Diffuse preretinal infiltrates in a patient with orbital atypical T-cell lymphoproliferative infiltration masquerading posterior uveitis.

GMS ophthalmology cases Pub Date : 2024-09-23 eCollection Date: 2024-01-01 DOI:10.3205/oc000242
Bilge Batu Oto, Oğuzhan Kılıçarslan, Didar Uçar, Samira Hagverdiyeva, Ahmet Murat Sarıcı
{"title":"Diffuse preretinal infiltrates in a patient with orbital atypical T-cell lymphoproliferative infiltration masquerading posterior uveitis.","authors":"Bilge Batu Oto, Oğuzhan Kılıçarslan, Didar Uçar, Samira Hagverdiyeva, Ahmet Murat Sarıcı","doi":"10.3205/oc000242","DOIUrl":null,"url":null,"abstract":"<p><strong>Purpose: </strong>To report an aggressive and rapidly progressive case of atypical T-cell lymphoproliferative infiltration both with intraocular and orbital involvement and preretinal infiltrates.</p><p><strong>Methods: </strong>Medical records and imaging of the patient were retrospectively reviewed.</p><p><strong>Case presentation: </strong>A 25-year-old woman presented first with preretinal infiltrates resembling uveitis and developed orbital and intracranial signs eventually during her evaluation. Clinical presentation worsened gradually. The patient developed bilateral proptosis, pupillary dilation and uvula deviation. Diagnostic orbital incision biopsy revealed T-cell lymphoproliferative disease.</p><p><strong>Conclusion: </strong>This case gives evidence that intraocular involvement due to T-cell lymphoproliferative disease may present as a masquerade syndrome and should be kept in mind in patients with extraordinary presentation.</p>","PeriodicalId":73178,"journal":{"name":"GMS ophthalmology cases","volume":"14 ","pages":"Doc10"},"PeriodicalIF":0.0000,"publicationDate":"2024-09-23","publicationTypes":"Journal Article","fieldsOfStudy":null,"isOpenAccess":false,"openAccessPdf":"https://www.ncbi.nlm.nih.gov/pmc/articles/PMC11462703/pdf/","citationCount":"0","resultStr":null,"platform":"Semanticscholar","paperid":null,"PeriodicalName":"GMS ophthalmology cases","FirstCategoryId":"1085","ListUrlMain":"https://doi.org/10.3205/oc000242","RegionNum":0,"RegionCategory":null,"ArticlePicture":[],"TitleCN":null,"AbstractTextCN":null,"PMCID":null,"EPubDate":"2024/1/1 0:00:00","PubModel":"eCollection","JCR":"","JCRName":"","Score":null,"Total":0}
引用次数: 0

Abstract

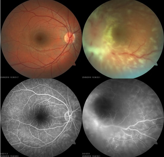
Purpose: To report an aggressive and rapidly progressive case of atypical T-cell lymphoproliferative infiltration both with intraocular and orbital involvement and preretinal infiltrates.

Methods: Medical records and imaging of the patient were retrospectively reviewed.

Case presentation: A 25-year-old woman presented first with preretinal infiltrates resembling uveitis and developed orbital and intracranial signs eventually during her evaluation. Clinical presentation worsened gradually. The patient developed bilateral proptosis, pupillary dilation and uvula deviation. Diagnostic orbital incision biopsy revealed T-cell lymphoproliferative disease.

Conclusion: This case gives evidence that intraocular involvement due to T-cell lymphoproliferative disease may present as a masquerade syndrome and should be kept in mind in patients with extraordinary presentation.

Abstract Image

Abstract Image

Abstract Image

一名伪装成后葡萄膜炎的眼眶非典型 T 细胞淋巴增生性浸润患者的弥漫性视网膜前浸润。
目的:报告一例侵袭性和快速进展的非典型T细胞淋巴细胞增生性浸润病例,该病例同时伴有眼内和眼眶受累以及视网膜前浸润:方法:回顾性分析患者的病历和影像学资料:一名 25 岁女性患者首先出现类似葡萄膜炎的视网膜前浸润,在评估期间最终出现眼眶和颅内症状。临床表现逐渐恶化。患者出现双侧眼球突出、瞳孔散大和悬雍垂。诊断性眼眶切口活检显示患者患有 T 细胞淋巴增生性疾病:本病例证明,T 细胞淋巴细胞增生性疾病导致的眼内受累可能表现为一种假性综合征,对于有特殊表现的患者应加以注意。
本文章由计算机程序翻译,如有差异,请以英文原文为准。
求助全文
约1分钟内获得全文 求助全文
来源期刊
自引率
0.00%
发文量
0
审稿时长
6 weeks
×
引用
GB/T 7714-2015
复制
MLA
复制
APA
复制
导出至
BibTeX EndNote RefMan NoteFirst NoteExpress
×
提示
您的信息不完整,为了账户安全,请先补充。
现在去补充
×
提示
您因"违规操作"
具体请查看互助需知
我知道了
×
提示
确定
请完成安全验证×
copy
已复制链接
快去分享给好友吧!
我知道了
右上角分享
点击右上角分享
0
联系我们:info@booksci.cn Book学术提供免费学术资源搜索服务,方便国内外学者检索中英文文献。致力于提供最便捷和优质的服务体验。 Copyright © 2023 布克学术 All rights reserved.
京ICP备2023020795号-1
ghs 京公网安备 11010802042870号
Book学术文献互助
Book学术文献互助群
群 号:604180095
Book学术官方微信