Retained Foreign Body in the Breast Following a Motor Vehicle Collision: A Case Report.

IF 0.5 Q4 SURGERY
Case Reports in Surgery Pub Date : 2024-09-26 eCollection Date: 2024-01-01 DOI:10.1155/2024/5262600
Daniela Bresciani, Jacqueline Tsai
{"title":"Retained Foreign Body in the Breast Following a Motor Vehicle Collision: A Case Report.","authors":"Daniela Bresciani, Jacqueline Tsai","doi":"10.1155/2024/5262600","DOIUrl":null,"url":null,"abstract":"<p><p><b>Background:</b> Unintentionally retained foreign bodies in the breast are a rare phenomenon. Most reported cases are iatrogenically derived from surgeries and procedures. Only a handful of reported cases refer to noniatrogenic causes, including bullets, a sewing needle, and a headscarf pin. However, there are no reports to date that describe a retained foreign body in the breast after a motor vehicle collision or a similar traumatic event or from a decorative steering wheel emblem decal. <b>Case Description:</b> We report the case of a 25-year-old female who was involved in a motor vehicle collision with airbag deployment that led to a left breast retained foreign body, a steering wheel emblem decal. On presentation to the emergency room, she reported left chest pain associated with a puncture wound lateral to the left nipple. Imaging at that time was consistent with a metallic object embedded in the subcutaneous tissue of the left breast. Four months after the accident, the patient continued having daily burning pain in the associated area. As such, surgical excision was recommended, and wire-localized excision of the foreign body was subsequently performed. Grossly, the foreign body appeared as a metallic object with rhinestones, which the patient confirmed was a decorative emblem decal that was on her steering wheel. The postoperative course was uncomplicated, and follow-up examinations revealed resolution of the left breast pain. <b>Conclusions:</b> This case underscores a unique presentation after a common accident-a retained foreign body in the breast after a motor vehicle collision-and its successful surgical intervention leading to a favorable postoperative course. Notably, the National Highway Traffic Safety Administration recently advised drivers against adding decorative emblem decals to their steering wheels for this reason. The case therefore highlights safety precautions that should be taken regarding the addition of this type of accessory.</p>","PeriodicalId":9600,"journal":{"name":"Case Reports in Surgery","volume":"2024 ","pages":"5262600"},"PeriodicalIF":0.5000,"publicationDate":"2024-09-26","publicationTypes":"Journal Article","fieldsOfStudy":null,"isOpenAccess":false,"openAccessPdf":"https://www.ncbi.nlm.nih.gov/pmc/articles/PMC11479772/pdf/","citationCount":"0","resultStr":null,"platform":"Semanticscholar","paperid":null,"PeriodicalName":"Case Reports in Surgery","FirstCategoryId":"1085","ListUrlMain":"https://doi.org/10.1155/2024/5262600","RegionNum":0,"RegionCategory":null,"ArticlePicture":[],"TitleCN":null,"AbstractTextCN":null,"PMCID":null,"EPubDate":"2024/1/1 0:00:00","PubModel":"eCollection","JCR":"Q4","JCRName":"SURGERY","Score":null,"Total":0}
引用次数: 0

Abstract

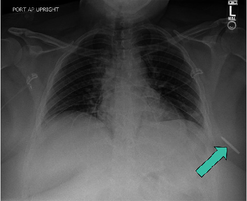
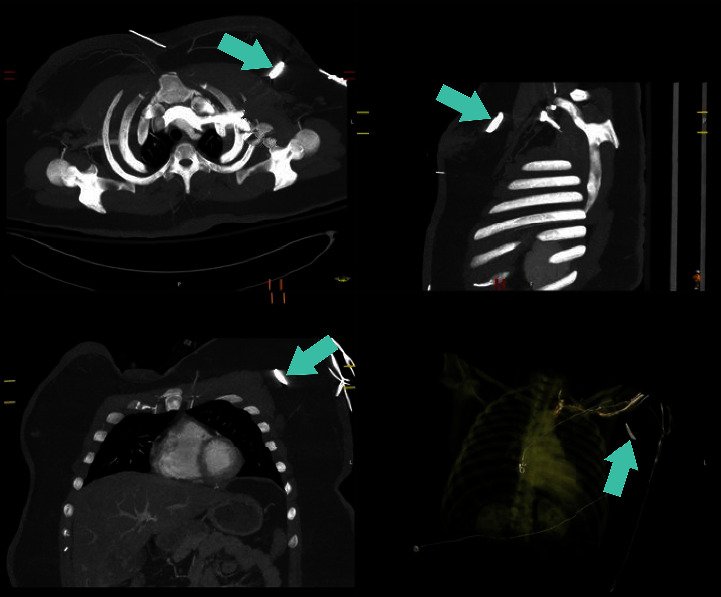
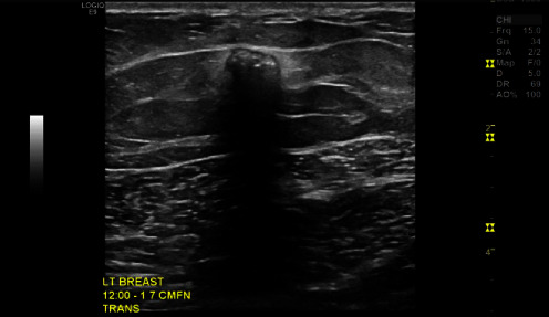
Background: Unintentionally retained foreign bodies in the breast are a rare phenomenon. Most reported cases are iatrogenically derived from surgeries and procedures. Only a handful of reported cases refer to noniatrogenic causes, including bullets, a sewing needle, and a headscarf pin. However, there are no reports to date that describe a retained foreign body in the breast after a motor vehicle collision or a similar traumatic event or from a decorative steering wheel emblem decal. Case Description: We report the case of a 25-year-old female who was involved in a motor vehicle collision with airbag deployment that led to a left breast retained foreign body, a steering wheel emblem decal. On presentation to the emergency room, she reported left chest pain associated with a puncture wound lateral to the left nipple. Imaging at that time was consistent with a metallic object embedded in the subcutaneous tissue of the left breast. Four months after the accident, the patient continued having daily burning pain in the associated area. As such, surgical excision was recommended, and wire-localized excision of the foreign body was subsequently performed. Grossly, the foreign body appeared as a metallic object with rhinestones, which the patient confirmed was a decorative emblem decal that was on her steering wheel. The postoperative course was uncomplicated, and follow-up examinations revealed resolution of the left breast pain. Conclusions: This case underscores a unique presentation after a common accident-a retained foreign body in the breast after a motor vehicle collision-and its successful surgical intervention leading to a favorable postoperative course. Notably, the National Highway Traffic Safety Administration recently advised drivers against adding decorative emblem decals to their steering wheels for this reason. The case therefore highlights safety precautions that should be taken regarding the addition of this type of accessory.

Abstract Image

Abstract Image

Abstract Image

机动车碰撞后乳房异物残留:病例报告。
背景:乳房中无意滞留的异物是一种罕见现象。大多数报道的病例都是由手术和程序引起的。只有极少数报告的病例涉及非医源性原因,包括子弹、缝衣针和头巾针。不过,迄今为止还没有任何报告描述过机动车碰撞或类似创伤事件后或装饰性方向盘徽章贴纸导致异物残留在乳房内的情况。病例描述:我们报告了一例 25 岁女性的病例,她在一次机动车碰撞中因安全气囊展开而导致左侧乳房异物滞留,异物是一个方向盘上的徽章贴花。到急诊室就诊时,她报告左胸痛,左乳头外侧有穿刺伤口。当时的影像学检查结果显示,左侧乳房皮下组织中嵌入了一个金属物体。事故发生四个月后,患者的相关部位每天仍有灼痛感。因此,医生建议进行手术切除,随后对异物进行了线定位切除。从外观上看,异物是一个镶有水钻的金属物体,患者确认这是方向盘上的一个装饰徽章贴纸。术后过程并不复杂,随访检查显示左侧乳房疼痛已经缓解。结论:本病例强调了一起常见事故后的独特表现--机动车碰撞后异物残留在乳房内,以及成功的手术干预和良好的术后疗程。值得注意的是,美国国家公路交通安全管理局(National Highway Traffic Safety Administration)最近建议司机不要在方向盘上添加装饰性徽章贴纸。因此,本案强调了在方向盘上加装此类装饰物时应采取的安全防范措施。
本文章由计算机程序翻译,如有差异,请以英文原文为准。
求助全文
约1分钟内获得全文 求助全文
来源期刊
自引率
0.00%
发文量
60
审稿时长
13 weeks
×
引用
GB/T 7714-2015
复制
MLA
复制
APA
复制
导出至
BibTeX EndNote RefMan NoteFirst NoteExpress
×
提示
您的信息不完整,为了账户安全,请先补充。
现在去补充
×
提示
您因"违规操作"
具体请查看互助需知
我知道了
×
提示
确定
请完成安全验证×
copy
已复制链接
快去分享给好友吧!
我知道了
右上角分享
点击右上角分享
0
联系我们:info@booksci.cn Book学术提供免费学术资源搜索服务,方便国内外学者检索中英文文献。致力于提供最便捷和优质的服务体验。 Copyright © 2023 布克学术 All rights reserved.
京ICP备2023020795号-1
ghs 京公网安备 11010802042870号
Book学术文献互助
Book学术文献互助群
群 号:604180095
Book学术官方微信