Partial regression of conventional renal cell carcinoma displays markers of wound repair.

IF 2 4区 医学 Q2 PATHOLOGY
Lilla Domonkos, Maria Yusenko, Gyula Kovacs, Daniel Banyai
{"title":"Partial regression of conventional renal cell carcinoma displays markers of wound repair.","authors":"Lilla Domonkos, Maria Yusenko, Gyula Kovacs, Daniel Banyai","doi":"10.1136/jcp-2024-209459","DOIUrl":null,"url":null,"abstract":"<p><strong>Aims: </strong>During detailed analysis of H&E-stained histological slides of 710 unbiased conventional renal cell carcinomas (cRCCs), 141 tumours displayed partial regressive changes showing strong similarity to that of wound healing. We aimed to analyse the molecular processes occurring in regressive tumours.</p><p><strong>Methods: </strong>Immunohistochemistry was applied to analyse the signalling molecules in 12 selected tumours, and statistical analysis was used to estimate the correlation between regression and the outcome of the disease.</p><p><strong>Results: </strong>The regressive areas displayed inflammatory granulation tissue expressing transforming growth factor beta-1 (TGFB1), interleukin-1 beta and interleukin-6 (IL1B and IL6), proliferation of alpha smooth muscle actin (αSMA) positive naïve activated fibroblasts and a diffuse fibronectin 1 (FN1) network. In the central areas of regressive tissues, parallel-running myofibroblasts showed FN1, collagen type I alpha 1 (COL1A1) and collagen type III alpha 1 (COL3A1) positive immunoreaction. Partial tumour regression is associated with a better postoperative course of the disease.</p><p><strong>Conclusions: </strong>Partial regression is a frequent event in cRCCs. Recognising complex molecular processes involved in tumour regression might help to find a way towards 'healing' cRCC.</p>","PeriodicalId":15391,"journal":{"name":"Journal of Clinical Pathology","volume":" ","pages":"404-408"},"PeriodicalIF":2.0000,"publicationDate":"2025-05-25","publicationTypes":"Journal Article","fieldsOfStudy":null,"isOpenAccess":false,"openAccessPdf":"https://www.ncbi.nlm.nih.gov/pmc/articles/PMC12171393/pdf/","citationCount":"0","resultStr":null,"platform":"Semanticscholar","paperid":null,"PeriodicalName":"Journal of Clinical Pathology","FirstCategoryId":"3","ListUrlMain":"https://doi.org/10.1136/jcp-2024-209459","RegionNum":4,"RegionCategory":"医学","ArticlePicture":[],"TitleCN":null,"AbstractTextCN":null,"PMCID":null,"EPubDate":"","PubModel":"","JCR":"Q2","JCRName":"PATHOLOGY","Score":null,"Total":0}
引用次数: 0

Abstract

Aims: During detailed analysis of H&E-stained histological slides of 710 unbiased conventional renal cell carcinomas (cRCCs), 141 tumours displayed partial regressive changes showing strong similarity to that of wound healing. We aimed to analyse the molecular processes occurring in regressive tumours.

Methods: Immunohistochemistry was applied to analyse the signalling molecules in 12 selected tumours, and statistical analysis was used to estimate the correlation between regression and the outcome of the disease.

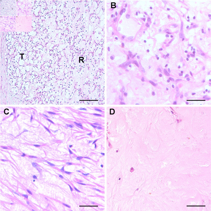
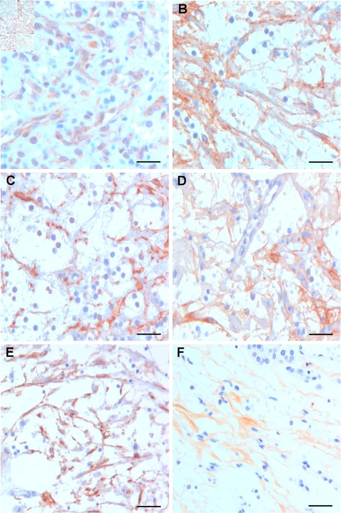
Results: The regressive areas displayed inflammatory granulation tissue expressing transforming growth factor beta-1 (TGFB1), interleukin-1 beta and interleukin-6 (IL1B and IL6), proliferation of alpha smooth muscle actin (αSMA) positive naïve activated fibroblasts and a diffuse fibronectin 1 (FN1) network. In the central areas of regressive tissues, parallel-running myofibroblasts showed FN1, collagen type I alpha 1 (COL1A1) and collagen type III alpha 1 (COL3A1) positive immunoreaction. Partial tumour regression is associated with a better postoperative course of the disease.

Conclusions: Partial regression is a frequent event in cRCCs. Recognising complex molecular processes involved in tumour regression might help to find a way towards 'healing' cRCC.

Abstract Image

Abstract Image

Abstract Image

传统肾细胞癌的部分消退显示了伤口修复的标志物。
目的:在对710个无偏见的常规肾细胞癌(cRCC)的H&E染色组织学切片进行详细分析时,141个肿瘤显示出部分退行性变化,与伤口愈合非常相似。我们的目的是分析发生在退行性肿瘤中的分子过程:方法:采用免疫组化方法分析了 12 个选定肿瘤中的信号分子,并采用统计分析方法估计了退行性变化与疾病结果之间的相关性:结果:退变区域显示出表达转化生长因子β1(TGFB1)、白细胞介素-1β和白细胞介素-6(IL1B和IL6)的炎性肉芽组织,α平滑肌肌动蛋白(αSMA)阳性的幼稚活化成纤维细胞增殖,以及弥漫的纤维粘连蛋白1(FN1)网络。在消退组织的中心区域,平行运行的肌成纤维细胞显示出 FN1、Ⅰ型胶原α1(COL1A1)和Ⅲ型胶原α1(COL3A1)阳性免疫反应。肿瘤部分消退与术后病情好转有关:结论:部分消退是 cRCC 的常见症状。认识肿瘤消退的复杂分子过程可能有助于找到 "治愈 "cRCC的方法。
本文章由计算机程序翻译,如有差异,请以英文原文为准。
求助全文
约1分钟内获得全文 求助全文
来源期刊
CiteScore
7.80
自引率
2.90%
发文量
113
审稿时长
3-8 weeks
期刊介绍: Journal of Clinical Pathology is a leading international journal covering all aspects of pathology. Diagnostic and research areas covered include histopathology, virology, haematology, microbiology, cytopathology, chemical pathology, molecular pathology, forensic pathology, dermatopathology, neuropathology and immunopathology. Each issue contains Reviews, Original articles, Short reports, Correspondence and more.
×
引用
GB/T 7714-2015
复制
MLA
复制
APA
复制
导出至
BibTeX EndNote RefMan NoteFirst NoteExpress
×
提示
您的信息不完整,为了账户安全,请先补充。
现在去补充
×
提示
您因"违规操作"
具体请查看互助需知
我知道了
×
提示
确定
请完成安全验证×
copy
已复制链接
快去分享给好友吧!
我知道了
右上角分享
点击右上角分享
0
联系我们:info@booksci.cn Book学术提供免费学术资源搜索服务,方便国内外学者检索中英文文献。致力于提供最便捷和优质的服务体验。 Copyright © 2023 布克学术 All rights reserved.
京ICP备2023020795号-1
ghs 京公网安备 11010802042870号
Book学术文献互助
Book学术文献互助群
群 号:604180095
Book学术官方微信