In Vitro Investigation of HIF-1α as a Therapeutic Target for Thyroid-Associated Ophthalmopathy.

IF 4.2 3区 医学 Q2 ENDOCRINOLOGY & METABOLISM
Endocrinology and Metabolism Pub Date : 2024-10-01 Epub Date: 2024-10-16 DOI:10.3803/EnM.2024.1952
Jeongmin Lee, Jinsoo Lee, Hansang Baek, Dong-Jun Lim, Seong-Beom Lee, Jung-Min Lee, Sang-Ah Jang, Moo Il Kang, Suk-Woo Yang, Min-Hee Kim
{"title":"In Vitro Investigation of HIF-1α as a Therapeutic Target for Thyroid-Associated Ophthalmopathy.","authors":"Jeongmin Lee, Jinsoo Lee, Hansang Baek, Dong-Jun Lim, Seong-Beom Lee, Jung-Min Lee, Sang-Ah Jang, Moo Il Kang, Suk-Woo Yang, Min-Hee Kim","doi":"10.3803/EnM.2024.1952","DOIUrl":null,"url":null,"abstract":"<p><strong>Backgruound: </strong>Thyroid-associated ophthalmopathy (TAO) involves tissue expansion and inflammation, potentially causing a hypoxic microenvironment. Hypoxia-inducible factor (HIF)-1α is crucial in fibrosis and adipogenesis, which are observed in TAO progression. We investigated the effects of hypoxia on orbital fibroblasts (OFs) in TAO, focusing on the role of HIF-1α in TAO progression.</p><p><strong>Methods: </strong>OFs were isolated from TAO and non-TAO patients (as controls). In addition to HIF-1α, adipogenic differentiation markers including peroxisome proliferator-activated receptor γ (PPARγ) and CCAAT/enhancer binding protein (CEBP) were measured by Western blot, and phenotype changes were evaluated by Oil Red O staining under both normoxia and hypoxia. To elucidate the effect of HIF-1α inhibition, protein expression changes after HIF-1α inhibitor treatment were evaluated under normoxia and hypoxia.</p><p><strong>Results: </strong>TAO OFs exhibited significantly higher HIF-1α expression than non-TAO OFs, and the difference was more distinct under hypoxia than under normoxia. Oil Red O staining showed that adipogenic differentiation of TAO OFs was prominent under hypoxia. Hypoxic conditions increased the expression of adipogenic markers, namely PPARγ and CEBP, as well as HIF-1α in TAO OFs. Interleukin 6 levels also increased in response to hypoxia. The effect of hypoxia on adipogenesis was reduced at the protein level after HIF-1α inhibitor treatment, and this inhibitory effect was sustained even with IGF-1 stimulation in addition to hypoxia.</p><p><strong>Conclusion: </strong>Hypoxia induces tissue remodeling in TAO by stimulating adipogenesis through HIF-1α activation. These data could provide insights into new treatment strategies and the mechanisms of adipose tissue remodeling in TAO.</p>","PeriodicalId":11636,"journal":{"name":"Endocrinology and Metabolism","volume":" ","pages":"767-776"},"PeriodicalIF":4.2000,"publicationDate":"2024-10-01","publicationTypes":"Journal Article","fieldsOfStudy":null,"isOpenAccess":false,"openAccessPdf":"https://www.ncbi.nlm.nih.gov/pmc/articles/PMC11525702/pdf/","citationCount":"0","resultStr":null,"platform":"Semanticscholar","paperid":null,"PeriodicalName":"Endocrinology and Metabolism","FirstCategoryId":"3","ListUrlMain":"https://doi.org/10.3803/EnM.2024.1952","RegionNum":3,"RegionCategory":"医学","ArticlePicture":[],"TitleCN":null,"AbstractTextCN":null,"PMCID":null,"EPubDate":"2024/10/16 0:00:00","PubModel":"Epub","JCR":"Q2","JCRName":"ENDOCRINOLOGY & METABOLISM","Score":null,"Total":0}
引用次数: 0

Abstract

Backgruound: Thyroid-associated ophthalmopathy (TAO) involves tissue expansion and inflammation, potentially causing a hypoxic microenvironment. Hypoxia-inducible factor (HIF)-1α is crucial in fibrosis and adipogenesis, which are observed in TAO progression. We investigated the effects of hypoxia on orbital fibroblasts (OFs) in TAO, focusing on the role of HIF-1α in TAO progression.

Methods: OFs were isolated from TAO and non-TAO patients (as controls). In addition to HIF-1α, adipogenic differentiation markers including peroxisome proliferator-activated receptor γ (PPARγ) and CCAAT/enhancer binding protein (CEBP) were measured by Western blot, and phenotype changes were evaluated by Oil Red O staining under both normoxia and hypoxia. To elucidate the effect of HIF-1α inhibition, protein expression changes after HIF-1α inhibitor treatment were evaluated under normoxia and hypoxia.

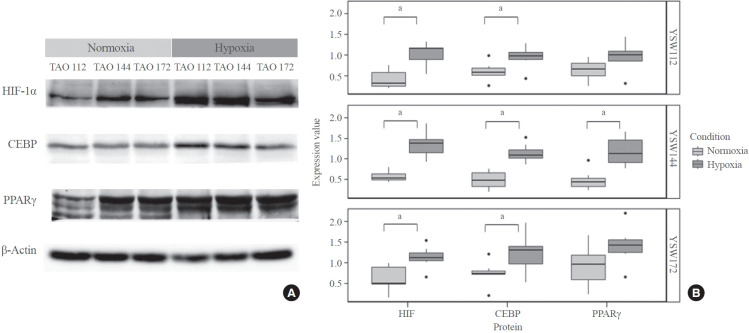
Results: TAO OFs exhibited significantly higher HIF-1α expression than non-TAO OFs, and the difference was more distinct under hypoxia than under normoxia. Oil Red O staining showed that adipogenic differentiation of TAO OFs was prominent under hypoxia. Hypoxic conditions increased the expression of adipogenic markers, namely PPARγ and CEBP, as well as HIF-1α in TAO OFs. Interleukin 6 levels also increased in response to hypoxia. The effect of hypoxia on adipogenesis was reduced at the protein level after HIF-1α inhibitor treatment, and this inhibitory effect was sustained even with IGF-1 stimulation in addition to hypoxia.

Conclusion: Hypoxia induces tissue remodeling in TAO by stimulating adipogenesis through HIF-1α activation. These data could provide insights into new treatment strategies and the mechanisms of adipose tissue remodeling in TAO.

Abstract Image

Abstract Image

Abstract Image

将 HIF-1α 作为甲状腺相关眼病治疗靶点的体外研究
背景:甲状腺相关性眼病(TAO甲状腺相关性眼病(TAO)涉及组织扩张和炎症,可能导致缺氧微环境。缺氧诱导因子(HIF)-1α在纤维化和脂肪生成过程中起着关键作用,而这在TAO进展过程中也可观察到。我们研究了低氧对TAO眼眶成纤维细胞(OFs)的影响,重点关注HIF-1α在TAO进展中的作用:方法:从TAO患者和非TAO患者(对照组)中分离眼眶成纤维细胞。方法:从TAO和非TAO患者(作为对照组)中分离出OFs,除HIF-1α外,还通过Western印迹法测定了过氧化物酶体增殖激活受体γ(PPARγ)和CCAAT/增强子结合蛋白(CEBP)等成脂分化标记物,并通过油红O染色法评估了正常缺氧和低氧条件下OFs的表型变化。为了阐明抑制HIF-1α的效果,在正常氧和缺氧条件下评估了HIF-1α抑制剂处理后蛋白质表达的变化:结果:TAO OFs的HIF-1α表达量明显高于非TAO OFs,在缺氧条件下的差异比在正常缺氧条件下更明显。油红 O 染色显示,缺氧条件下 TAO OFs 的成脂分化明显。缺氧条件下,TAO OFs 中的成脂标志物(即 PPARγ 和 CEBP)以及 HIF-1α 的表达增加。白细胞介素6水平也随缺氧而增加。经HIF-1α抑制剂处理后,缺氧对脂肪生成的影响在蛋白水平上减弱,即使在缺氧的同时刺激IGF-1,这种抑制作用仍能持续:结论:缺氧通过激活HIF-1α刺激脂肪生成,诱导TAO组织重塑。这些数据可为新的治疗策略和TAO脂肪组织重塑的机制提供启示。
本文章由计算机程序翻译,如有差异,请以英文原文为准。
求助全文
约1分钟内获得全文 求助全文
来源期刊
Endocrinology and Metabolism
Endocrinology and Metabolism Medicine-Endocrinology, Diabetes and Metabolism
CiteScore
6.60
自引率
5.90%
发文量
145
审稿时长
24 weeks
期刊介绍: The aim of this journal is to set high standards of medical care by providing a forum for discussion for basic, clinical, and translational researchers and clinicians on new findings in the fields of endocrinology and metabolism. Endocrinology and Metabolism reports new findings and developments in all aspects of endocrinology and metabolism. The topics covered by this journal include bone and mineral metabolism, cytokines, developmental endocrinology, diagnostic endocrinology, endocrine research, dyslipidemia, endocrine regulation, genetic endocrinology, growth factors, hormone receptors, hormone action and regulation, management of endocrine diseases, clinical trials, epidemiology, molecular endocrinology, neuroendocrinology, neuropeptides, neurotransmitters, obesity, pediatric endocrinology, reproductive endocrinology, signal transduction, the anatomy and physiology of endocrine organs (i.e., the pituitary, thyroid, parathyroid, and adrenal glands, and the gonads), and endocrine diseases (diabetes, nutrition, osteoporosis, etc.).
×
引用
GB/T 7714-2015
复制
MLA
复制
APA
复制
导出至
BibTeX EndNote RefMan NoteFirst NoteExpress
×
提示
您的信息不完整,为了账户安全,请先补充。
现在去补充
×
提示
您因"违规操作"
具体请查看互助需知
我知道了
×
提示
确定
请完成安全验证×
copy
已复制链接
快去分享给好友吧!
我知道了
右上角分享
点击右上角分享
0
联系我们:info@booksci.cn Book学术提供免费学术资源搜索服务,方便国内外学者检索中英文文献。致力于提供最便捷和优质的服务体验。 Copyright © 2023 布克学术 All rights reserved.
京ICP备2023020795号-1
ghs 京公网安备 11010802042870号
Book学术文献互助
Book学术文献互助群
群 号:604180095
Book学术官方微信