Rapid on-site detection of echinococcosis and schistosomiasis based on RPA.

IF 2.5 4区 医学 Q2 PARASITOLOGY
Memorias do Instituto Oswaldo Cruz Pub Date : 2024-10-11 eCollection Date: 2024-01-01 DOI:10.1590/0074-02760230244
Lvbo Tian, Ying Shi, Yu Yang, Yuchen Wang
{"title":"Rapid on-site detection of echinococcosis and schistosomiasis based on RPA.","authors":"Lvbo Tian, Ying Shi, Yu Yang, Yuchen Wang","doi":"10.1590/0074-02760230244","DOIUrl":null,"url":null,"abstract":"<p><strong>Background: </strong>Echinococcosis and schistosomiasis, caused by parasitic worms, pose significant threats to millions of people in the world. Rapid and effective pathogen detection and epidemic control by public health authorities are urgently needed.</p><p><strong>Objectives: </strong>In this study, we aimed to develop rapid on-site detection method to detect echinococcosis and schistosomiasis.</p><p><strong>Methods: </strong>Recombinase polymerase amplification (RPA) was utilised to examine its efficacy of detection of echinococcosis and schistosomiasis.</p><p><strong>Findings: </strong>The detection probes for RPA were created through comparing parasitic genomes from international genomic data and the sequences generated by our group. We established an optimised RPA on-site testing platform, which significantly reduces the detection time (less than 30 min) and simplifies the operation (free of expensive equipment) as compared to traditional polymerase chain reaction (PCR) method.</p><p><strong>Main conclusions: </strong>This RPA detection platform in our study for identifying echinococcosis or schistosomiasis pathogens would be greatly applicable for epidemic investigation, border screening, and early clinical diagnosis.</p>","PeriodicalId":18469,"journal":{"name":"Memorias do Instituto Oswaldo Cruz","volume":"119 ","pages":"e230244"},"PeriodicalIF":2.5000,"publicationDate":"2024-10-11","publicationTypes":"Journal Article","fieldsOfStudy":null,"isOpenAccess":false,"openAccessPdf":"https://www.ncbi.nlm.nih.gov/pmc/articles/PMC11469317/pdf/","citationCount":"0","resultStr":null,"platform":"Semanticscholar","paperid":null,"PeriodicalName":"Memorias do Instituto Oswaldo Cruz","FirstCategoryId":"3","ListUrlMain":"https://doi.org/10.1590/0074-02760230244","RegionNum":4,"RegionCategory":"医学","ArticlePicture":[],"TitleCN":null,"AbstractTextCN":null,"PMCID":null,"EPubDate":"2024/1/1 0:00:00","PubModel":"eCollection","JCR":"Q2","JCRName":"PARASITOLOGY","Score":null,"Total":0}
引用次数: 0

Abstract

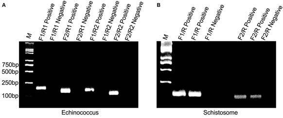
Background: Echinococcosis and schistosomiasis, caused by parasitic worms, pose significant threats to millions of people in the world. Rapid and effective pathogen detection and epidemic control by public health authorities are urgently needed.

Objectives: In this study, we aimed to develop rapid on-site detection method to detect echinococcosis and schistosomiasis.

Methods: Recombinase polymerase amplification (RPA) was utilised to examine its efficacy of detection of echinococcosis and schistosomiasis.

Findings: The detection probes for RPA were created through comparing parasitic genomes from international genomic data and the sequences generated by our group. We established an optimised RPA on-site testing platform, which significantly reduces the detection time (less than 30 min) and simplifies the operation (free of expensive equipment) as compared to traditional polymerase chain reaction (PCR) method.

Main conclusions: This RPA detection platform in our study for identifying echinococcosis or schistosomiasis pathogens would be greatly applicable for epidemic investigation, border screening, and early clinical diagnosis.

Abstract Image

Abstract Image

Abstract Image

基于 RPA 的棘球蚴病和血吸虫病现场快速检测。
背景:由寄生蠕虫引起的棘球蚴病和血吸虫病对全球数百万人构成严重威胁。公共卫生部门迫切需要快速有效的病原体检测和疫情控制:本研究旨在开发现场快速检测方法,以检测棘球蚴病和血吸虫病:方法:采用重组酶聚合酶扩增法(RPA)检测棘球蚴病和血吸虫病:RPA 的检测探针是通过比较国际基因组数据中的寄生虫基因组和我们小组生成的序列而创建的。我们建立了一个优化的 RPA 现场检测平台,与传统的聚合酶链反应(PCR)方法相比,它大大缩短了检测时间(不到 30 分钟),简化了操作(无需昂贵的设备):主要结论:我们的研究中用于鉴定棘球蚴病或血吸虫病病原体的 RPA 检测平台将极大地适用于疫情调查、边境筛查和早期临床诊断。
本文章由计算机程序翻译,如有差异,请以英文原文为准。
求助全文
约1分钟内获得全文 求助全文
来源期刊
CiteScore
5.00
自引率
3.60%
发文量
91
审稿时长
3-8 weeks
期刊介绍: Memórias do Instituto Oswaldo Cruz is a journal specialized in microbes & their vectors causing human infections. This means that we accept manuscripts covering multidisciplinary approaches and findings in the basic aspects of infectious diseases, e.g. basic in research in prokariotes, eukaryotes, and/or virus. Articles must clearly show what is the main question to be answered, the hypothesis raised, and the contribution given by the study. Priority is given to manuscripts reporting novel mechanisms and general findings concerning the biology of human infectious prokariotes, eukariotes or virus. Papers reporting innovative methods for diagnostics or that advance the basic research with these infectious agents are also welcome. It is important to mention what we do not publish: veterinary infectious agents research, taxonomic analysis and re-description of species, epidemiological studies or surveys or case reports and data re-analysis. Manuscripts that fall in these cases or that are considered of low priority by the journal editorial board, will be returned to the author(s) for submission to another journal.
×
引用
GB/T 7714-2015
复制
MLA
复制
APA
复制
导出至
BibTeX EndNote RefMan NoteFirst NoteExpress
×
提示
您的信息不完整,为了账户安全,请先补充。
现在去补充
×
提示
您因"违规操作"
具体请查看互助需知
我知道了
×
提示
确定
请完成安全验证×
copy
已复制链接
快去分享给好友吧!
我知道了
右上角分享
点击右上角分享
0
联系我们:info@booksci.cn Book学术提供免费学术资源搜索服务,方便国内外学者检索中英文文献。致力于提供最便捷和优质的服务体验。 Copyright © 2023 布克学术 All rights reserved.
京ICP备2023020795号-1
ghs 京公网安备 11010802042870号
Book学术文献互助
Book学术文献互助群
群 号:604180095
Book学术官方微信