Case Report: An Extremely Rare Case of Epitheloid Type Leiomyoma.

IF 0.6 Q4 ONCOLOGY
Case Reports in Oncological Medicine Pub Date : 2024-09-27 eCollection Date: 2024-01-01 DOI:10.1155/2024/2259872
Mokhamad Zhaffal, Shazia Tariq, Anastasia Salame
{"title":"Case Report: An Extremely Rare Case of Epitheloid Type Leiomyoma.","authors":"Mokhamad Zhaffal, Shazia Tariq, Anastasia Salame","doi":"10.1155/2024/2259872","DOIUrl":null,"url":null,"abstract":"<p><p><b>Introduction:</b> Uterine leiomyomas are a frequent finding in women of reproductive age. However, rare, unusual growth patterns exist, such as atypical, cellular, mitotically active, myxoid, and epithelioid leiomyomas, and present a major concern as they mimic highly malignant uterine tumors such as uterine leiomyosarcomas. An example of such cases is the epithelial type leiomyoma which is the subject of our report in a 35-year-old female. <b>Case:</b> A 35-year-old, nulliparous lady presented with abnormal uterine bleeding to the emergency department. Workup revealed a suspicious uterine mass that was extending from the intramural part of the fundus down the cervical os. The patient was managed by open myomectomy without complications. The final pathology report revealed an extremely rare benign epithelial type leiomyoma, no malignancy, areas with minimal atypia and low mitotic activity (< 5/10 high power fields), and areas of focal necroses (possibly ischemic type) were seen. No coagulative tumor necrosis was noted. <b>Conclusion:</b> Uterine leiomyomas are a common pathology of the uterus that can be confused with malignant tumors, especially in the setting of unusual growth patterns such as the epitheloid leiomyomas. Definitive management involves myomectomies with regular follow-up with favourable prognosis. It is important to properly manage these cases to avoid the overdiagnosis and mistreatment not to mention the repercussion of false diagnoses on the patient's mental health and well-being.</p>","PeriodicalId":9636,"journal":{"name":"Case Reports in Oncological Medicine","volume":"2024 ","pages":"2259872"},"PeriodicalIF":0.6000,"publicationDate":"2024-09-27","publicationTypes":"Journal Article","fieldsOfStudy":null,"isOpenAccess":false,"openAccessPdf":"https://www.ncbi.nlm.nih.gov/pmc/articles/PMC11452235/pdf/","citationCount":"0","resultStr":null,"platform":"Semanticscholar","paperid":null,"PeriodicalName":"Case Reports in Oncological Medicine","FirstCategoryId":"1085","ListUrlMain":"https://doi.org/10.1155/2024/2259872","RegionNum":0,"RegionCategory":null,"ArticlePicture":[],"TitleCN":null,"AbstractTextCN":null,"PMCID":null,"EPubDate":"2024/1/1 0:00:00","PubModel":"eCollection","JCR":"Q4","JCRName":"ONCOLOGY","Score":null,"Total":0}
引用次数: 0

Abstract

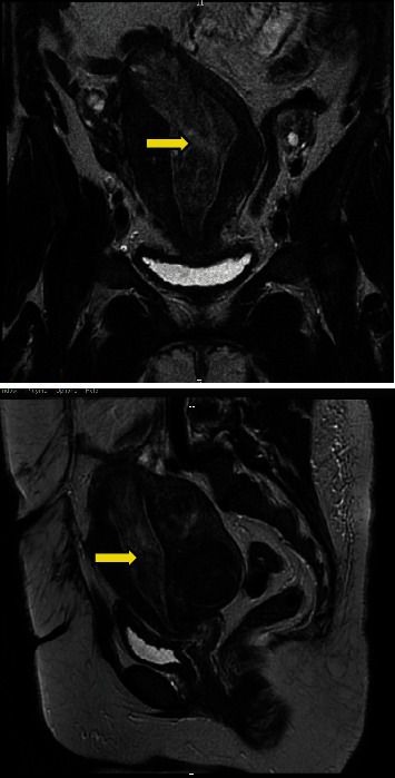
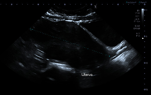
Introduction: Uterine leiomyomas are a frequent finding in women of reproductive age. However, rare, unusual growth patterns exist, such as atypical, cellular, mitotically active, myxoid, and epithelioid leiomyomas, and present a major concern as they mimic highly malignant uterine tumors such as uterine leiomyosarcomas. An example of such cases is the epithelial type leiomyoma which is the subject of our report in a 35-year-old female. Case: A 35-year-old, nulliparous lady presented with abnormal uterine bleeding to the emergency department. Workup revealed a suspicious uterine mass that was extending from the intramural part of the fundus down the cervical os. The patient was managed by open myomectomy without complications. The final pathology report revealed an extremely rare benign epithelial type leiomyoma, no malignancy, areas with minimal atypia and low mitotic activity (< 5/10 high power fields), and areas of focal necroses (possibly ischemic type) were seen. No coagulative tumor necrosis was noted. Conclusion: Uterine leiomyomas are a common pathology of the uterus that can be confused with malignant tumors, especially in the setting of unusual growth patterns such as the epitheloid leiomyomas. Definitive management involves myomectomies with regular follow-up with favourable prognosis. It is important to properly manage these cases to avoid the overdiagnosis and mistreatment not to mention the repercussion of false diagnoses on the patient's mental health and well-being.

Abstract Image

Abstract Image

Abstract Image

病例报告:极罕见的上皮样子宫肌瘤病例
导言子宫子宫肌瘤是育龄妇女的常见病。然而,也存在一些罕见的异常生长模式,如非典型、细胞性、有丝分裂活跃型、肌样和上皮样子宫肌瘤,它们会模仿高度恶性的子宫肿瘤,如子宫肌瘤。我们报告的一名 35 岁女性患上的上皮型子宫肌瘤就是此类病例的一个例子。病例:一名 35 岁的无子宫女性因异常子宫出血到急诊科就诊。检查发现一个可疑的子宫肿块,肿块从子宫底的内膜部分向下延伸至宫颈口。患者接受了开腹子宫肌瘤剔除术,未出现并发症。最终的病理报告显示,这是一种极其罕见的良性上皮型子宫肌瘤,没有恶变,不典型性极低,有丝分裂活性也很低(结论:子宫肌瘤是一种非常罕见的良性肿瘤:子宫肌瘤是一种常见的子宫病变,容易与恶性肿瘤混淆,尤其是在上皮样子宫肌瘤等生长方式异常的情况下。确定性治疗包括子宫肌瘤切除术和定期随访,预后良好。正确处理这些病例非常重要,以避免过度诊断和错误治疗,更不用说错误诊断对患者心理健康和幸福的影响。
本文章由计算机程序翻译,如有差异,请以英文原文为准。
求助全文
约1分钟内获得全文 求助全文
来源期刊
自引率
0.00%
发文量
11
审稿时长
16 weeks
期刊介绍: Case Reports in Oncological Medicine is a peer-reviewed, Open Access journal that publishes case reports and case series related to breast cancer, lung cancer, gastrointestinal cancer, skin cancer, head and neck cancer, paediatric oncology, neurooncology as well as genitourinary cancer.
×
引用
GB/T 7714-2015
复制
MLA
复制
APA
复制
导出至
BibTeX EndNote RefMan NoteFirst NoteExpress
×
提示
您的信息不完整,为了账户安全,请先补充。
现在去补充
×
提示
您因"违规操作"
具体请查看互助需知
我知道了
×
提示
确定
请完成安全验证×
copy
已复制链接
快去分享给好友吧!
我知道了
右上角分享
点击右上角分享
0
联系我们:info@booksci.cn Book学术提供免费学术资源搜索服务,方便国内外学者检索中英文文献。致力于提供最便捷和优质的服务体验。 Copyright © 2023 布克学术 All rights reserved.
京ICP备2023020795号-1
ghs 京公网安备 11010802042870号
Book学术文献互助
Book学术文献互助群
群 号:604180095
Book学术官方微信