Management of HER2-positive and microsatellite instability-high advanced gastric cancer: a case report.

IF 0.5 Q4 ONCOLOGY
International Cancer Conference Journal Pub Date : 2024-08-02 eCollection Date: 2024-10-01 DOI:10.1007/s13691-024-00707-0
Taichi Tamura, Yusuke Kanemasa, Shohei Nakamura, Toshihiro Okuya, Yu Yagi, Shinichiro Matsuda, Mitsutaka Murata, Kazuya Endo, Kentaro Hara, Hiroko Okinaga, Shin-Ichiro Horiguchi, Yasuji Seyama, Haruhiko Cho, Tatsu Shimoyama
{"title":"Management of HER2-positive and microsatellite instability-high advanced gastric cancer: a case report.","authors":"Taichi Tamura, Yusuke Kanemasa, Shohei Nakamura, Toshihiro Okuya, Yu Yagi, Shinichiro Matsuda, Mitsutaka Murata, Kazuya Endo, Kentaro Hara, Hiroko Okinaga, Shin-Ichiro Horiguchi, Yasuji Seyama, Haruhiko Cho, Tatsu Shimoyama","doi":"10.1007/s13691-024-00707-0","DOIUrl":null,"url":null,"abstract":"<p><p>Chemotherapy for advanced gastric cancer has progressed significantly in the past few decades. Biomarker-specific drugs, including anti-human epidermal growth factor receptor 2 (HER2) drugs for HER2-positive patients and immune checkpoint inhibitors for those with microsatellite instability-high (MSI-H), have become common. However, patients who are positive for HER2 and have MSI-H are extremely rare, and there are no established treatments for these patients. We present the case of a 75-year-old, male patient with gastric cancer with lymph node metastases and liver infiltration. Biomarker analysis revealed HER2 3 + , loss of MLH1, and MSI-H. After three cycles of S-1, oxaliplatin, and trastuzumab, the primary tumor and metastases shrank markedly. He subsequently underwent gastrectomy and hepatectomy as conversion surgery, achieving a pathologically complete response. He has been recurrence-free for seven months postoperatively. The present case demonstrated the efficacy of trastuzumab-containing chemotherapy followed by conversion surgery in a patient with HER2-positive, MSI-H, advanced gastric cancer.</p>","PeriodicalId":13703,"journal":{"name":"International Cancer Conference Journal","volume":"13 4","pages":"342-347"},"PeriodicalIF":0.5000,"publicationDate":"2024-08-02","publicationTypes":"Journal Article","fieldsOfStudy":null,"isOpenAccess":false,"openAccessPdf":"https://www.ncbi.nlm.nih.gov/pmc/articles/PMC11464906/pdf/","citationCount":"0","resultStr":null,"platform":"Semanticscholar","paperid":null,"PeriodicalName":"International Cancer Conference Journal","FirstCategoryId":"1085","ListUrlMain":"https://doi.org/10.1007/s13691-024-00707-0","RegionNum":0,"RegionCategory":null,"ArticlePicture":[],"TitleCN":null,"AbstractTextCN":null,"PMCID":null,"EPubDate":"2024/10/1 0:00:00","PubModel":"eCollection","JCR":"Q4","JCRName":"ONCOLOGY","Score":null,"Total":0}
引用次数: 0

Abstract

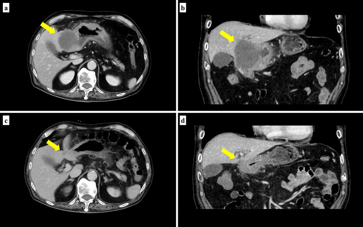
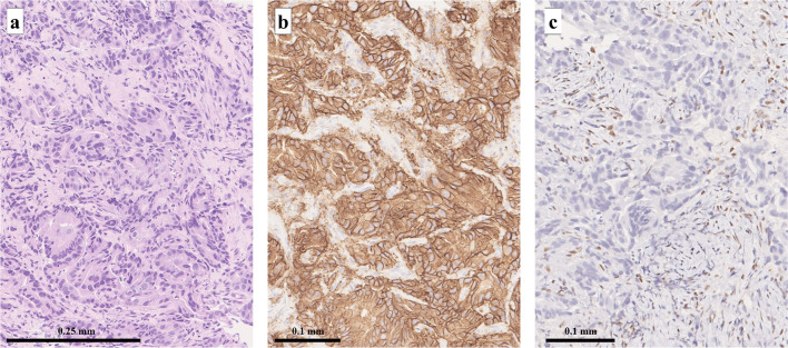
Chemotherapy for advanced gastric cancer has progressed significantly in the past few decades. Biomarker-specific drugs, including anti-human epidermal growth factor receptor 2 (HER2) drugs for HER2-positive patients and immune checkpoint inhibitors for those with microsatellite instability-high (MSI-H), have become common. However, patients who are positive for HER2 and have MSI-H are extremely rare, and there are no established treatments for these patients. We present the case of a 75-year-old, male patient with gastric cancer with lymph node metastases and liver infiltration. Biomarker analysis revealed HER2 3 + , loss of MLH1, and MSI-H. After three cycles of S-1, oxaliplatin, and trastuzumab, the primary tumor and metastases shrank markedly. He subsequently underwent gastrectomy and hepatectomy as conversion surgery, achieving a pathologically complete response. He has been recurrence-free for seven months postoperatively. The present case demonstrated the efficacy of trastuzumab-containing chemotherapy followed by conversion surgery in a patient with HER2-positive, MSI-H, advanced gastric cancer.

Abstract Image

Abstract Image

Abstract Image

HER2阳性、微卫星不稳定性高的晚期胃癌的治疗:病例报告。
在过去几十年中,晚期胃癌化疗取得了重大进展。生物标志物特异性药物,包括针对HER2阳性患者的抗人表皮生长因子受体2(HER2)药物和针对微卫星不稳定性高(MSI-H)患者的免疫检查点抑制剂,已成为常见药物。然而,HER2 阳性并伴有 MSI-H 的患者极为罕见,目前还没有针对这些患者的成熟治疗方法。我们报告了一例 75 岁男性胃癌患者的病例,患者伴有淋巴结转移和肝脏浸润。生物标志物分析显示患者患有 HER2 3 +、MLH1 缺失和 MSI-H。经过三个周期的 S-1、奥沙利铂和曲妥珠单抗治疗后,原发肿瘤和转移灶明显缩小。随后,他接受了胃切除术和肝切除术作为转换手术,获得了病理完全反应。术后七个月无复发。本病例证明了含曲妥珠单抗的化疗和转化手术对HER2阳性、MSI-H型晚期胃癌患者的疗效。
本文章由计算机程序翻译,如有差异,请以英文原文为准。
求助全文
约1分钟内获得全文 求助全文
来源期刊
自引率
14.30%
发文量
57
期刊介绍: This online-only journal publishes original case reports on all types of cancer. In particular, we welcome not only case reports of educational value in the diagnosis and treatment of cancers, but also reports on molecularly analyzed cancer cases, including gene mutations, gene fusions, gene expression, and changes in copy number, regardless of their known clinical significance. Assessing the molecular analysis of a tumor usually requires a “cancer conference” in which experts from various fields discuss it. Even if the authors and their respective “cancer conference” were unable to determine the clinical significance of molecular changes at the time of submission and publication, their data may provide evidence that will help the scientific community develop precision medicine solutions in the future. We welcome case reports with reviews of the literature on similar cases, as they are more useful and valuable to readers than are reports of rare cases. International Cancer Conference Journal is the official publication of the Japan Society of Clinical Oncology (JSCO). - Presents an online-only collection of original case reports on all types of cancer - In particular, welcomes molecularly analyzed cancer cases - The Official Publication of the Japan Society of Clinical Oncology (JSCO)
×
引用
GB/T 7714-2015
复制
MLA
复制
APA
复制
导出至
BibTeX EndNote RefMan NoteFirst NoteExpress
×
提示
您的信息不完整,为了账户安全,请先补充。
现在去补充
×
提示
您因"违规操作"
具体请查看互助需知
我知道了
×
提示
确定
请完成安全验证×
copy
已复制链接
快去分享给好友吧!
我知道了
右上角分享
点击右上角分享
0
联系我们:info@booksci.cn Book学术提供免费学术资源搜索服务,方便国内外学者检索中英文文献。致力于提供最便捷和优质的服务体验。 Copyright © 2023 布克学术 All rights reserved.
京ICP备2023020795号-1
ghs 京公网安备 11010802042870号
Book学术文献互助
Book学术文献互助群
群 号:604180095
Book学术官方微信