Effects of ozone therapy applied topically, by bagging, or both on the healing of clean wounds induced in rat's skin.

IF 1.3
Acta cirurgica brasileira Pub Date : 2024-10-07 eCollection Date: 2024-01-01 DOI:10.1590/acb397024
Bárbara Di Martino Frezza, Sheila Canevese Rahal, Ivan Felismino Charas Dos Santos, Bruna Martins da Silva, José Ivaldo de Siqueira Silva Junior, Gustavo Manea Ferreira, Michel de Campos Vettorato, Jéssica Leite Fogaça, Miriam Harumi Tsunemi, Carlos Eduardo Fonseca-Alves, Claudia Helena Pellizzon, Vinicius Dos Santos Rosa
{"title":"Effects of ozone therapy applied topically, by bagging, or both on the healing of clean wounds induced in rat's skin.","authors":"Bárbara Di Martino Frezza, Sheila Canevese Rahal, Ivan Felismino Charas Dos Santos, Bruna Martins da Silva, José Ivaldo de Siqueira Silva Junior, Gustavo Manea Ferreira, Michel de Campos Vettorato, Jéssica Leite Fogaça, Miriam Harumi Tsunemi, Carlos Eduardo Fonseca-Alves, Claudia Helena Pellizzon, Vinicius Dos Santos Rosa","doi":"10.1590/acb397024","DOIUrl":null,"url":null,"abstract":"<p><strong>Purpose: </strong>This study aimed to evaluate the effects of ozone therapy applied topically and/or by bagging on the healing of clean wounds induced in rat's skin.</p><p><strong>Methods: </strong>One hundred and twenty male rats of about 16 weeks old was divided into five groups: G1) saline solution (0.9%); G2) sunflower oil; G3) ozonated sunflower oil; G4) ozone bagging; G5) association of ozonated sunflower oil and ozone bagging. The wounds were evaluated through macroscopic, morphometric, histopathologic, and tensile strength analyses.</p><p><strong>Results: </strong>Analysis among groups showed a lower percentage of wound contraction in G1 compared to G4 only in M7D. The tensile strength of the wounds showed differences among groups in the seventh (M7D) and the 14th (M14D) postoperative day, and among time points in G1 (M14D > M7D). The elongation of the wounds showed differences in G3 (M7D > M14D). Histological evaluation of the wounds showed significant change in bleeding, mixed to mononuclear infiltrate, congestion, and tissue disorganization for tissue organization between groups and time points.</p><p><strong>Conclusions: </strong>Ozone therapy applied topically and/or by bagging was not deleterious to the healing of clean wounds induced in rat's skin, but ozone bagging showed the best contribution to the healing process.</p>","PeriodicalId":93850,"journal":{"name":"Acta cirurgica brasileira","volume":"39 ","pages":"e397024"},"PeriodicalIF":1.3000,"publicationDate":"2024-10-07","publicationTypes":"Journal Article","fieldsOfStudy":null,"isOpenAccess":false,"openAccessPdf":"https://www.ncbi.nlm.nih.gov/pmc/articles/PMC11457957/pdf/","citationCount":"0","resultStr":null,"platform":"Semanticscholar","paperid":null,"PeriodicalName":"Acta cirurgica brasileira","FirstCategoryId":"1085","ListUrlMain":"https://doi.org/10.1590/acb397024","RegionNum":0,"RegionCategory":null,"ArticlePicture":[],"TitleCN":null,"AbstractTextCN":null,"PMCID":null,"EPubDate":"2024/1/1 0:00:00","PubModel":"eCollection","JCR":"","JCRName":"","Score":null,"Total":0}
引用次数: 0

Abstract

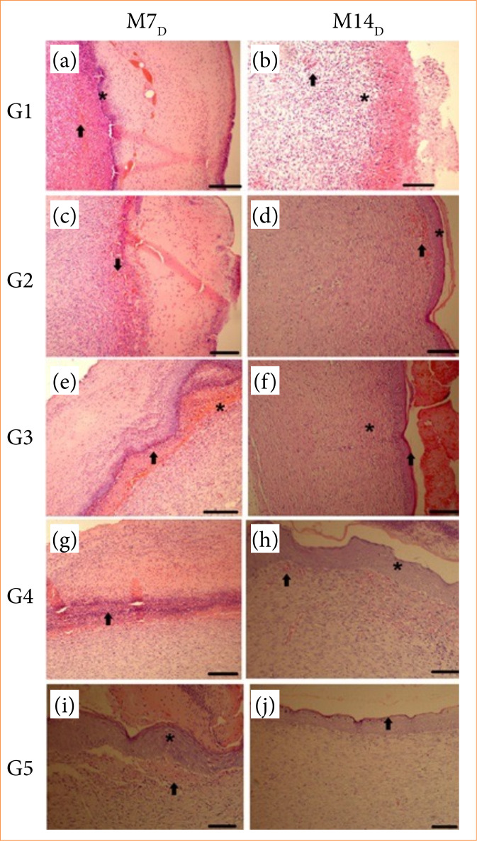
Purpose: This study aimed to evaluate the effects of ozone therapy applied topically and/or by bagging on the healing of clean wounds induced in rat's skin.

Methods: One hundred and twenty male rats of about 16 weeks old was divided into five groups: G1) saline solution (0.9%); G2) sunflower oil; G3) ozonated sunflower oil; G4) ozone bagging; G5) association of ozonated sunflower oil and ozone bagging. The wounds were evaluated through macroscopic, morphometric, histopathologic, and tensile strength analyses.

Results: Analysis among groups showed a lower percentage of wound contraction in G1 compared to G4 only in M7D. The tensile strength of the wounds showed differences among groups in the seventh (M7D) and the 14th (M14D) postoperative day, and among time points in G1 (M14D > M7D). The elongation of the wounds showed differences in G3 (M7D > M14D). Histological evaluation of the wounds showed significant change in bleeding, mixed to mononuclear infiltrate, congestion, and tissue disorganization for tissue organization between groups and time points.

Conclusions: Ozone therapy applied topically and/or by bagging was not deleterious to the healing of clean wounds induced in rat's skin, but ozone bagging showed the best contribution to the healing process.

Abstract Image

Abstract Image

臭氧疗法的局部应用、袋装应用或两者兼用对大鼠皮肤清洁伤口愈合的影响。
目的:本研究旨在评估臭氧疗法局部应用和/或袋装应用对大鼠皮肤清洁伤口愈合的影响:将 120 只约 16 周大的雄性大鼠分为 5 组:G1) 生理盐水(0.9%);G2) 葵花籽油;G3) 臭氧葵花籽油;G4) 臭氧袋敷;G5) 臭氧葵花籽油和臭氧袋敷。对伤口进行了宏观、形态计量、组织病理学和拉伸强度分析:结果:各组间的分析表明,仅在 M7D 中,G1 的伤口收缩百分比低于 G4。伤口的拉伸强度在术后第七天(M7D)和第十四天(M14D)显示出不同组间的差异,在 G1 中显示出不同时间点间的差异(M14D > M7D)。伤口的伸长在 G3(M7D > M14D)出现差异。对伤口的组织学评估显示,不同组别和时间点之间的出血、单核混合浸润、充血和组织结构紊乱情况均有显著变化:结论:局部和/或袋装臭氧疗法对大鼠皮肤清洁伤口的愈合无害,但袋装臭氧疗法对伤口愈合的贡献最大。
本文章由计算机程序翻译,如有差异,请以英文原文为准。
求助全文
约1分钟内获得全文 求助全文
来源期刊
自引率
0.00%
发文量
0
×
引用
GB/T 7714-2015
复制
MLA
复制
APA
复制
导出至
BibTeX EndNote RefMan NoteFirst NoteExpress
×
提示
您的信息不完整,为了账户安全,请先补充。
现在去补充
×
提示
您因"违规操作"
具体请查看互助需知
我知道了
×
提示
确定
请完成安全验证×
copy
已复制链接
快去分享给好友吧!
我知道了
右上角分享
点击右上角分享
0
联系我们:info@booksci.cn Book学术提供免费学术资源搜索服务,方便国内外学者检索中英文文献。致力于提供最便捷和优质的服务体验。 Copyright © 2023 布克学术 All rights reserved.
京ICP备2023020795号-1
ghs 京公网安备 11010802042870号
Book学术文献互助
Book学术文献互助群
群 号:604180095
Book学术官方微信