What's your diagnosis? Circumferential small intestinal mass in a cat

IF 1.1 4区 农林科学 Q3 VETERINARY SCIENCES
Cheryl L. Auch, Nutnapong Udomteerasuwat
{"title":"What's your diagnosis? Circumferential small intestinal mass in a cat","authors":"Cheryl L. Auch,&nbsp;Nutnapong Udomteerasuwat","doi":"10.1111/vcp.13396","DOIUrl":null,"url":null,"abstract":"<p>An 8-year-old, castrated male domestic shorthair cat was presented to their veterinarian to investigate potential causes for vomiting and weight loss (0.45 kg) over the past 9-month period. On a CBC (ProCyte, IDEXX Laboratories), eosinophilia (4860/μL; reference interval: 170–1570) was noted, and a heparinized plasma chemistry panel was unremarkable. Abdominal ultrasound identified a 2.5-cm circumferential, irregular duodenal mass, and fine-needle aspiration biopsies were obtained. The prepared smears were submitted for cytologic evaluation (Figure 1A–D). Additional abnormalities identified via ultrasound included a thickened gallbladder wall, decreased corticomedullary definition in both kidneys and mild mesenteric lymphadenomegaly. The remainder of the abdominal ultrasound evaluation was unremarkable.</p><p>After evaluation of the cytologic specimen, the veterinarian performed an exploratory laparotomy. An approximately 3-cm x 3-cm, duodenal, ulcerated mass was identified immediately aboral to the pyloric sphincter and approximately 5 mm from the sphincter of Oddi. A Billroth I procedure with a choleduodenostomy, and resection was required to obtain adequate margins and reroute the biliary system. Due to the concern for possible mast cell disease, splenectomy and excision of the regional lymph node were also performed, along with an incisional biopsy of the left lateral liver lobe.</p><p>The tissue biopsies of the duodenal mass, spleen, duodenal lymph node and liver were submitted for histologic evaluation. The duodenal mass showed varying densities of plump spindle cells interwoven by collagenous trabeculae extensively affecting the tunica muscularis, submucosa, and mucosa, as appreciated on H&amp;E and Masson's trichrome sections (Figure 2A,B). The spindle cells exhibited basophilic cytoplasm, distinct cell borders, and round vesiculated nuclei with a single prominent nucleolus (Figure 2C). Anisokaryosis was moderate, with 20 mitotic figures in 2.37-mm<sup>2</sup>. The mucosal surface was ulcerated and accompanied by degenerate neutrophils, hemorrhage, and bacterial colonies (Gram-positive cocci and Gram-negative rods). No infectious organisms were detected within the mass on the H&amp;E, Gram, Giemsa or PAS-stained sections. Variable numbers of mast cells, highlighted by toluidine blue stain, and eosinophils were intermixed with the spindle cell population (Figure 2C,D). These findings corresponded with a diagnosis of feline eosinophilic sclerosing fibroplasia.</p><p>The duodenal lymph node biopsy displayed low numbers of eosinophils and histiocytes scattered within the subcapsular and medullary sinuses, consistent with mild, multifocal, eosinophilic lymphadenitis. Histologically, the liver contained multifocal periportal aggregates comprised of a few small lymphocytes, plasma cells, and rare eosinophils, indicating mild, lymphoplasmacytic and eosinophilic periportal hepatitis. The splenic biopsy was histologically normal.</p><p>Feline gastrointestinal eosinophilic sclerosing fibroplasia (FGESF) was first described in 2009 as a unique inflammatory lesion of the feline gastrointestinal tract (stomach to colon) and associated lymph nodes.<span><sup>1</sup></span> Since the condition was originally reported, lesions have been further identified in the rectum,<span><sup>2</sup></span> distant lymph nodes,<span><sup>3</sup></span> nasal cavity,<span><sup>3</sup></span> retroperitoneal space,<span><sup>4</sup></span> liver,<span><sup>5</sup></span> pancreas,<span><sup>6</sup></span> mediastinum,<span><sup>7</sup></span> and mesentery,<span><sup>8</sup></span> which has led to the proposal of the more inclusive term “feline eosinophilic sclerosing fibroplasia (FESF).”<span><sup>3</sup></span> Affected cats typically range in age from 14 weeks to 16 years, with the reported median ages falling between 5 and 8 years.<span><sup>1, 9</sup></span> Neutered males and long-haired cats, particularly the Ragdoll breed, have been disproportionately represented, which may suggest a genetic role.<span><sup>1, 10</sup></span> Clinical signs are often chronic, and presenting complaints include vomiting, diarrhea or constipation, weight loss, decreased appetite, excessive or decreased grooming, and lethargy.<span><sup>9</sup></span> On physical examination, an intra-abdominal mass is often (&gt;85% of cases) palpable.<span><sup>1, 9</sup></span> Clinicopathologic tests may reveal eosinophilia (~50% of cases), anemia (~66% of cases), neutrophilia or neutropenia, monocytosis, lymphocytosis, basophilia, evidence of cholestasis, hypoalbuminemia, and hyperglobulinemia.<span><sup>1, 9</sup></span> Ultrasonographic features are indistinguishable between FESF and neoplasia; therefore, additional diagnostic tests such as fine-needle aspiration and/or biopsy are encouraged.<span><sup>5</sup></span> Grossly, gastrointestinal lesions appear as ulcerated mural masses, as noted in this case.<span><sup>1</sup></span> Lesions beyond the digestive tract can appear as nodules or masses.<span><sup>3</sup></span></p><p>Similar to this case, typical cytologic findings include a proliferation of large, irregular to spindled cells associated with pink extracellular matrix and numerous eosinophils.<span><sup>1</sup></span> Neutrophils with or without intracellular, rod and/or cocci bacteria may also be seen.<span><sup>1</sup></span> Small to intermediate lymphocytes, degranulated mast cells, and plasma cells may be present in low numbers.<span><sup>1</sup></span> The heterogeneity of the cellular components in FESF may pose a diagnostic challenge cytologically, especially if the cytologic specimens only reflect focal areas of the lesion. Cytologic differentials may include sarcomas, mast cell disease, and inflammatory lesions with reactive fibroplasia.<span><sup>2</sup></span> Ultimately, cytology alone often cannot reach a diagnosis of FESF, and histopathologic evaluation of a tissue biopsy is needed to confirm the diagnosis.<span><sup>2</sup></span> However, cytology can still be beneficial to rule out other, more common, neoplasms such as lymphoma or adenocarcinoma. However, FESF lesions can sometimes also pose a diagnostic challenge histologically due to marked mast cell infiltrations, aggregates of dense collagen mimicking osteoid, and variable degrees of mitotic activity and nuclear pleomorphism, which can lead to misdiagnoses such as mast cell tumors, fibrosarcomas, and extraskeletal osteosarcomas.<span><sup>1, 11</sup></span> Discrimination between FESF lesions and sclerosing mast cell tumors can be particularly challenging, and differentiation between the two can be aided by assessment of the mast cell distribution.<span><sup>11</sup></span> The mast cells in FESF lesions are multifocally distributed amongst the other inflammatory cells, while the mast cells in mast cell tumors aggregate in sheets to form a distinct mass.<span><sup>11</sup></span> Histochemical stains such as toluidine blue and Masson's trichrome may be helpful for characterization and confirmation of the diagnosis.<span><sup>11</sup></span> The most consistently described histologic findings include dense collagen trabeculae, numerous large fibroblasts, and many eosinophils.<span><sup>1</sup></span> Intralesional bacteria are also common and can be located within microabscesses and necrotic foci; though in this case, the bacterial organisms were isolated to the ulcerated mucosal surface and not appreciated within the mass.<span><sup>1, 2, 11</sup></span> Giemsa stain, Ziehl-Neelsen stain, Gram Twort's stain, periodic acid-Schiff stain, immunochemistry, and/or fluorescence in situ hybridization have also been used to detect intralesional organisms.<span><sup>1, 11</sup></span></p><p>The pathogenesis of FESF lesions has not been completely elucidated.<span><sup>10</sup></span> It is hypothesized that the eosinophilic inflammation is associated with an inherited dysregulated inflammatory response, similar to eosinophilic granuloma complex.<span><sup>6</sup></span> Chronic inflammation and hypersensitivity responses may predispose cats to FESF due to immunoglobulin E binding with previously encountered antigens and mast cells via the actions of interleukin-5.<span><sup>6</sup></span> Fibrosis may result from an overexuberant reaction to an inflammatory process or antigenic stimulation resulting in exaggerated collagen deposition with collagen type switching observed between mild and more severe lesions.<span><sup>1, 3, 10</sup></span> It is thought that the inflammatory process triggers increased production of transforming growth factor beta-1 and insulin-like growth factor 1 which subsequently induces changes in the fibroblast phenotype.<span><sup>10</sup></span> Chronic antigenic stimulation is suspected to play a role in the development of FESF lesions due to the frequent association with intralesional bacteria or less commonly fungal organisms.<span><sup>9</sup></span> Other proposed mechanisms include dysregulation of eosinophils, dysbiosis, ingestion of foreign material, food hypersensitivities, extracellular endoparasites, or penetrating wounds such as gastrointestinal foreign bodies.<span><sup>6, 10</sup></span> There has been no evidence supporting feline coronavirus or herpesvirus-1 for the development of FESF lesions.<span><sup>11</sup></span> Despite the frequency of intralesional bacteria, administration of antibiotics alone does not appear effective for resolving FESF lesions.<span><sup>3</sup></span> Current treatment protocols are multimodal and typically include a combination of immunosuppressive medications, predominantly corticosteroids, along with surgical debulking or resection, when possible.<span><sup>6, 9</sup></span> Hydrolyzed or selected protein diets have been investigated, though their effectiveness is currently unclear.<span><sup>9</sup></span> The prognosis for cats with FESF is variable and may be guarded to good, depending on the location of the lesion, selected treatment options, and overall response to therapy.<span><sup>4, 9</sup></span></p><p>The authors declare that they have no conflict of interest.</p>","PeriodicalId":23593,"journal":{"name":"Veterinary clinical pathology","volume":"54 S1","pages":"S29-S32"},"PeriodicalIF":1.1000,"publicationDate":"2024-10-21","publicationTypes":"Journal Article","fieldsOfStudy":null,"isOpenAccess":false,"openAccessPdf":"https://onlinelibrary.wiley.com/doi/epdf/10.1111/vcp.13396","citationCount":"0","resultStr":null,"platform":"Semanticscholar","paperid":null,"PeriodicalName":"Veterinary clinical pathology","FirstCategoryId":"97","ListUrlMain":"https://onlinelibrary.wiley.com/doi/10.1111/vcp.13396","RegionNum":4,"RegionCategory":"农林科学","ArticlePicture":[],"TitleCN":null,"AbstractTextCN":null,"PMCID":null,"EPubDate":"","PubModel":"","JCR":"Q3","JCRName":"VETERINARY SCIENCES","Score":null,"Total":0}
引用次数: 0

Abstract

An 8-year-old, castrated male domestic shorthair cat was presented to their veterinarian to investigate potential causes for vomiting and weight loss (0.45 kg) over the past 9-month period. On a CBC (ProCyte, IDEXX Laboratories), eosinophilia (4860/μL; reference interval: 170–1570) was noted, and a heparinized plasma chemistry panel was unremarkable. Abdominal ultrasound identified a 2.5-cm circumferential, irregular duodenal mass, and fine-needle aspiration biopsies were obtained. The prepared smears were submitted for cytologic evaluation (Figure 1A–D). Additional abnormalities identified via ultrasound included a thickened gallbladder wall, decreased corticomedullary definition in both kidneys and mild mesenteric lymphadenomegaly. The remainder of the abdominal ultrasound evaluation was unremarkable.

After evaluation of the cytologic specimen, the veterinarian performed an exploratory laparotomy. An approximately 3-cm x 3-cm, duodenal, ulcerated mass was identified immediately aboral to the pyloric sphincter and approximately 5 mm from the sphincter of Oddi. A Billroth I procedure with a choleduodenostomy, and resection was required to obtain adequate margins and reroute the biliary system. Due to the concern for possible mast cell disease, splenectomy and excision of the regional lymph node were also performed, along with an incisional biopsy of the left lateral liver lobe.

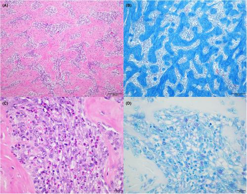
The tissue biopsies of the duodenal mass, spleen, duodenal lymph node and liver were submitted for histologic evaluation. The duodenal mass showed varying densities of plump spindle cells interwoven by collagenous trabeculae extensively affecting the tunica muscularis, submucosa, and mucosa, as appreciated on H&E and Masson's trichrome sections (Figure 2A,B). The spindle cells exhibited basophilic cytoplasm, distinct cell borders, and round vesiculated nuclei with a single prominent nucleolus (Figure 2C). Anisokaryosis was moderate, with 20 mitotic figures in 2.37-mm2. The mucosal surface was ulcerated and accompanied by degenerate neutrophils, hemorrhage, and bacterial colonies (Gram-positive cocci and Gram-negative rods). No infectious organisms were detected within the mass on the H&E, Gram, Giemsa or PAS-stained sections. Variable numbers of mast cells, highlighted by toluidine blue stain, and eosinophils were intermixed with the spindle cell population (Figure 2C,D). These findings corresponded with a diagnosis of feline eosinophilic sclerosing fibroplasia.

The duodenal lymph node biopsy displayed low numbers of eosinophils and histiocytes scattered within the subcapsular and medullary sinuses, consistent with mild, multifocal, eosinophilic lymphadenitis. Histologically, the liver contained multifocal periportal aggregates comprised of a few small lymphocytes, plasma cells, and rare eosinophils, indicating mild, lymphoplasmacytic and eosinophilic periportal hepatitis. The splenic biopsy was histologically normal.

Feline gastrointestinal eosinophilic sclerosing fibroplasia (FGESF) was first described in 2009 as a unique inflammatory lesion of the feline gastrointestinal tract (stomach to colon) and associated lymph nodes.1 Since the condition was originally reported, lesions have been further identified in the rectum,2 distant lymph nodes,3 nasal cavity,3 retroperitoneal space,4 liver,5 pancreas,6 mediastinum,7 and mesentery,8 which has led to the proposal of the more inclusive term “feline eosinophilic sclerosing fibroplasia (FESF).”3 Affected cats typically range in age from 14 weeks to 16 years, with the reported median ages falling between 5 and 8 years.1, 9 Neutered males and long-haired cats, particularly the Ragdoll breed, have been disproportionately represented, which may suggest a genetic role.1, 10 Clinical signs are often chronic, and presenting complaints include vomiting, diarrhea or constipation, weight loss, decreased appetite, excessive or decreased grooming, and lethargy.9 On physical examination, an intra-abdominal mass is often (>85% of cases) palpable.1, 9 Clinicopathologic tests may reveal eosinophilia (~50% of cases), anemia (~66% of cases), neutrophilia or neutropenia, monocytosis, lymphocytosis, basophilia, evidence of cholestasis, hypoalbuminemia, and hyperglobulinemia.1, 9 Ultrasonographic features are indistinguishable between FESF and neoplasia; therefore, additional diagnostic tests such as fine-needle aspiration and/or biopsy are encouraged.5 Grossly, gastrointestinal lesions appear as ulcerated mural masses, as noted in this case.1 Lesions beyond the digestive tract can appear as nodules or masses.3

Similar to this case, typical cytologic findings include a proliferation of large, irregular to spindled cells associated with pink extracellular matrix and numerous eosinophils.1 Neutrophils with or without intracellular, rod and/or cocci bacteria may also be seen.1 Small to intermediate lymphocytes, degranulated mast cells, and plasma cells may be present in low numbers.1 The heterogeneity of the cellular components in FESF may pose a diagnostic challenge cytologically, especially if the cytologic specimens only reflect focal areas of the lesion. Cytologic differentials may include sarcomas, mast cell disease, and inflammatory lesions with reactive fibroplasia.2 Ultimately, cytology alone often cannot reach a diagnosis of FESF, and histopathologic evaluation of a tissue biopsy is needed to confirm the diagnosis.2 However, cytology can still be beneficial to rule out other, more common, neoplasms such as lymphoma or adenocarcinoma. However, FESF lesions can sometimes also pose a diagnostic challenge histologically due to marked mast cell infiltrations, aggregates of dense collagen mimicking osteoid, and variable degrees of mitotic activity and nuclear pleomorphism, which can lead to misdiagnoses such as mast cell tumors, fibrosarcomas, and extraskeletal osteosarcomas.1, 11 Discrimination between FESF lesions and sclerosing mast cell tumors can be particularly challenging, and differentiation between the two can be aided by assessment of the mast cell distribution.11 The mast cells in FESF lesions are multifocally distributed amongst the other inflammatory cells, while the mast cells in mast cell tumors aggregate in sheets to form a distinct mass.11 Histochemical stains such as toluidine blue and Masson's trichrome may be helpful for characterization and confirmation of the diagnosis.11 The most consistently described histologic findings include dense collagen trabeculae, numerous large fibroblasts, and many eosinophils.1 Intralesional bacteria are also common and can be located within microabscesses and necrotic foci; though in this case, the bacterial organisms were isolated to the ulcerated mucosal surface and not appreciated within the mass.1, 2, 11 Giemsa stain, Ziehl-Neelsen stain, Gram Twort's stain, periodic acid-Schiff stain, immunochemistry, and/or fluorescence in situ hybridization have also been used to detect intralesional organisms.1, 11

The pathogenesis of FESF lesions has not been completely elucidated.10 It is hypothesized that the eosinophilic inflammation is associated with an inherited dysregulated inflammatory response, similar to eosinophilic granuloma complex.6 Chronic inflammation and hypersensitivity responses may predispose cats to FESF due to immunoglobulin E binding with previously encountered antigens and mast cells via the actions of interleukin-5.6 Fibrosis may result from an overexuberant reaction to an inflammatory process or antigenic stimulation resulting in exaggerated collagen deposition with collagen type switching observed between mild and more severe lesions.1, 3, 10 It is thought that the inflammatory process triggers increased production of transforming growth factor beta-1 and insulin-like growth factor 1 which subsequently induces changes in the fibroblast phenotype.10 Chronic antigenic stimulation is suspected to play a role in the development of FESF lesions due to the frequent association with intralesional bacteria or less commonly fungal organisms.9 Other proposed mechanisms include dysregulation of eosinophils, dysbiosis, ingestion of foreign material, food hypersensitivities, extracellular endoparasites, or penetrating wounds such as gastrointestinal foreign bodies.6, 10 There has been no evidence supporting feline coronavirus or herpesvirus-1 for the development of FESF lesions.11 Despite the frequency of intralesional bacteria, administration of antibiotics alone does not appear effective for resolving FESF lesions.3 Current treatment protocols are multimodal and typically include a combination of immunosuppressive medications, predominantly corticosteroids, along with surgical debulking or resection, when possible.6, 9 Hydrolyzed or selected protein diets have been investigated, though their effectiveness is currently unclear.9 The prognosis for cats with FESF is variable and may be guarded to good, depending on the location of the lesion, selected treatment options, and overall response to therapy.4, 9

The authors declare that they have no conflict of interest.

Abstract Image

您的诊断结果是什么?猫的环形小肠肿块。
FESF中细胞成分的异质性可能会对细胞学诊断造成挑战,特别是当细胞学标本仅反映病变的病灶区域时。细胞学上的差异可包括肉瘤、肥大细胞病和伴有反应性纤维增生的炎性病变最终,单靠细胞学检查往往不能诊断FESF,需要组织活检的组织病理学评估来确诊然而,细胞学检查仍然有助于排除其他更常见的肿瘤,如淋巴瘤或腺癌。然而,FESF病变有时在组织学上也会带来诊断上的挑战,因为有明显的肥大细胞浸润,密集的胶原聚集模拟类骨,不同程度的有丝分裂活性和核多形性,这可能导致误诊,如肥大细胞瘤、纤维肉瘤和骨骼外骨肉瘤。区分FESF病变和硬化性肥大细胞瘤尤其具有挑战性,通过对肥大细胞分布的评估可以帮助区分两者FESF病变中的肥大细胞多灶性分布于其他炎症细胞中,而肥大细胞瘤中的肥大细胞呈片状聚集形成明显的团块组织化学染色如甲苯胺蓝和马松三色可能有助于特征和诊断的确认最一致的组织学表现包括密集的胶原小梁,大量的成纤维细胞和许多嗜酸性粒细胞病灶内细菌也很常见,可位于微脓肿和坏死灶内;虽然在本例中,细菌有机体被分离到溃疡粘膜表面,在肿块内未被发现。1,2, 11 Giemsa染色,Ziehl-Neelsen染色,革兰氏染色,周期性酸-希夫染色,免疫化学和/或荧光原位杂交也被用于检测病灶内的生物。1,11 FESF病变的发病机制尚未完全阐明据推测,嗜酸性粒细胞炎症与遗传性炎症反应失调有关,类似于嗜酸性肉芽肿复合体由于免疫球蛋白E通过白细胞介素的作用与先前遇到的抗原和肥大细胞结合,慢性炎症和超敏反应可能使猫易患FESF。5.6纤维化可能是由于对炎症过程或抗原刺激的过度反应,导致胶原沉积过度,在轻度和更严重的病变之间观察到胶原类型转换。1,3,10据认为,炎症过程触发了转化生长因子β -1和胰岛素样生长因子1的增加,随后诱导成纤维细胞表型的变化慢性抗原刺激被怀疑在FESF病变的发展中起作用,因为它经常与病灶内细菌或不太常见的真菌生物有关其他提出的机制包括嗜酸性粒细胞失调、生态失调、异物摄入、食物过敏、细胞外内寄生虫或穿透性伤口(如胃肠道异物)。没有证据表明猫冠状病毒或疱疹病毒-1与FESF病变的发生有关尽管经常出现局灶内细菌,但单独使用抗生素似乎不能有效地解决FESF病变目前的治疗方案是多模式的,通常包括免疫抑制药物,主要是皮质类固醇,以及手术切除,如果可能的话。水解或选择性蛋白质饮食已被研究过,但其有效性目前尚不清楚患有FESF的猫的预后是可变的,可能是良好的,这取决于病变的位置、所选择的治疗方案和对治疗的总体反应。作者声明他们没有利益冲突。
本文章由计算机程序翻译,如有差异,请以英文原文为准。
求助全文
约1分钟内获得全文 求助全文
来源期刊
Veterinary clinical pathology
Veterinary clinical pathology 农林科学-兽医学
CiteScore
1.70
自引率
16.70%
发文量
133
审稿时长
18-36 weeks
期刊介绍: Veterinary Clinical Pathology is the official journal of the American Society for Veterinary Clinical Pathology (ASVCP) and the European Society of Veterinary Clinical Pathology (ESVCP). The journal''s mission is to provide an international forum for communication and discussion of scientific investigations and new developments that advance the art and science of laboratory diagnosis in animals. Veterinary Clinical Pathology welcomes original experimental research and clinical contributions involving domestic, laboratory, avian, and wildlife species in the areas of hematology, hemostasis, immunopathology, clinical chemistry, cytopathology, surgical pathology, toxicology, endocrinology, laboratory and analytical techniques, instrumentation, quality assurance, and clinical pathology education.
×
引用
GB/T 7714-2015
复制
MLA
复制
APA
复制
导出至
BibTeX EndNote RefMan NoteFirst NoteExpress
×
提示
您的信息不完整,为了账户安全,请先补充。
现在去补充
×
提示
您因"违规操作"
具体请查看互助需知
我知道了
×
提示
确定
请完成安全验证×
copy
已复制链接
快去分享给好友吧!
我知道了
右上角分享
点击右上角分享
0
联系我们:info@booksci.cn Book学术提供免费学术资源搜索服务,方便国内外学者检索中英文文献。致力于提供最便捷和优质的服务体验。 Copyright © 2023 布克学术 All rights reserved.
京ICP备2023020795号-1
ghs 京公网安备 11010802042870号
Book学术文献互助
Book学术文献互助群
群 号:604180095
Book学术官方微信