A Rare Variant of Hashimoto's Thyroiditis.

Current health sciences journal Pub Date : 2024-04-01 Epub Date: 2024-06-30 DOI:10.12865/CHSJ.50.02.21
Ana Laura Manda, Ana Laura Dima, Vlad Dumitru Baleanu, Danut Vasile, Daniel Iulian Voiculescu
{"title":"A Rare Variant of Hashimoto's Thyroiditis.","authors":"Ana Laura Manda, Ana Laura Dima, Vlad Dumitru Baleanu, Danut Vasile, Daniel Iulian Voiculescu","doi":"10.12865/CHSJ.50.02.21","DOIUrl":null,"url":null,"abstract":"<p><p>Hashimoto's thyroiditis (HT) is the most frequently diagnosed thyroid disorder worldwide, characterized by hypothyroidy and thyroid autoimmunity. The fibrous variant accounts for a small number of cases. A 48 years old woman, with 20-years history of Hashimoto thyroiditis presented for a large recent goiter with compressive symptoms, in hypothyroidic state and with very high thyroid antibodies antithyroglobulin and antithyroperoxidase. Ultrasound and fine needle aspiration biopsy showed an enlargement of the thyroid gland with nonhomogeneous structure and trachea shifting posteriorly, Bethesda III. CT scan showed similar aspect of the thyroid gland with compression on the trachea and the left common jugular vein. Surgery was performed due to suspicion of malignancy and compression symptoms. Thyroidectomy was uneventful, but the patient developed hypoparathyroid symptoms postoperatively that resolved with high dose calcium, magnesium and vitamin D supplementation. The pathology report was consistent of Hashimoto's thyroiditis fibrous variant. This case report presents a rare case of the fibrous variant of Hashimoto's thyroiditis that is rarely taken under consideration in the preoperative setting as diagnosis is hard to establish with the usual algorithm of imaging and FNA biopsy. The multidisciplinary management in pre-and postoperative approach and evaluation are of utmost importance for successful management of such case.</p>","PeriodicalId":93963,"journal":{"name":"Current health sciences journal","volume":"50 2","pages":"332-336"},"PeriodicalIF":0.0000,"publicationDate":"2024-04-01","publicationTypes":"Journal Article","fieldsOfStudy":null,"isOpenAccess":false,"openAccessPdf":"https://www.ncbi.nlm.nih.gov/pmc/articles/PMC11459220/pdf/","citationCount":"0","resultStr":null,"platform":"Semanticscholar","paperid":null,"PeriodicalName":"Current health sciences journal","FirstCategoryId":"1085","ListUrlMain":"https://doi.org/10.12865/CHSJ.50.02.21","RegionNum":0,"RegionCategory":null,"ArticlePicture":[],"TitleCN":null,"AbstractTextCN":null,"PMCID":null,"EPubDate":"2024/6/30 0:00:00","PubModel":"Epub","JCR":"","JCRName":"","Score":null,"Total":0}
引用次数: 0

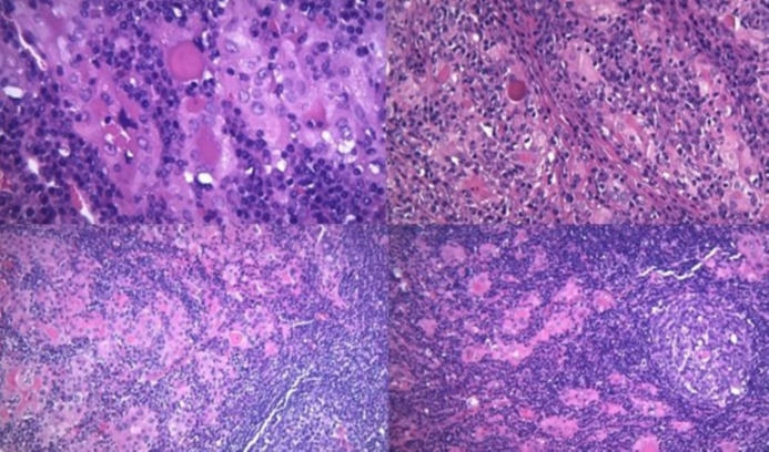
Abstract

Hashimoto's thyroiditis (HT) is the most frequently diagnosed thyroid disorder worldwide, characterized by hypothyroidy and thyroid autoimmunity. The fibrous variant accounts for a small number of cases. A 48 years old woman, with 20-years history of Hashimoto thyroiditis presented for a large recent goiter with compressive symptoms, in hypothyroidic state and with very high thyroid antibodies antithyroglobulin and antithyroperoxidase. Ultrasound and fine needle aspiration biopsy showed an enlargement of the thyroid gland with nonhomogeneous structure and trachea shifting posteriorly, Bethesda III. CT scan showed similar aspect of the thyroid gland with compression on the trachea and the left common jugular vein. Surgery was performed due to suspicion of malignancy and compression symptoms. Thyroidectomy was uneventful, but the patient developed hypoparathyroid symptoms postoperatively that resolved with high dose calcium, magnesium and vitamin D supplementation. The pathology report was consistent of Hashimoto's thyroiditis fibrous variant. This case report presents a rare case of the fibrous variant of Hashimoto's thyroiditis that is rarely taken under consideration in the preoperative setting as diagnosis is hard to establish with the usual algorithm of imaging and FNA biopsy. The multidisciplinary management in pre-and postoperative approach and evaluation are of utmost importance for successful management of such case.

Abstract Image

Abstract Image

Abstract Image

桥本氏甲状腺炎的罕见变种
桥本氏甲状腺炎(HT)是全球最常见的甲状腺疾病,以甲状腺功能减退和甲状腺自身免疫为特征。纤维变异型仅占少数病例。一名 48 岁的女性患者有 20 年桥本氏甲状腺炎病史,近期出现巨大甲状腺肿并伴有压迫症状,处于甲减状态,抗甲状腺球蛋白和抗过氧化物酶的甲状腺抗体非常高。超声波和细针穿刺活检显示甲状腺肿大,结构不均匀,气管后移,Bethesda III。CT 扫描显示甲状腺有类似情况,并压迫气管和左侧颈总静脉。由于怀疑是恶性肿瘤并伴有压迫症状,患者接受了手术治疗。甲状腺切除术并无大碍,但患者术后出现了甲状旁腺功能减退症状,补充大剂量钙、镁和维生素D后症状缓解。病理报告与桥本氏甲状腺炎纤维变异型一致。本病例报告介绍了一例罕见的桥本氏甲状腺炎纤维变异型病例,该病例在术前很少被考虑,因为常规的影像学检查和 FNA 活检很难确定诊断。术前和术后的多学科管理和评估对成功治疗此类病例至关重要。
本文章由计算机程序翻译,如有差异,请以英文原文为准。
求助全文
约1分钟内获得全文 求助全文
来源期刊
自引率
0.00%
发文量
0
×
引用
GB/T 7714-2015
复制
MLA
复制
APA
复制
导出至
BibTeX EndNote RefMan NoteFirst NoteExpress
×
提示
您的信息不完整,为了账户安全,请先补充。
现在去补充
×
提示
您因"违规操作"
具体请查看互助需知
我知道了
×
提示
确定
请完成安全验证×
copy
已复制链接
快去分享给好友吧!
我知道了
右上角分享
点击右上角分享
0
联系我们:info@booksci.cn Book学术提供免费学术资源搜索服务,方便国内外学者检索中英文文献。致力于提供最便捷和优质的服务体验。 Copyright © 2023 布克学术 All rights reserved.
京ICP备2023020795号-1
ghs 京公网安备 11010802042870号
Book学术文献互助
Book学术文献互助群
群 号:604180095
Book学术官方微信