Clinical, CBCT and Histological Analysis of a Florid Cemento-Osseous Dysplasia with Co-Occurrence of Simple Bone Cyst in the Mandible: A Case Report.

Antoine Berberi
{"title":"Clinical, CBCT and Histological Analysis of a Florid Cemento-Osseous Dysplasia with Co-Occurrence of Simple Bone Cyst in the Mandible: A Case Report.","authors":"Antoine Berberi","doi":"10.30476/dentjods.2024.101163.2276","DOIUrl":null,"url":null,"abstract":"<p><p>Cemento-osseous dysplasia (COD) is classified, by the World Health Organization as a benign fibro-osseous lesion related to the tooth and periapical area of the jaws and is considered as a benign reactive process appearing from the apical periodontium in close relation with the apices of teeth. Usually, it is asymptomatic, discovered accidentally, and affecting particularly middle-aged African women. There are four subtypes distinguished of the lesion: periapical (PCOD), focal (FCOD), florid (FLCOD) and familial florid cemento-osseous dysplasia (FFLCOD). Pseudocysts found in the jaws go by various names, including solitary bone cyst, traumatic bone cyst, or simple bone cyst (SBC). These two pathologies have been reported separately; however, their co-occurrence remains rare and the first case of FLCOD with co-occurrence of SBC was reported by Melrose <i>et al</i>. in 1976 and later a few cases been reported in the literature. The aim of this report is to describe a case of a 46-year-old oriental female diagnosed with FLCOD with co-occurrence of SBC. Under local analgesia, a surgical exploration of the cyst was performed. In addition, a biopsy with a trephine was done in the region of missing right first mandibular molar. Based on the patient clinical, radiographic, and histological findings, a diagnosis of FLCOD was made in co-occurrence with a mandibular SBC. An examination of another female family member unveils a distinctive case, and the familial factor has been ruled out. No further treatment was planned and only follow-up was suggested.</p>","PeriodicalId":73702,"journal":{"name":"Journal of dentistry (Shiraz, Iran)","volume":"25 3","pages":"278-287"},"PeriodicalIF":0.0000,"publicationDate":"2024-09-01","publicationTypes":"Journal Article","fieldsOfStudy":null,"isOpenAccess":false,"openAccessPdf":"https://www.ncbi.nlm.nih.gov/pmc/articles/PMC11452594/pdf/","citationCount":"0","resultStr":null,"platform":"Semanticscholar","paperid":null,"PeriodicalName":"Journal of dentistry (Shiraz, Iran)","FirstCategoryId":"1085","ListUrlMain":"https://doi.org/10.30476/dentjods.2024.101163.2276","RegionNum":0,"RegionCategory":null,"ArticlePicture":[],"TitleCN":null,"AbstractTextCN":null,"PMCID":null,"EPubDate":"","PubModel":"","JCR":"","JCRName":"","Score":null,"Total":0}
引用次数: 0

Abstract

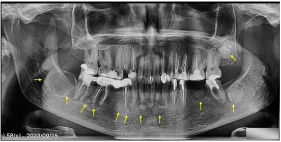
Cemento-osseous dysplasia (COD) is classified, by the World Health Organization as a benign fibro-osseous lesion related to the tooth and periapical area of the jaws and is considered as a benign reactive process appearing from the apical periodontium in close relation with the apices of teeth. Usually, it is asymptomatic, discovered accidentally, and affecting particularly middle-aged African women. There are four subtypes distinguished of the lesion: periapical (PCOD), focal (FCOD), florid (FLCOD) and familial florid cemento-osseous dysplasia (FFLCOD). Pseudocysts found in the jaws go by various names, including solitary bone cyst, traumatic bone cyst, or simple bone cyst (SBC). These two pathologies have been reported separately; however, their co-occurrence remains rare and the first case of FLCOD with co-occurrence of SBC was reported by Melrose et al. in 1976 and later a few cases been reported in the literature. The aim of this report is to describe a case of a 46-year-old oriental female diagnosed with FLCOD with co-occurrence of SBC. Under local analgesia, a surgical exploration of the cyst was performed. In addition, a biopsy with a trephine was done in the region of missing right first mandibular molar. Based on the patient clinical, radiographic, and histological findings, a diagnosis of FLCOD was made in co-occurrence with a mandibular SBC. An examination of another female family member unveils a distinctive case, and the familial factor has been ruled out. No further treatment was planned and only follow-up was suggested.

Abstract Image

Abstract Image

Abstract Image

临床、CBCT 和组织学分析:伴有单纯骨囊肿的下颌骨花斑状骨水泥样骨质增生症:病例报告。
根据世界卫生组织的分类,牙骨质发育不良(COD)是一种与牙齿和颌骨根尖周围有关的良性纤维骨病变,被认为是一种良性反应性过程,出现在与牙齿根尖密切相关的根尖牙周。它通常无症状,偶然发现,主要影响中年非洲妇女。这种病变可分为四种亚型:根尖周型(PCOD)、局灶型(FCOD)、花斑型(FLCOD)和家族性花斑牙骨质发育不良型(FFLCOD)。颌骨中发现的假性囊肿有多种名称,包括单发性骨囊肿、创伤性骨囊肿或单纯性骨囊肿(SBC)。1976年,Melrose等人报告了第一例同时伴有SBC的FLCOD病例,后来又有一些病例在文献中出现。本报告旨在描述一例被诊断为 FLCOD 并发 SBC 的 46 岁东方女性病例。在局部镇痛的情况下,对囊肿进行了手术探查。此外,还在右下颌第一臼齿缺失区域进行了穿刺活检。根据患者的临床、影像学和组织学检查结果,诊断为下颌SBC同时伴有FLCOD。对另一名女性家庭成员的检查发现了一个独特的病例,并排除了家族因素。没有进一步的治疗计划,只建议进行随访。
本文章由计算机程序翻译,如有差异,请以英文原文为准。
求助全文
约1分钟内获得全文 求助全文
来源期刊
CiteScore
0.50
自引率
0.00%
发文量
0
×
引用
GB/T 7714-2015
复制
MLA
复制
APA
复制
导出至
BibTeX EndNote RefMan NoteFirst NoteExpress
×
提示
您的信息不完整,为了账户安全,请先补充。
现在去补充
×
提示
您因"违规操作"
具体请查看互助需知
我知道了
×
提示
确定
请完成安全验证×
copy
已复制链接
快去分享给好友吧!
我知道了
右上角分享
点击右上角分享
0
联系我们:info@booksci.cn Book学术提供免费学术资源搜索服务,方便国内外学者检索中英文文献。致力于提供最便捷和优质的服务体验。 Copyright © 2023 布克学术 All rights reserved.
京ICP备2023020795号-1
ghs 京公网安备 11010802042870号
Book学术文献互助
Book学术文献互助群
群 号:604180095
Book学术官方微信