A preliminary study on the diagnostic performance of the uPath PD-L1 (SP263) artificial intelligence (AI) algorithm in patients with NSCLC treated with PD-1/PD-L1 checkpoint blockade.

IF 2.9 Q1 PATHOLOGY
PATHOLOGICA Pub Date : 2024-08-01 DOI:10.32074/1591-951X-998
Alessio Cortellini, Claudia Zampacorta, Michele De Tursi, Lucia R Grillo, Serena Ricciardi, Emilio Bria, Maurizio Martini, Raffaele Giusti, Marco Filetti, Antonella Dal Mas, Marco Russano, Filippo Gustavo Dall'Olio, Fiamma Buttitta, Antonio Marchetti
{"title":"A preliminary study on the diagnostic performance of the uPath PD-L1 (SP263) artificial intelligence (AI) algorithm in patients with NSCLC treated with PD-1/PD-L1 checkpoint blockade.","authors":"Alessio Cortellini, Claudia Zampacorta, Michele De Tursi, Lucia R Grillo, Serena Ricciardi, Emilio Bria, Maurizio Martini, Raffaele Giusti, Marco Filetti, Antonella Dal Mas, Marco Russano, Filippo Gustavo Dall'Olio, Fiamma Buttitta, Antonio Marchetti","doi":"10.32074/1591-951X-998","DOIUrl":null,"url":null,"abstract":"<p><strong>Objective: </strong>The uPath PD-L1 (SP263) is an AI-based platform designed to aid pathologists in identifying and quantifying PD-L1 positive tumor cells in non-small cell lung cancer (NSCLC) samples stained with the SP263 assay.</p><p><strong>Methods: </strong>In this preliminary study, we explored the diagnostic performance of the uPath PD-L1 algorithm in defining PD-L1 tumor proportion score (TPS) and predict clinical outcomes in a series of patients with advanced stage NSCLC treated with single agent PD-1/PD-L1 checkpoint blockade previously assessed with the SP263 assay in clinical practice.</p><p><strong>Results: </strong>44 patients treated from August 2015 to January 2019 were included, with baseline PD-L1 TPS of ≥ 50%, 1-49% and < 1% in 38.6%, 25.0% and 36.4%, respectively. The median uPath PD-L1 score was 6 with a significant correlation with the baseline PD-L1 TPS (r: 0.83, p < 0.01). However, only 27 cases (61.4%) were scored within the same clinically relevant range of expression (≥ vs < 50%). In the study population the baseline PD-L1 TPS was not significantly associated with clinical outcomes, while the uPath PD-L1 score showed a good diagnostic ability for the risk of death at the ROC curve analysis [AUC: 0.81 (95%CI: 0.66-0.91), optimal cut-off of ≥ 3.2], resulting in 19 patients (43.2%) being u-Path low and 25 patients (56.8%) being uPath high. The objective response rate in uPath high and low was 51.6% and 25.0% (p = 0.1), respectively, although the uPath was significantly associated with overall survival (OS, HR 2.45, 95%CI: 1.19-5.05) and progression free survival (PFS, HR 3.04, 95%CI: 1.51-6.14). At the inverse probability of treatment weighting analysis used to balance baseline covariates, the uPath categories confirmed to be independently associated with OS and PFS.</p><p><strong>Conclusions: </strong>This preliminary analysis suggests that AI-based, digital pathology tools such as uPath PD-L1 (SP263) can be used to optimize already available biomarkers for immune-oncology treatment in patients with NSCLC.</p>","PeriodicalId":45893,"journal":{"name":"PATHOLOGICA","volume":"116 4","pages":"222-231"},"PeriodicalIF":2.9000,"publicationDate":"2024-08-01","publicationTypes":"Journal Article","fieldsOfStudy":null,"isOpenAccess":false,"openAccessPdf":"https://www.ncbi.nlm.nih.gov/pmc/articles/PMC11460154/pdf/","citationCount":"0","resultStr":null,"platform":"Semanticscholar","paperid":null,"PeriodicalName":"PATHOLOGICA","FirstCategoryId":"1085","ListUrlMain":"https://doi.org/10.32074/1591-951X-998","RegionNum":0,"RegionCategory":null,"ArticlePicture":[],"TitleCN":null,"AbstractTextCN":null,"PMCID":null,"EPubDate":"","PubModel":"","JCR":"Q1","JCRName":"PATHOLOGY","Score":null,"Total":0}
引用次数: 0

Abstract

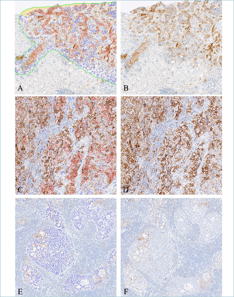
Objective: The uPath PD-L1 (SP263) is an AI-based platform designed to aid pathologists in identifying and quantifying PD-L1 positive tumor cells in non-small cell lung cancer (NSCLC) samples stained with the SP263 assay.

Methods: In this preliminary study, we explored the diagnostic performance of the uPath PD-L1 algorithm in defining PD-L1 tumor proportion score (TPS) and predict clinical outcomes in a series of patients with advanced stage NSCLC treated with single agent PD-1/PD-L1 checkpoint blockade previously assessed with the SP263 assay in clinical practice.

Results: 44 patients treated from August 2015 to January 2019 were included, with baseline PD-L1 TPS of ≥ 50%, 1-49% and < 1% in 38.6%, 25.0% and 36.4%, respectively. The median uPath PD-L1 score was 6 with a significant correlation with the baseline PD-L1 TPS (r: 0.83, p < 0.01). However, only 27 cases (61.4%) were scored within the same clinically relevant range of expression (≥ vs < 50%). In the study population the baseline PD-L1 TPS was not significantly associated with clinical outcomes, while the uPath PD-L1 score showed a good diagnostic ability for the risk of death at the ROC curve analysis [AUC: 0.81 (95%CI: 0.66-0.91), optimal cut-off of ≥ 3.2], resulting in 19 patients (43.2%) being u-Path low and 25 patients (56.8%) being uPath high. The objective response rate in uPath high and low was 51.6% and 25.0% (p = 0.1), respectively, although the uPath was significantly associated with overall survival (OS, HR 2.45, 95%CI: 1.19-5.05) and progression free survival (PFS, HR 3.04, 95%CI: 1.51-6.14). At the inverse probability of treatment weighting analysis used to balance baseline covariates, the uPath categories confirmed to be independently associated with OS and PFS.

Conclusions: This preliminary analysis suggests that AI-based, digital pathology tools such as uPath PD-L1 (SP263) can be used to optimize already available biomarkers for immune-oncology treatment in patients with NSCLC.

Abstract Image

Abstract Image

Abstract Image

关于uPath PD-L1 (SP263)人工智能(AI)算法在接受PD-1/PD-L1检查点阻断治疗的NSCLC患者中诊断性能的初步研究。
目的:uPath PD-L1 (SP263)是一个基于人工智能的平台,旨在帮助病理学家识别和量化用SP263检测法染色的非小细胞肺癌(NSCLC)样本中的PD-L1阳性肿瘤细胞:在这项初步研究中,我们探索了uPath PD-L1算法在定义PD-L1肿瘤比例评分(TPS)方面的诊断性能,并预测了一系列晚期NSCLC患者的临床结局:纳入2015年8月至2019年1月接受治疗的44例患者,基线PD-L1 TPS≥50%、1-49%和<1%的患者分别占38.6%、25.0%和36.4%。UPath PD-L1 评分中位数为 6,与基线 PD-L1 TPS 有显著相关性(r:0.83,p < 0.01)。然而,只有 27 个病例(61.4%)的得分在相同的临床相关表达范围内(≥ vs <50%)。在研究人群中,基线PD-L1 TPS与临床结果无显著相关性,而uPath PD-L1评分在ROC曲线分析中对死亡风险显示出良好的诊断能力[AUC:0.81(95%CI:0.66-0.91),最佳临界值≥3.2],结果19例患者(43.2%)为u-Path低分,25例患者(56.8%)为uPath高分。uPath高和uPath低的客观反应率分别为51.6%和25.0%(p = 0.1),但uPath与总生存期(OS,HR 2.45,95%CI:1.19-5.05)和无进展生存期(PFS,HR 3.04,95%CI:1.51-6.14)显著相关。在用于平衡基线协变量的逆概率治疗加权分析中,uPath类别证实与OS和PFS独立相关:这项初步分析表明,基于人工智能的数字病理学工具(如uPath PD-L1 (SP263))可用于优化现有的生物标记物,用于NSCLC患者的免疫肿瘤治疗。
本文章由计算机程序翻译,如有差异,请以英文原文为准。
求助全文
约1分钟内获得全文 求助全文
来源期刊
PATHOLOGICA
PATHOLOGICA PATHOLOGY-
CiteScore
5.90
自引率
5.70%
发文量
108
×
引用
GB/T 7714-2015
复制
MLA
复制
APA
复制
导出至
BibTeX EndNote RefMan NoteFirst NoteExpress
×
提示
您的信息不完整,为了账户安全,请先补充。
现在去补充
×
提示
您因"违规操作"
具体请查看互助需知
我知道了
×
提示
确定
请完成安全验证×
copy
已复制链接
快去分享给好友吧!
我知道了
右上角分享
点击右上角分享
0
联系我们:info@booksci.cn Book学术提供免费学术资源搜索服务,方便国内外学者检索中英文文献。致力于提供最便捷和优质的服务体验。 Copyright © 2023 布克学术 All rights reserved.
京ICP备2023020795号-1
ghs 京公网安备 11010802042870号
Book学术文献互助
Book学术文献互助群
群 号:604180095
Book学术官方微信