天,所有临床症状消失,血清钾浓度、肌酸激酶活性和醛固酮浓度恢复正常。第 57 天,发现双侧冈下肌萎缩,但没有任何姿势或步态异常的迹象:据作者所知,这是第一份关于患有 PHA 的猫可能出现冈下肌坏死的报告。在本报告中描述的这只猫中,冈下肌坏死和继发于 PHA 的低钾血症性多肌病也可能是由室间综合征引起的。
本文章由计算机程序翻译,如有差异,请以英文原文为准。
求助全文
约1分钟内获得全文 求助全文
来源期刊
CiteScore
1.30
自引率
14.30%
发文量
57
审稿时长
15 weeks
×
引用
GB/T 7714-2015
复制
MLA
复制
APA
复制
导出至
BibTeX EndNote RefMan NoteFirst NoteExpress
×
提示
您的信息不完整,为了账户安全,请先补充。
现在去补充
×
提示
您因"违规操作"
具体请查看互助需知
我知道了
×
提示
确定
请完成安全验证×
copy
已复制链接
快去分享给好友吧!
我知道了
右上角分享
点击右上角分享
0
联系我们:info@booksci.cn Book学术提供免费学术资源搜索服务,方便国内外学者检索中英文文献。致力于提供最便捷和优质的服务体验。 Copyright © 2023 布克学术 All rights reserved.
京ICP备2023020795号-1
ghs 京公网安备 11010802042870号
Book学术文献互助
Book学术文献互助群
群 号:604180095
Book学术官方微信