Epithelial downgrowth masquerading as granulomatous anterior and intermediate uveitis with histopathologic evidence of 5-FU treatment.

GMS ophthalmology cases Pub Date : 2024-09-23 eCollection Date: 2024-01-01 DOI:10.3205/oc000245
Colin P Froines, Alexander D Lin, Kaivon Pakzad-Vaezi, Gordana Juric-Sekhar, Caitlin S Latimer, Kathryn P Scherpelz, C Dirk Keene, Eissa M Hanna, Michael R Banitt, Luis F Gonzalez-Cuyar
{"title":"Epithelial downgrowth masquerading as granulomatous anterior and intermediate uveitis with histopathologic evidence of 5-FU treatment.","authors":"Colin P Froines, Alexander D Lin, Kaivon Pakzad-Vaezi, Gordana Juric-Sekhar, Caitlin S Latimer, Kathryn P Scherpelz, C Dirk Keene, Eissa M Hanna, Michael R Banitt, Luis F Gonzalez-Cuyar","doi":"10.3205/oc000245","DOIUrl":null,"url":null,"abstract":"<p><strong>Purpose: </strong>Highlight an unusual case of epithelial downgrowth (EDG) masquerading as granulomatous anterior and intermediate uveitis with histopathologic evidence of 5-fluorouracil (5-FU) treatment.</p><p><strong>Case description: </strong>A 33-year-old man presented after multiple corneal surgeries and neodymium-doped yttrium aluminum garnet (Nd:YAG) capsulotomies with subacute angle closure, pain, light sensitivity, and decreased vision. Exam was notable for granulomatous keratic precipitates, an opacified lens capsule, and vitreous cell/haze. An anterior chamber paracentesis was sent for 16 s (pan-bacterial) and 28 s (pan-fungal) rRNA polymerase chain reaction testing, which returned negative. Diagnostic argon laser photocoagulation was performed on the iris and lens capsule, which blanched upon laser photocoagulation, and subsequent iris biopsy confirmed the presence of epithelial downgrowth (EDG). The patient was treated with multiple injections of 5-FU with repeat biopsy demonstrating both a reduction and apparent resolution in epithelial cell burden after 5-FU.</p><p><strong>Conclusion: </strong>This case demonstrates an unusual presentation of EDG in a young patient with granulomatous anterior and intermediate uveitis, where simple office-based procedures of Argon laser photocoagulation and anterior chamber paracentesis helped aid in diagnosis and management. Histopathological examination in serial specimens demonstrated the effect of 5-FU on EGD. To our knowledge, this case is the first to describe histopathological reduction in epithelial cell burden with sustained resolution.</p>","PeriodicalId":73178,"journal":{"name":"GMS ophthalmology cases","volume":"14 ","pages":"Doc13"},"PeriodicalIF":0.0000,"publicationDate":"2024-09-23","publicationTypes":"Journal Article","fieldsOfStudy":null,"isOpenAccess":false,"openAccessPdf":"https://www.ncbi.nlm.nih.gov/pmc/articles/PMC11462678/pdf/","citationCount":"0","resultStr":null,"platform":"Semanticscholar","paperid":null,"PeriodicalName":"GMS ophthalmology cases","FirstCategoryId":"1085","ListUrlMain":"https://doi.org/10.3205/oc000245","RegionNum":0,"RegionCategory":null,"ArticlePicture":[],"TitleCN":null,"AbstractTextCN":null,"PMCID":null,"EPubDate":"2024/1/1 0:00:00","PubModel":"eCollection","JCR":"","JCRName":"","Score":null,"Total":0}
引用次数: 0

Abstract

Purpose: Highlight an unusual case of epithelial downgrowth (EDG) masquerading as granulomatous anterior and intermediate uveitis with histopathologic evidence of 5-fluorouracil (5-FU) treatment.

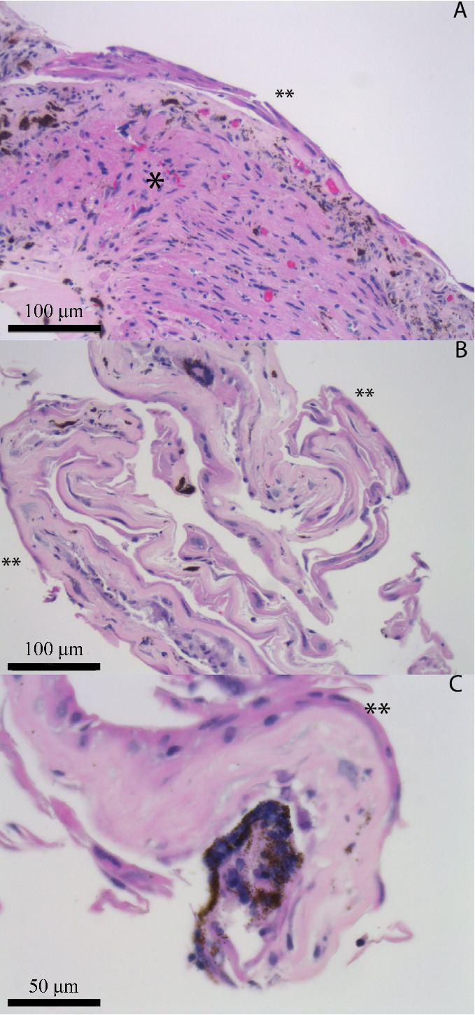
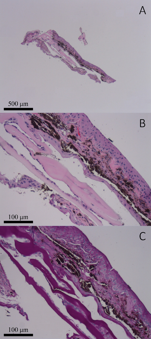
Case description: A 33-year-old man presented after multiple corneal surgeries and neodymium-doped yttrium aluminum garnet (Nd:YAG) capsulotomies with subacute angle closure, pain, light sensitivity, and decreased vision. Exam was notable for granulomatous keratic precipitates, an opacified lens capsule, and vitreous cell/haze. An anterior chamber paracentesis was sent for 16 s (pan-bacterial) and 28 s (pan-fungal) rRNA polymerase chain reaction testing, which returned negative. Diagnostic argon laser photocoagulation was performed on the iris and lens capsule, which blanched upon laser photocoagulation, and subsequent iris biopsy confirmed the presence of epithelial downgrowth (EDG). The patient was treated with multiple injections of 5-FU with repeat biopsy demonstrating both a reduction and apparent resolution in epithelial cell burden after 5-FU.

Conclusion: This case demonstrates an unusual presentation of EDG in a young patient with granulomatous anterior and intermediate uveitis, where simple office-based procedures of Argon laser photocoagulation and anterior chamber paracentesis helped aid in diagnosis and management. Histopathological examination in serial specimens demonstrated the effect of 5-FU on EGD. To our knowledge, this case is the first to describe histopathological reduction in epithelial cell burden with sustained resolution.

Abstract Image

Abstract Image

伪装成肉芽肿性前葡萄膜炎和中葡萄膜炎的上皮细胞增生,组织病理学证据显示曾接受过 5-FU 治疗。
目的:重点介绍一例伪装成肉芽肿性前葡萄膜炎和中葡萄膜炎的上皮下生长(EDG)的不寻常病例,病理组织学证据显示该病例接受过5-氟尿嘧啶(5-FU)治疗:一名 33 岁的男子在多次角膜手术和掺钕钇铝石榴石(Nd:YAG)囊切术后出现亚急性角膜闭合、疼痛、光敏感和视力下降。检查结果显示有肉芽肿性角膜沉淀物、晶状体囊不透明和玻璃体细胞/雾状物。前房旁腔穿刺被送去进行16s(泛细菌)和28s(泛真菌)rRNA聚合酶链反应检测,结果均为阴性。对虹膜和晶状体囊进行了诊断性氩激光光凝,激光光凝后虹膜和晶状体囊变白,随后的虹膜活检证实存在上皮下生(EDG)。患者接受了多次注射 5-FU 的治疗,重复活检显示,5-FU 治疗后上皮细胞负担减轻并明显消退:本病例显示,一名患有肉芽肿性前色素膜炎和中间色素膜炎的年轻患者出现了不寻常的 EDG 表现,在诊室进行氩激光光凝和前房旁路穿刺术有助于诊断和治疗。连续标本的组织病理学检查显示了 5-FU 对 EGD 的影响。据我们所知,该病例是第一例描述上皮细胞负担减少并持续缓解的组织病理学病例。
本文章由计算机程序翻译,如有差异,请以英文原文为准。
求助全文
约1分钟内获得全文 求助全文
来源期刊
自引率
0.00%
发文量
0
审稿时长
6 weeks
×
引用
GB/T 7714-2015
复制
MLA
复制
APA
复制
导出至
BibTeX EndNote RefMan NoteFirst NoteExpress
×
提示
您的信息不完整,为了账户安全,请先补充。
现在去补充
×
提示
您因"违规操作"
具体请查看互助需知
我知道了
×
提示
确定
请完成安全验证×
copy
已复制链接
快去分享给好友吧!
我知道了
右上角分享
点击右上角分享
0
联系我们:info@booksci.cn Book学术提供免费学术资源搜索服务,方便国内外学者检索中英文文献。致力于提供最便捷和优质的服务体验。 Copyright © 2023 布克学术 All rights reserved.
京ICP备2023020795号-1
ghs 京公网安备 11010802042870号
Book学术文献互助
Book学术文献互助群
群 号:604180095
Book学术官方微信