Pasteurellosis in camels in Southern Mongolia: A case report.

Brazilian journal of veterinary medicine Pub Date : 2024-10-07 eCollection Date: 2024-01-01 DOI:10.29374/2527-2179.bjvm000624
Myagmar Erdenechimeg, Gurdorj Soyolmaa, Guofeng Cheng, Tsogtsaikhan Bayarsaikhan, Altangerel Tsogtsaikhan Dursahinhan, Tseveenjav Lundaa, Tserendorj Munkhjargal
{"title":"Pasteurellosis in camels in Southern Mongolia: A case report.","authors":"Myagmar Erdenechimeg, Gurdorj Soyolmaa, Guofeng Cheng, Tsogtsaikhan Bayarsaikhan, Altangerel Tsogtsaikhan Dursahinhan, Tseveenjav Lundaa, Tserendorj Munkhjargal","doi":"10.29374/2527-2179.bjvm000624","DOIUrl":null,"url":null,"abstract":"<p><p>Hemorrhagic septicemia (pasteurellosis) in animals, caused by <i>Pasteurella multocida</i> Trevisan 1887, is a significant but previously undocumented disease in Mongolian camels. <i>Pasteurella multocida</i>, a small Gram-negative coccobacillus, typically exists commensal in the nasopharynx of camels but can cause severe illness under certain environmental stressors. This study reports the first case of cameline hemorrhagic septicemia in Gobi region of Mongolia, specifically in Umnugobi province, where acute septicemia affected 26 camels, resulting in 10 deaths within 24-48 hours. Clinical signs included depression, inappetence, lethargy, increased rectal temperature, and paralysis of the lower lip. Surviving camels responded to treatment with Lactate Ringer solution and antibiotics. Postmortem examinations revealed acute pulmonary congestion and necrotic liver. Molecular diagnostic test, PCR, confirmed the presence of <i>P. multocida</i> with the identification of the <i>KMT1</i> gene. This case underscores the potential for significant economic losses due to hemorrhagic septicemia in camels and highlights the need for early detection and treatment to mitigate its impact. The initial attempt at implementing a vaccination program effectively controlled the potential further outbreak. This study emphasizes the importance of continuous surveillance and preventive measures in managing hemorrhagic septicemia in livestock.</p>","PeriodicalId":72458,"journal":{"name":"Brazilian journal of veterinary medicine","volume":"46 ","pages":"e000624"},"PeriodicalIF":0.0000,"publicationDate":"2024-10-07","publicationTypes":"Journal Article","fieldsOfStudy":null,"isOpenAccess":false,"openAccessPdf":"https://www.ncbi.nlm.nih.gov/pmc/articles/PMC11466242/pdf/","citationCount":"0","resultStr":null,"platform":"Semanticscholar","paperid":null,"PeriodicalName":"Brazilian journal of veterinary medicine","FirstCategoryId":"1085","ListUrlMain":"https://doi.org/10.29374/2527-2179.bjvm000624","RegionNum":0,"RegionCategory":null,"ArticlePicture":[],"TitleCN":null,"AbstractTextCN":null,"PMCID":null,"EPubDate":"2024/1/1 0:00:00","PubModel":"eCollection","JCR":"","JCRName":"","Score":null,"Total":0}
引用次数: 0

Abstract

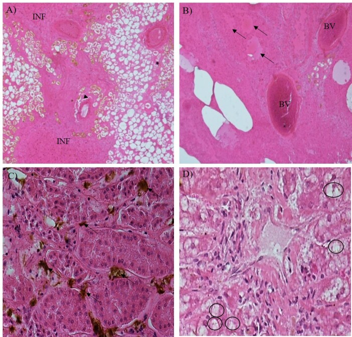
Hemorrhagic septicemia (pasteurellosis) in animals, caused by Pasteurella multocida Trevisan 1887, is a significant but previously undocumented disease in Mongolian camels. Pasteurella multocida, a small Gram-negative coccobacillus, typically exists commensal in the nasopharynx of camels but can cause severe illness under certain environmental stressors. This study reports the first case of cameline hemorrhagic septicemia in Gobi region of Mongolia, specifically in Umnugobi province, where acute septicemia affected 26 camels, resulting in 10 deaths within 24-48 hours. Clinical signs included depression, inappetence, lethargy, increased rectal temperature, and paralysis of the lower lip. Surviving camels responded to treatment with Lactate Ringer solution and antibiotics. Postmortem examinations revealed acute pulmonary congestion and necrotic liver. Molecular diagnostic test, PCR, confirmed the presence of P. multocida with the identification of the KMT1 gene. This case underscores the potential for significant economic losses due to hemorrhagic septicemia in camels and highlights the need for early detection and treatment to mitigate its impact. The initial attempt at implementing a vaccination program effectively controlled the potential further outbreak. This study emphasizes the importance of continuous surveillance and preventive measures in managing hemorrhagic septicemia in livestock.

Abstract Image

Abstract Image

Abstract Image

蒙古南部骆驼的巴氏杆菌病:病例报告
由多杀性巴氏杆菌(Pasteurella multocida Trevisan 1887)引起的动物出血性败血症(巴氏杆菌病)是蒙古骆驼的一种重要疾病,但以前没有记录。多杀性巴氏杆菌是一种小的革兰氏阴性球菌,通常存在于骆驼的鼻咽部,但在某些环境压力下可引起严重疾病。本研究报告了蒙古戈壁地区(特别是乌姆诺戈壁省)的首例骆驼出血性败血症病例,26 头骆驼感染了急性败血症,10 头骆驼在 24-48 小时内死亡。临床症状包括精神萎靡、食欲不振、嗜睡、直肠温度升高和下唇麻痹。存活的骆驼对乳酸林格溶液和抗生素的治疗反应良好。尸检显示骆驼出现急性肺充血和肝脏坏死。分子诊断检测(PCR)通过 KMT1 基因的鉴定证实了多杀性疟原虫的存在。这一病例凸显了骆驼出血性败血症可能造成的重大经济损失,并强调了及早发现和治疗以减轻其影响的必要性。实施疫苗接种计划的初步尝试有效控制了可能的进一步爆发。这项研究强调了持续监测和预防措施在管理牲畜出血性败血症方面的重要性。
本文章由计算机程序翻译,如有差异,请以英文原文为准。
求助全文
约1分钟内获得全文 求助全文
来源期刊
自引率
0.00%
发文量
0
×
引用
GB/T 7714-2015
复制
MLA
复制
APA
复制
导出至
BibTeX EndNote RefMan NoteFirst NoteExpress
×
提示
您的信息不完整,为了账户安全,请先补充。
现在去补充
×
提示
您因"违规操作"
具体请查看互助需知
我知道了
×
提示
确定
请完成安全验证×
copy
已复制链接
快去分享给好友吧!
我知道了
右上角分享
点击右上角分享
0
联系我们:info@booksci.cn Book学术提供免费学术资源搜索服务,方便国内外学者检索中英文文献。致力于提供最便捷和优质的服务体验。 Copyright © 2023 布克学术 All rights reserved.
京ICP备2023020795号-1
ghs 京公网安备 11010802042870号
Book学术文献互助
Book学术文献互助群
群 号:604180095
Book学术官方微信