The Great Role of Ventilator Parameters in Diagnosis of Right Main Bronchus Rupture Due to Blunt Chest Trauma.

Ramin Tajvidi, Golnaz Sabetian, Hossein Abdolrahimzadeh Fard
{"title":"The Great Role of Ventilator Parameters in Diagnosis of Right Main Bronchus Rupture Due to Blunt Chest Trauma.","authors":"Ramin Tajvidi, Golnaz Sabetian, Hossein Abdolrahimzadeh Fard","doi":"10.30476/beat.2024.100572.1478","DOIUrl":null,"url":null,"abstract":"<p><p>Bronchial rupture following major blunt chest trauma should be suspected in any case of massive and persistent air leak through the intercostal drain tube. Chest radiographs and chest computed tomography scans (CT scans) are highly suggestive of this extremely rare tracheobronchial injury. The present study reported a patient who was a 15-year-old boy. He was a case of a motor-car accident and was brought to the emergency room (ER) of Rajaie Hospital ( Shiraz, Iran) due to dyspnea and chest pain. The physical examination revealed a few crash injuries on his upper extremities, as well as subcutaneous emphysema in his neck. The chest X-ray revealed a right clavicular fracture, multiple rib fractures, a right pneumothorax (but no complete collapse or fallen lung), and also pneumo-mediastinum and subcutaneous emphysema. The chest CT revealed severe pulmonary contusion, severe right-sided pneumothorax, significant pneumo-mediastinum, subcutaneous emphysema, multiple right-side rib fractures, and mild displacement of the right main bronchus. Furthermore, no definitive signs of bronchial rupture were detected. Using a mechanical ventilator, the following parameters were revealed. The maximum pressure (Pmax)=7cm, H<sub>2</sub>o (was very low), plateau pressure (P. Plateau), and expiratory tidal volume (TV) were not detected due to insufficient amounts. Additionally, increasing TV did not change those values. Bronchial rupture is one of the most important and serious differential diagnoses in forceful chest traumas when the mechanical ventilator reveals low Pmax, very low P.platue, and expiratory TV, with no change in those values with increasing TV.</p>","PeriodicalId":9333,"journal":{"name":"Bulletin of emergency and trauma","volume":"12 3","pages":"142-145"},"PeriodicalIF":0.0000,"publicationDate":"2024-01-01","publicationTypes":"Journal Article","fieldsOfStudy":null,"isOpenAccess":false,"openAccessPdf":"https://www.ncbi.nlm.nih.gov/pmc/articles/PMC11462115/pdf/","citationCount":"0","resultStr":null,"platform":"Semanticscholar","paperid":null,"PeriodicalName":"Bulletin of emergency and trauma","FirstCategoryId":"1085","ListUrlMain":"https://doi.org/10.30476/beat.2024.100572.1478","RegionNum":0,"RegionCategory":null,"ArticlePicture":[],"TitleCN":null,"AbstractTextCN":null,"PMCID":null,"EPubDate":"","PubModel":"","JCR":"","JCRName":"","Score":null,"Total":0}
引用次数: 0

Abstract

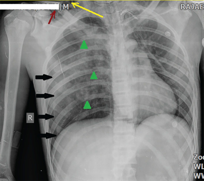
Bronchial rupture following major blunt chest trauma should be suspected in any case of massive and persistent air leak through the intercostal drain tube. Chest radiographs and chest computed tomography scans (CT scans) are highly suggestive of this extremely rare tracheobronchial injury. The present study reported a patient who was a 15-year-old boy. He was a case of a motor-car accident and was brought to the emergency room (ER) of Rajaie Hospital ( Shiraz, Iran) due to dyspnea and chest pain. The physical examination revealed a few crash injuries on his upper extremities, as well as subcutaneous emphysema in his neck. The chest X-ray revealed a right clavicular fracture, multiple rib fractures, a right pneumothorax (but no complete collapse or fallen lung), and also pneumo-mediastinum and subcutaneous emphysema. The chest CT revealed severe pulmonary contusion, severe right-sided pneumothorax, significant pneumo-mediastinum, subcutaneous emphysema, multiple right-side rib fractures, and mild displacement of the right main bronchus. Furthermore, no definitive signs of bronchial rupture were detected. Using a mechanical ventilator, the following parameters were revealed. The maximum pressure (Pmax)=7cm, H2o (was very low), plateau pressure (P. Plateau), and expiratory tidal volume (TV) were not detected due to insufficient amounts. Additionally, increasing TV did not change those values. Bronchial rupture is one of the most important and serious differential diagnoses in forceful chest traumas when the mechanical ventilator reveals low Pmax, very low P.platue, and expiratory TV, with no change in those values with increasing TV.

Abstract Image

Abstract Image

Abstract Image

呼吸机参数在胸部钝伤导致右主支气管破裂诊断中的重要作用
如果肋间引流管出现持续大量漏气,则应怀疑胸部钝伤导致支气管破裂。胸片和胸部计算机断层扫描(CT 扫描)高度提示这种极为罕见的气管支气管损伤。本研究报告的患者是一名 15 岁的男孩。他是一起车祸的受害者,因呼吸困难和胸痛被送到 Rajaie 医院(伊朗设拉子)急诊室。体格检查显示他的上肢有几处撞伤,颈部有皮下气肿。胸部 X 光检查显示右锁骨骨折、多处肋骨骨折、右侧气胸(但没有完全塌陷或肺陷)、纵隔积气和皮下气肿。胸部 CT 显示严重的肺挫伤、严重的右侧气胸、明显的气腹、皮下气肿、多处右侧肋骨骨折以及右主支气管轻度移位。此外,没有发现明确的支气管破裂迹象。通过使用机械呼吸机,发现了以下参数。最大压力(Pmax)=7 厘米、H2o(非常低)、高原压力(P. Plateau)和呼气潮气量(TV)因量不足而未检测到。此外,增加 TV 也不会改变这些值。当机械呼吸机显示出低 Pmax、极低 P.platue 和呼气 TV 时,支气管破裂是胸部外伤中最重要和最严重的鉴别诊断之一。
本文章由计算机程序翻译,如有差异,请以英文原文为准。
求助全文
约1分钟内获得全文 求助全文
来源期刊
自引率
0.00%
发文量
49
审稿时长
12 weeks
期刊介绍: BEAT: Bulletin of Emergency And Trauma is an international, peer-reviewed, quarterly journal coping with original research contributing to the field of emergency medicine and trauma. BEAT is the official journal of the Trauma Research Center (TRC) of Shiraz University of Medical Sciences (SUMS), Hungarian Trauma Society (HTS) and Lusitanian Association for Trauma and Emergency Surgery (ALTEC/LATES) aiming to be a publication of international repute that serves as a medium for dissemination and exchange of scientific knowledge in the emergency medicine and trauma. The aim of BEAT is to publish original research focusing on practicing and training of emergency medicine and trauma to publish peer-reviewed articles of current international interest in the form of original articles, brief communications, reviews, case reports, clinical images, and letters.
×
引用
GB/T 7714-2015
复制
MLA
复制
APA
复制
导出至
BibTeX EndNote RefMan NoteFirst NoteExpress
×
提示
您的信息不完整,为了账户安全,请先补充。
现在去补充
×
提示
您因"违规操作"
具体请查看互助需知
我知道了
×
提示
确定
请完成安全验证×
copy
已复制链接
快去分享给好友吧!
我知道了
右上角分享
点击右上角分享
0
联系我们:info@booksci.cn Book学术提供免费学术资源搜索服务,方便国内外学者检索中英文文献。致力于提供最便捷和优质的服务体验。 Copyright © 2023 布克学术 All rights reserved.
京ICP备2023020795号-1
ghs 京公网安备 11010802042870号
Book学术文献互助
Book学术文献互助群
群 号:604180095
Book学术官方微信