Anti MDA-5 associated rapidly progressive interstitial lung disease complicated by viral pneumonia - a fatal outcome.

Q4 Medicine
Autopsy and Case Reports Pub Date : 2024-08-30 eCollection Date: 2024-01-01 DOI:10.4322/acr.2024.511
Saikat Mitra, Nithye Parvathy, Mandeep Garg, Shritik Devkota, Sandeep Bansal, Inderpaul Singh Sehgal, Kirti Gupta
{"title":"Anti MDA-5 associated rapidly progressive interstitial lung disease complicated by viral pneumonia - a fatal outcome.","authors":"Saikat Mitra, Nithye Parvathy, Mandeep Garg, Shritik Devkota, Sandeep Bansal, Inderpaul Singh Sehgal, Kirti Gupta","doi":"10.4322/acr.2024.511","DOIUrl":null,"url":null,"abstract":"<p><p>Dermatomyositis is a heterogeneous systemic disease, with 7% to 10% of the individuals presenting the Anti MDA-5 antibody. This subset of patients has clinically amyotropic dermatomyositis, presenting with cutaneous ulcer and rapidly progressive interstitial lung disease. We report the case of a 22-year-old male with a six-month history of low-grade fever associated with myalgia, polyarthralgia, and marked weight loss. He had a history of shortness of breath and high-grade fever 15 days before admission. His clinical features and imaging workup were consistent with acute respiratory distress syndrome. A nasal swab was positive for H1N1 influenza virus infection. During the disease investigation, he succumbed after nine days of admission. The autopsy examination showed diffuse alveolar damage on a background of non-specific interstitial pattern of injury in the lungs. His postmortem muscle biopsy revealed subtle changes of inflammatory myopathy. The brain showed diffuse subarachnoid hemorrhage. Evaluation of postmortem serum sample revealed positivity for Anti MDA-5 and Ro-52 antibodies. This was a case of Anti MDA-5 and Ro-52 associated dermatomyositis with non-specific interstitial pneumonia pattern of lung injury complicated with H1N1 influenza pneumonia, leading to diffuse alveolar damage and subsequent respiratory failure and death. Serum Anti MDA-5 antibodies represent an important biomarker for diagnosing and predicting prognosis for patients with idiopathic inflammatory myopathies, especially clinically amyopathic dermatomyositis. Anti-Ro-52 has been reported in a wide variety of autoimmune diseases, particularly in myositis, scleroderma, and autoimmune liver diseases. Ro-52 autoantibodies are associated with interstitial lung disease (ILD), and their presence should encourage the clinician's curiosity to search for ILD.</p>","PeriodicalId":53117,"journal":{"name":"Autopsy and Case Reports","volume":"14 ","pages":"e2024511"},"PeriodicalIF":0.0000,"publicationDate":"2024-08-30","publicationTypes":"Journal Article","fieldsOfStudy":null,"isOpenAccess":false,"openAccessPdf":"https://www.ncbi.nlm.nih.gov/pmc/articles/PMC11452073/pdf/","citationCount":"0","resultStr":null,"platform":"Semanticscholar","paperid":null,"PeriodicalName":"Autopsy and Case Reports","FirstCategoryId":"1085","ListUrlMain":"https://doi.org/10.4322/acr.2024.511","RegionNum":0,"RegionCategory":null,"ArticlePicture":[],"TitleCN":null,"AbstractTextCN":null,"PMCID":null,"EPubDate":"2024/1/1 0:00:00","PubModel":"eCollection","JCR":"Q4","JCRName":"Medicine","Score":null,"Total":0}
引用次数: 0

Abstract

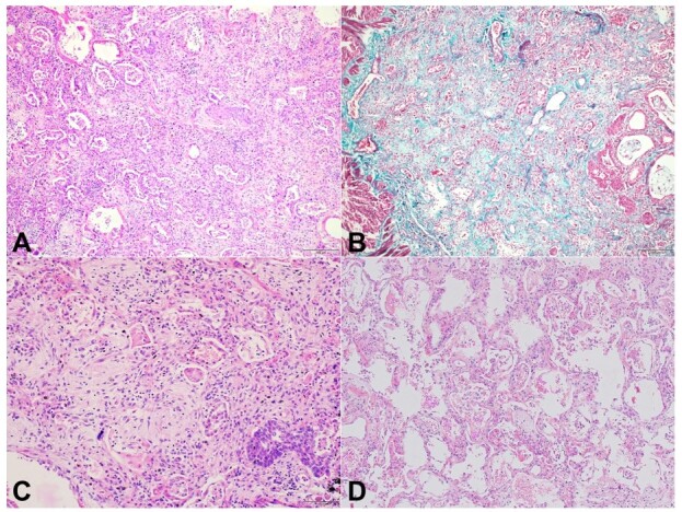
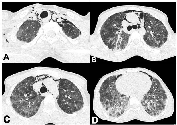
Dermatomyositis is a heterogeneous systemic disease, with 7% to 10% of the individuals presenting the Anti MDA-5 antibody. This subset of patients has clinically amyotropic dermatomyositis, presenting with cutaneous ulcer and rapidly progressive interstitial lung disease. We report the case of a 22-year-old male with a six-month history of low-grade fever associated with myalgia, polyarthralgia, and marked weight loss. He had a history of shortness of breath and high-grade fever 15 days before admission. His clinical features and imaging workup were consistent with acute respiratory distress syndrome. A nasal swab was positive for H1N1 influenza virus infection. During the disease investigation, he succumbed after nine days of admission. The autopsy examination showed diffuse alveolar damage on a background of non-specific interstitial pattern of injury in the lungs. His postmortem muscle biopsy revealed subtle changes of inflammatory myopathy. The brain showed diffuse subarachnoid hemorrhage. Evaluation of postmortem serum sample revealed positivity for Anti MDA-5 and Ro-52 antibodies. This was a case of Anti MDA-5 and Ro-52 associated dermatomyositis with non-specific interstitial pneumonia pattern of lung injury complicated with H1N1 influenza pneumonia, leading to diffuse alveolar damage and subsequent respiratory failure and death. Serum Anti MDA-5 antibodies represent an important biomarker for diagnosing and predicting prognosis for patients with idiopathic inflammatory myopathies, especially clinically amyopathic dermatomyositis. Anti-Ro-52 has been reported in a wide variety of autoimmune diseases, particularly in myositis, scleroderma, and autoimmune liver diseases. Ro-52 autoantibodies are associated with interstitial lung disease (ILD), and their presence should encourage the clinician's curiosity to search for ILD.

Abstract Image

Abstract Image

Abstract Image

抗 MDA-5 导致的快速进展性间质性肺病并发病毒性肺炎--致命结局。
皮肌炎是一种异质性全身性疾病,其中 7% 至 10% 的患者会出现抗 MDA-5 抗体。这部分患者临床上表现为肌萎缩性皮肌炎,伴有皮肤溃疡和快速进展的间质性肺病。我们报告了一例 22 岁男性患者的病例,他有 6 个月的低烧史,伴有肌痛、多关节痛和明显的体重减轻。入院前 15 天,他曾有气短和高烧病史。他的临床特征和影像学检查结果与急性呼吸窘迫综合征一致。鼻拭子检测结果呈甲型 H1N1 流感病毒感染阳性。在疾病调查期间,他在入院九天后死亡。尸检显示,在肺部非特异性间质损伤的背景下,肺泡弥漫性损伤。他死后的肌肉活检显示出炎症性肌病的细微变化。脑部显示弥漫性蛛网膜下腔出血。尸检血清样本显示抗 MDA-5 和 Ro-52 抗体呈阳性。这是一例与抗MDA-5和Ro-52相关的皮肌炎病例,其肺部损伤模式为非特异性间质性肺炎,并发H1N1流感肺炎,导致肺泡弥漫性损伤,继而呼吸衰竭死亡。血清抗 MDA-5 抗体是诊断和预测特发性炎症性肌病(尤其是临床肌病性皮肌炎)患者预后的重要生物标志物。在多种自身免疫性疾病中,特别是在肌炎、硬皮病和自身免疫性肝病中,都有抗 Ro-52 的报道。Ro-52自身抗体与间质性肺病(ILD)有关,它们的出现应激发临床医生的好奇心,以寻找ILD。
本文章由计算机程序翻译,如有差异,请以英文原文为准。
求助全文
约1分钟内获得全文 求助全文
来源期刊
Autopsy and Case Reports
Autopsy and Case Reports Medicine-Internal Medicine
CiteScore
1.20
自引率
0.00%
发文量
60
审稿时长
9 weeks
×
引用
GB/T 7714-2015
复制
MLA
复制
APA
复制
导出至
BibTeX EndNote RefMan NoteFirst NoteExpress
×
提示
您的信息不完整,为了账户安全,请先补充。
现在去补充
×
提示
您因"违规操作"
具体请查看互助需知
我知道了
×
提示
确定
请完成安全验证×
copy
已复制链接
快去分享给好友吧!
我知道了
右上角分享
点击右上角分享
0
联系我们:info@booksci.cn Book学术提供免费学术资源搜索服务,方便国内外学者检索中英文文献。致力于提供最便捷和优质的服务体验。 Copyright © 2023 布克学术 All rights reserved.
京ICP备2023020795号-1
ghs 京公网安备 11010802042870号
Book学术文献互助
Book学术文献互助群
群 号:604180095
Book学术官方微信