Stealth cryptococcus in an immunocompetent patient.

Q4 Medicine
Autopsy and Case Reports Pub Date : 2024-09-27 eCollection Date: 2024-01-01 DOI:10.4322/acr.2024.520
Emily Ryan, Gia Jackson, Larry Nichols
{"title":"Stealth cryptococcus in an immunocompetent patient.","authors":"Emily Ryan, Gia Jackson, Larry Nichols","doi":"10.4322/acr.2024.520","DOIUrl":null,"url":null,"abstract":"<p><p>Cryptococcosis occurs primarily in immunocompromised patients. It is difficult to suspect in an immunocompetent patient presenting with a headache. The clinical manifestations of cryptococcosis can be subtle in a patient whose immune system is responding, but inadequate. This is the report of a case of fatal cryptococcosis initially misdiagnosed as a sinus headache on the basis of a telephone call, and then misdiagnosed as aseptic meningitis on the basis of mild findings and negative cerebrospinal fluid cultures. Autopsy revealed unsuspected severe cryptococcal meningoencephalitis. Cerebrospinal fluid nuclear acid amplification (NAA) panels including Cryptococcus should enable the diagnosis of unsuspected cryptococcal meningitis in most cases, but can be false positive, which could be adjudicated by cryptococcal antigen and culture. It will remain important to test for cryptococcal antigen and to maintain a broad differential diagnosis for all patients with meningitis.</p>","PeriodicalId":53117,"journal":{"name":"Autopsy and Case Reports","volume":"14 ","pages":"e2024520"},"PeriodicalIF":0.0000,"publicationDate":"2024-09-27","publicationTypes":"Journal Article","fieldsOfStudy":null,"isOpenAccess":false,"openAccessPdf":"https://www.ncbi.nlm.nih.gov/pmc/articles/PMC11452077/pdf/","citationCount":"0","resultStr":null,"platform":"Semanticscholar","paperid":null,"PeriodicalName":"Autopsy and Case Reports","FirstCategoryId":"1085","ListUrlMain":"https://doi.org/10.4322/acr.2024.520","RegionNum":0,"RegionCategory":null,"ArticlePicture":[],"TitleCN":null,"AbstractTextCN":null,"PMCID":null,"EPubDate":"2024/1/1 0:00:00","PubModel":"eCollection","JCR":"Q4","JCRName":"Medicine","Score":null,"Total":0}
引用次数: 0

Abstract

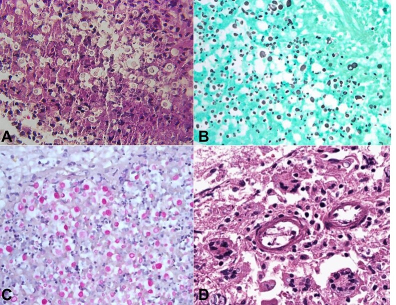
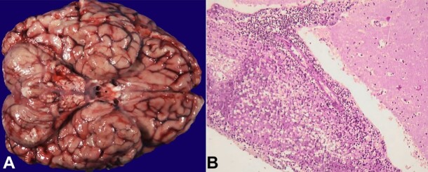
Cryptococcosis occurs primarily in immunocompromised patients. It is difficult to suspect in an immunocompetent patient presenting with a headache. The clinical manifestations of cryptococcosis can be subtle in a patient whose immune system is responding, but inadequate. This is the report of a case of fatal cryptococcosis initially misdiagnosed as a sinus headache on the basis of a telephone call, and then misdiagnosed as aseptic meningitis on the basis of mild findings and negative cerebrospinal fluid cultures. Autopsy revealed unsuspected severe cryptococcal meningoencephalitis. Cerebrospinal fluid nuclear acid amplification (NAA) panels including Cryptococcus should enable the diagnosis of unsuspected cryptococcal meningitis in most cases, but can be false positive, which could be adjudicated by cryptococcal antigen and culture. It will remain important to test for cryptococcal antigen and to maintain a broad differential diagnosis for all patients with meningitis.

Abstract Image

Abstract Image

一名免疫功能正常患者体内的隐球菌。
隐球菌病主要发生在免疫力低下的患者身上。免疫功能正常的患者出现头痛时很难怀疑是隐球菌病。在免疫系统有反应但不充分的患者中,隐球菌病的临床表现可能很隐蔽。本文报告了一例致命的隐球菌病病例,患者最初因一个电话而被误诊为窦性头痛,后又因轻微的检查结果和脑脊液培养阴性而被误诊为无菌性脑膜炎。尸检发现了未被怀疑的严重隐球菌性脑膜脑炎。在大多数病例中,包括隐球菌在内的脑脊液核酸扩增(NAA)检测应能诊断出疑似隐球菌性脑膜炎,但也可能出现假阳性,这可通过隐球菌抗原和培养来判定。对所有脑膜炎患者进行隐球菌抗原检测并保持广泛的鉴别诊断仍然非常重要。
本文章由计算机程序翻译,如有差异,请以英文原文为准。
求助全文
约1分钟内获得全文 求助全文
来源期刊
Autopsy and Case Reports
Autopsy and Case Reports Medicine-Internal Medicine
CiteScore
1.20
自引率
0.00%
发文量
60
审稿时长
9 weeks
×
引用
GB/T 7714-2015
复制
MLA
复制
APA
复制
导出至
BibTeX EndNote RefMan NoteFirst NoteExpress
×
提示
您的信息不完整,为了账户安全,请先补充。
现在去补充
×
提示
您因"违规操作"
具体请查看互助需知
我知道了
×
提示
确定
请完成安全验证×
copy
已复制链接
快去分享给好友吧!
我知道了
右上角分享
点击右上角分享
0
联系我们:info@booksci.cn Book学术提供免费学术资源搜索服务,方便国内外学者检索中英文文献。致力于提供最便捷和优质的服务体验。 Copyright © 2023 布克学术 All rights reserved.
京ICP备2023020795号-1
ghs 京公网安备 11010802042870号
Book学术文献互助
Book学术文献互助群
群 号:604180095
Book学术官方微信