An alternative method in the diagnosis of intrabiliary lesions: Percutaneous endobiliary brush biopsy.

IF 2.1 Q4 GASTROENTEROLOGY & HEPATOLOGY
Hepatology Forum Pub Date : 2024-10-09 eCollection Date: 2024-01-01 DOI:10.14744/hf.2023.2023.0073
Mustafa Ozdemir, Tunahan Dertli, Omer Faruk Sevinc, Onur Taydas, Gurkan Danisan, Omer Faruk Ates, Mehmet Halil Ozturk
{"title":"An alternative method in the diagnosis of intrabiliary lesions: Percutaneous endobiliary brush biopsy.","authors":"Mustafa Ozdemir, Tunahan Dertli, Omer Faruk Sevinc, Onur Taydas, Gurkan Danisan, Omer Faruk Ates, Mehmet Halil Ozturk","doi":"10.14744/hf.2023.2023.0073","DOIUrl":null,"url":null,"abstract":"<p><strong>Background and aim: </strong>Biliary strictures can occur as a result of various benign or malignant processes. The aim of this study is to evaluate the effectiveness and reliability of percutaneous endobiliary brush biopsy in the diagnosis of intrabiliary lesions.</p><p><strong>Materials and methods: </strong>This retrospective, single-center study was conducted between January 2022 and April 2023, involving a total of 16 patients. Of the patients, 10 were male (62.5%), and 6 were female (37.5%). The average age of the patients was 68.1±8. All patients underwent the procedure using an endobiliary biopsy brush under ultrasound and fluoroscopic guidance.</p><p><strong>Results: </strong>Technical success was achieved in all patients (100%). Cell detection was not observed in biopsy samples from 2 patients (12.5%), resulting in a diagnostic success rate of 87.5%. Access was made to the right biliary system in 14 patients (87.5%) and to the left biliary system in 2 patients (12.5%). Biopsy locations included the common bile duct in 12 patients (75%), hepatic hilum in 2 patients (12.5%), and bilioenteric anastomosis line in 2 patients (12.5%). The mean fluoroscopy time was 16.2±7.1 minutes. The average radiation dose was 660±370 mSv. Pathological diagnosis revealed malignancy in 8 patients (50%) and benign findings in 6 patients (37.5%). Liver abscess requiring drainage developed in 2 patients (12.5%).</p><p><strong>Conclusion: </strong>Percutaneous endobiliary brush biopsy performed under imaging guidance is an effective and reliable method for the diagnosis of biliary lesions.</p>","PeriodicalId":29722,"journal":{"name":"Hepatology Forum","volume":"5 4","pages":"167-170"},"PeriodicalIF":2.1000,"publicationDate":"2024-10-09","publicationTypes":"Journal Article","fieldsOfStudy":null,"isOpenAccess":false,"openAccessPdf":"https://www.ncbi.nlm.nih.gov/pmc/articles/PMC11440218/pdf/","citationCount":"0","resultStr":null,"platform":"Semanticscholar","paperid":null,"PeriodicalName":"Hepatology Forum","FirstCategoryId":"1085","ListUrlMain":"https://doi.org/10.14744/hf.2023.2023.0073","RegionNum":0,"RegionCategory":null,"ArticlePicture":[],"TitleCN":null,"AbstractTextCN":null,"PMCID":null,"EPubDate":"2024/1/1 0:00:00","PubModel":"eCollection","JCR":"Q4","JCRName":"GASTROENTEROLOGY & HEPATOLOGY","Score":null,"Total":0}
引用次数: 0

Abstract

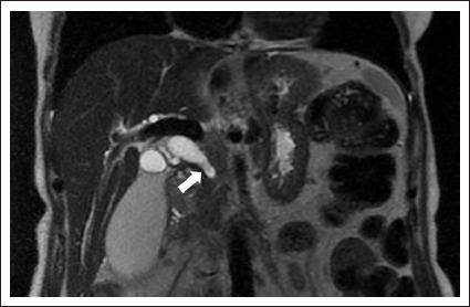
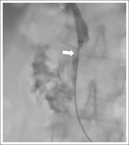
Background and aim: Biliary strictures can occur as a result of various benign or malignant processes. The aim of this study is to evaluate the effectiveness and reliability of percutaneous endobiliary brush biopsy in the diagnosis of intrabiliary lesions.

Materials and methods: This retrospective, single-center study was conducted between January 2022 and April 2023, involving a total of 16 patients. Of the patients, 10 were male (62.5%), and 6 were female (37.5%). The average age of the patients was 68.1±8. All patients underwent the procedure using an endobiliary biopsy brush under ultrasound and fluoroscopic guidance.

Results: Technical success was achieved in all patients (100%). Cell detection was not observed in biopsy samples from 2 patients (12.5%), resulting in a diagnostic success rate of 87.5%. Access was made to the right biliary system in 14 patients (87.5%) and to the left biliary system in 2 patients (12.5%). Biopsy locations included the common bile duct in 12 patients (75%), hepatic hilum in 2 patients (12.5%), and bilioenteric anastomosis line in 2 patients (12.5%). The mean fluoroscopy time was 16.2±7.1 minutes. The average radiation dose was 660±370 mSv. Pathological diagnosis revealed malignancy in 8 patients (50%) and benign findings in 6 patients (37.5%). Liver abscess requiring drainage developed in 2 patients (12.5%).

Conclusion: Percutaneous endobiliary brush biopsy performed under imaging guidance is an effective and reliable method for the diagnosis of biliary lesions.

Abstract Image

Abstract Image

Abstract Image

诊断胆道内病变的另一种方法:经皮胆管刷状活检。
背景和目的:各种良性或恶性过程均可导致胆道狭窄。本研究旨在评估经皮胆道内刷状活检术在诊断胆道内病变中的有效性和可靠性:这项回顾性单中心研究于 2022 年 1 月至 2023 年 4 月间进行,共涉及 16 名患者。其中男性 10 例(62.5%),女性 6 例(37.5%)。所有患者均在超声和透视引导下使用胆道内活检刷进行了手术:结果:所有患者都取得了技术成功(100%)。2例患者(12.5%)的活检样本未发现细胞,诊断成功率为87.5%。14名患者(87.5%)的活检进入了右胆管系统,2名患者(12.5%)的活检进入了左胆管系统。活检位置包括 12 名患者(75%)的胆总管、2 名患者(12.5%)的肝门和 2 名患者(12.5%)的胆肠吻合线。平均透视时间为(16.2±7.1)分钟。平均辐射剂量为 660±370 mSv。病理诊断显示,8 名患者(50%)为恶性,6 名患者(37.5%)为良性。2例患者(12.5%)出现需要引流的肝脓肿:结论:在影像学引导下进行经皮胆管刷状活检是诊断胆道病变的一种有效而可靠的方法。
本文章由计算机程序翻译,如有差异,请以英文原文为准。
求助全文
约1分钟内获得全文 求助全文
来源期刊
CiteScore
1.90
自引率
12.50%
发文量
0
×
引用
GB/T 7714-2015
复制
MLA
复制
APA
复制
导出至
BibTeX EndNote RefMan NoteFirst NoteExpress
×
提示
您的信息不完整,为了账户安全,请先补充。
现在去补充
×
提示
您因"违规操作"
具体请查看互助需知
我知道了
×
提示
确定
请完成安全验证×
copy
已复制链接
快去分享给好友吧!
我知道了
右上角分享
点击右上角分享
0
联系我们:info@booksci.cn Book学术提供免费学术资源搜索服务,方便国内外学者检索中英文文献。致力于提供最便捷和优质的服务体验。 Copyright © 2023 布克学术 All rights reserved.
京ICP备2023020795号-1
ghs 京公网安备 11010802042870号
Book学术文献互助
Book学术文献互助群
群 号:604180095
Book学术官方微信