Rare Case of a Combined Cholecystocolonic and Cholecystoduodenal Fistula Presenting With Pneumobilia.

IF 0.5 Q4 SURGERY
Case Reports in Surgery Pub Date : 2024-10-04 eCollection Date: 2024-01-01 DOI:10.1155/2024/1084775
Fredrick J Bohanon, Rui-Min D Mao, Taylor P Williams, Danny P Bourgeois, Samuel B Field, Ravi S Radhakrishnan, Francisco J Sanfiel
{"title":"Rare Case of a Combined Cholecystocolonic and Cholecystoduodenal Fistula Presenting With Pneumobilia.","authors":"Fredrick J Bohanon, Rui-Min D Mao, Taylor P Williams, Danny P Bourgeois, Samuel B Field, Ravi S Radhakrishnan, Francisco J Sanfiel","doi":"10.1155/2024/1084775","DOIUrl":null,"url":null,"abstract":"<p><p><b>Background:</b> Cholecystoenteric fistulae are rare complications of gallstone disease, with a reported incidence of 0.5% to 0.9% of cholecystectomies. Cholecystoduodenal is the most common fistula followed by cholecystocolonic fistulae. <b>Summary:</b> We report a case of pneumobilia resulting from a combined cholecystoduodenal and cholecystocolonic fistulae treated with a laparoscopic subtotal cholecystectomy and open repair of the enteric fistulae. <b>Conclusion:</b> Combined cholecystoduodenal and cholecystocolonic fistulae are an extremely rare complication of gallstone disease, and meticulous preoperative planning and operative dexterity are needed to safely manage these unusual fistulae.</p>","PeriodicalId":9600,"journal":{"name":"Case Reports in Surgery","volume":"2024 ","pages":"1084775"},"PeriodicalIF":0.5000,"publicationDate":"2024-10-04","publicationTypes":"Journal Article","fieldsOfStudy":null,"isOpenAccess":false,"openAccessPdf":"https://www.ncbi.nlm.nih.gov/pmc/articles/PMC11469931/pdf/","citationCount":"0","resultStr":null,"platform":"Semanticscholar","paperid":null,"PeriodicalName":"Case Reports in Surgery","FirstCategoryId":"1085","ListUrlMain":"https://doi.org/10.1155/2024/1084775","RegionNum":0,"RegionCategory":null,"ArticlePicture":[],"TitleCN":null,"AbstractTextCN":null,"PMCID":null,"EPubDate":"2024/1/1 0:00:00","PubModel":"eCollection","JCR":"Q4","JCRName":"SURGERY","Score":null,"Total":0}
引用次数: 0

Abstract

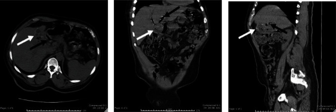
Background: Cholecystoenteric fistulae are rare complications of gallstone disease, with a reported incidence of 0.5% to 0.9% of cholecystectomies. Cholecystoduodenal is the most common fistula followed by cholecystocolonic fistulae. Summary: We report a case of pneumobilia resulting from a combined cholecystoduodenal and cholecystocolonic fistulae treated with a laparoscopic subtotal cholecystectomy and open repair of the enteric fistulae. Conclusion: Combined cholecystoduodenal and cholecystocolonic fistulae are an extremely rare complication of gallstone disease, and meticulous preoperative planning and operative dexterity are needed to safely manage these unusual fistulae.

Abstract Image

Abstract Image

罕见的胆囊结肠瘘和胆囊十二指肠瘘并发气胸病例
背景:胆囊肠瘘是胆石症的罕见并发症,据报道发病率占胆囊切除术的0.5%至0.9%。胆囊十二指肠瘘是最常见的瘘管,其次是胆囊结肠瘘。摘要:我们报告了一例胆囊十二指肠瘘和胆囊结肠瘘并发的气瘘病例,患者接受了腹腔镜胆囊次全切除术并开腹修补了肠瘘。结论是胆囊十二指肠瘘和胆囊结肠瘘并发症是胆石症的一种极为罕见的并发症,要安全地处理这些不寻常的瘘管,需要周密的术前计划和灵巧的手术技巧。
本文章由计算机程序翻译,如有差异,请以英文原文为准。
求助全文
约1分钟内获得全文 求助全文
来源期刊
自引率
0.00%
发文量
60
审稿时长
13 weeks
×
引用
GB/T 7714-2015
复制
MLA
复制
APA
复制
导出至
BibTeX EndNote RefMan NoteFirst NoteExpress
×
提示
您的信息不完整,为了账户安全,请先补充。
现在去补充
×
提示
您因"违规操作"
具体请查看互助需知
我知道了
×
提示
确定
请完成安全验证×
copy
已复制链接
快去分享给好友吧!
我知道了
右上角分享
点击右上角分享
0
联系我们:info@booksci.cn Book学术提供免费学术资源搜索服务,方便国内外学者检索中英文文献。致力于提供最便捷和优质的服务体验。 Copyright © 2023 布克学术 All rights reserved.
京ICP备2023020795号-1
ghs 京公网安备 11010802042870号
Book学术文献互助
Book学术文献互助群
群 号:604180095
Book学术官方微信