Multidisciplinary and personalized approach to the management of mycosis fungoides with chlormethine gel: a collection of clinical experiences.

IF 2.8 Q2 Pharmacology, Toxicology and Pharmaceutics
Drugs in Context Pub Date : 2024-10-10 eCollection Date: 2024-01-01 DOI:10.7573/dic.2024-6-1
Silvia Alberti Violetti, Marco Ardigò, Paolo Fava, Giuseppe Gritti, Erika Morsia, Francesco Onida, Marco Paulli, Alessandro Pileri, Pietro Quaglino, Serena Rupoli, Miriam Teoli, Pamela Vezzoli
{"title":"Multidisciplinary and personalized approach to the management of mycosis fungoides with chlormethine gel: a collection of clinical experiences.","authors":"Silvia Alberti Violetti, Marco Ardigò, Paolo Fava, Giuseppe Gritti, Erika Morsia, Francesco Onida, Marco Paulli, Alessandro Pileri, Pietro Quaglino, Serena Rupoli, Miriam Teoli, Pamela Vezzoli","doi":"10.7573/dic.2024-6-1","DOIUrl":null,"url":null,"abstract":"<p><p>Topical chlormethine (CL) gel formulation was approved by the EMA in 2017 for the treatment of adult patients with mycosis fungoides (MF). To expand the knowledge on the management of MF, this paper provides an overview of clinical practice evidence about the MF diagnostic phase and a collection of clinical experiences to better characterize the use of CL gel in daily practice. Collected cases underline the importance of the concomitant biopsy and clinical evaluation in the diagnostic phase, with the contribution of a multidisciplinary team, and support the use of CL gel as a first-line or adjuvant treatment in selected patients.</p>","PeriodicalId":11362,"journal":{"name":"Drugs in Context","volume":"13 ","pages":""},"PeriodicalIF":2.8000,"publicationDate":"2024-10-10","publicationTypes":"Journal Article","fieldsOfStudy":null,"isOpenAccess":false,"openAccessPdf":"https://www.ncbi.nlm.nih.gov/pmc/articles/PMC11482090/pdf/","citationCount":"0","resultStr":null,"platform":"Semanticscholar","paperid":null,"PeriodicalName":"Drugs in Context","FirstCategoryId":"1085","ListUrlMain":"https://doi.org/10.7573/dic.2024-6-1","RegionNum":0,"RegionCategory":null,"ArticlePicture":[],"TitleCN":null,"AbstractTextCN":null,"PMCID":null,"EPubDate":"2024/1/1 0:00:00","PubModel":"eCollection","JCR":"Q2","JCRName":"Pharmacology, Toxicology and Pharmaceutics","Score":null,"Total":0}
引用次数: 0

Abstract

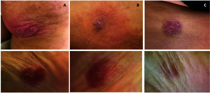
Topical chlormethine (CL) gel formulation was approved by the EMA in 2017 for the treatment of adult patients with mycosis fungoides (MF). To expand the knowledge on the management of MF, this paper provides an overview of clinical practice evidence about the MF diagnostic phase and a collection of clinical experiences to better characterize the use of CL gel in daily practice. Collected cases underline the importance of the concomitant biopsy and clinical evaluation in the diagnostic phase, with the contribution of a multidisciplinary team, and support the use of CL gel as a first-line or adjuvant treatment in selected patients.

Abstract Image

Abstract Image

Abstract Image

用氯甲胺凝胶治疗真菌病的多学科和个性化方法:临床经验集锦。
2017年,欧洲药品管理局(EMA)批准外用氯雷他定(CL)凝胶制剂用于治疗成人真菌病(MF)患者。为了扩大对真菌病治疗的认识,本文概述了真菌病诊断阶段的临床实践证据,并收集了一些临床经验,以更好地描述 CL 凝胶在日常实践中的使用特点。收集到的病例强调了在诊断阶段同时进行活检和临床评估的重要性,以及多学科团队的贡献,并支持将 CL 凝胶用作选定患者的一线治疗或辅助治疗。
本文章由计算机程序翻译,如有差异,请以英文原文为准。
求助全文
约1分钟内获得全文 求助全文
来源期刊
Drugs in Context
Drugs in Context Medicine-Medicine (all)
CiteScore
5.90
自引率
0.00%
发文量
63
审稿时长
9 weeks
期刊介绍: Covers all phases of original research: laboratory, animal and human/clinical studies, health economics and outcomes research, and postmarketing studies. Original research that shows positive or negative results are welcomed. Invited review articles may cover single-drug reviews, drug class reviews, latest advances in drug therapy, therapeutic-area reviews, place-in-therapy reviews, new pathways and classes of drugs. In addition, systematic reviews and meta-analyses are welcomed and may be published as original research if performed per accepted guidelines. Editorials of key topics and issues in drugs and therapeutics are welcomed. The Editor-in-Chief will also consider manuscripts of interest in areas such as technologies that support diagnosis, assessment and treatment. EQUATOR Network reporting guidelines should be followed for each article type. GPP3 Guidelines should be followed for any industry-sponsored manuscripts. Other Editorial sections may include Editorial, Case Report, Conference Report, Letter-to-the-Editor, Educational Section.
×
引用
GB/T 7714-2015
复制
MLA
复制
APA
复制
导出至
BibTeX EndNote RefMan NoteFirst NoteExpress
×
提示
您的信息不完整,为了账户安全,请先补充。
现在去补充
×
提示
您因"违规操作"
具体请查看互助需知
我知道了
×
提示
确定
请完成安全验证×
copy
已复制链接
快去分享给好友吧!
我知道了
右上角分享
点击右上角分享
0
联系我们:info@booksci.cn Book学术提供免费学术资源搜索服务,方便国内外学者检索中英文文献。致力于提供最便捷和优质的服务体验。 Copyright © 2023 布克学术 All rights reserved.
京ICP备2023020795号-1
ghs 京公网安备 11010802042870号
Book学术文献互助
Book学术文献互助群
群 号:604180095
Book学术官方微信