Primary Nonseminomatous Germ Cell Tumor of Kidney: An Uncommon Renal Neoplasm.

IF 1.9 Q3 ONCOLOGY
Journal of Kidney Cancer and VHL Pub Date : 2024-10-01 eCollection Date: 2024-01-01 DOI:10.15586/jkcvhl.v11i4.335
Sonu Plash, Deepti Soni, Sramana Mukhopadhyay, Moorat Singh Yadav, Devashish Kaushal, Ketan Mehra
{"title":"Primary Nonseminomatous Germ Cell Tumor of Kidney: An Uncommon Renal Neoplasm.","authors":"Sonu Plash, Deepti Soni, Sramana Mukhopadhyay, Moorat Singh Yadav, Devashish Kaushal, Ketan Mehra","doi":"10.15586/jkcvhl.v11i4.335","DOIUrl":null,"url":null,"abstract":"<p><p>Germ cell tumor (GCT) is a neoplasm typically found in childhood, commonly originating from the testis or ovary. While there have been reported cases of GCT occurring in various extragonadal sites, primary intrarenal GCT is exceptionally rare. We present a case of 37-year-old male who presented with right upper abdomen pain. Imaging revealed a sizable mass within the right kidney. The patient underwent surgical resection of the renal mass during which there was perirenal infiltration into the duodenum and dense desmoplastic reaction all around. Subsequent histopathology confirmed the diagnosis of primary intrarenal nonseminomatous germ cell tumor (NSGCT). The patient underwent four cycles of adjuvant bleomycin, etoposide, and cisplatin (BEP) chemotherapy; at 6 months of follow-up, he is fine. The objective of this case report is to underscore the importance of considering NSGCT as a potential rare differential diagnosis in cases of renal neoplasms and further plan for the management.</p>","PeriodicalId":44291,"journal":{"name":"Journal of Kidney Cancer and VHL","volume":"11 4","pages":"10-14"},"PeriodicalIF":1.9000,"publicationDate":"2024-10-01","publicationTypes":"Journal Article","fieldsOfStudy":null,"isOpenAccess":false,"openAccessPdf":"https://www.ncbi.nlm.nih.gov/pmc/articles/PMC11447487/pdf/","citationCount":"0","resultStr":null,"platform":"Semanticscholar","paperid":null,"PeriodicalName":"Journal of Kidney Cancer and VHL","FirstCategoryId":"1085","ListUrlMain":"https://doi.org/10.15586/jkcvhl.v11i4.335","RegionNum":0,"RegionCategory":null,"ArticlePicture":[],"TitleCN":null,"AbstractTextCN":null,"PMCID":null,"EPubDate":"2024/1/1 0:00:00","PubModel":"eCollection","JCR":"Q3","JCRName":"ONCOLOGY","Score":null,"Total":0}
引用次数: 0

Abstract

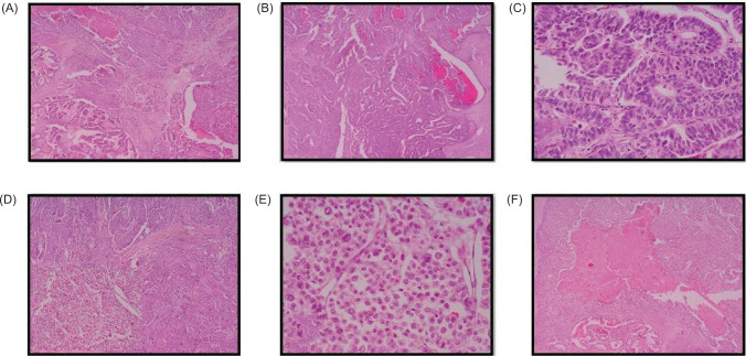
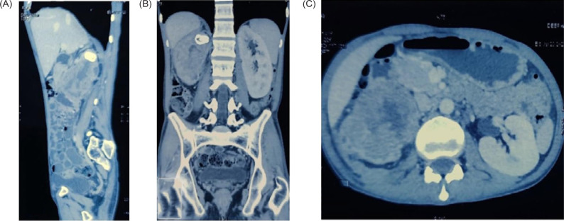
Germ cell tumor (GCT) is a neoplasm typically found in childhood, commonly originating from the testis or ovary. While there have been reported cases of GCT occurring in various extragonadal sites, primary intrarenal GCT is exceptionally rare. We present a case of 37-year-old male who presented with right upper abdomen pain. Imaging revealed a sizable mass within the right kidney. The patient underwent surgical resection of the renal mass during which there was perirenal infiltration into the duodenum and dense desmoplastic reaction all around. Subsequent histopathology confirmed the diagnosis of primary intrarenal nonseminomatous germ cell tumor (NSGCT). The patient underwent four cycles of adjuvant bleomycin, etoposide, and cisplatin (BEP) chemotherapy; at 6 months of follow-up, he is fine. The objective of this case report is to underscore the importance of considering NSGCT as a potential rare differential diagnosis in cases of renal neoplasms and further plan for the management.

Abstract Image

Abstract Image

Abstract Image

肾脏原发性非肉芽肿性生殖细胞瘤:一种不常见的肾肿瘤
生殖细胞瘤(GCT)是一种典型的儿童肿瘤,通常起源于睾丸或卵巢。虽然有报道称生殖细胞瘤发生在睾丸外的不同部位,但原发性肾内生殖细胞瘤却异常罕见。我们接诊了一例因右上腹疼痛就诊的 37 岁男性患者。影像学检查发现右肾内有一个相当大的肿块。患者接受了肾肿块手术切除,术中发现肾周浸润至十二指肠,周围出现致密的去瘤反应。随后的组织病理学确诊为原发性肾内非肉芽肿性生殖细胞瘤(NSGCT)。患者接受了四个周期的博莱霉素、依托泊苷和顺铂(BEP)辅助化疗。本病例报告旨在强调将 NSGCT 作为肾肿瘤病例中潜在的罕见鉴别诊断的重要性,并进一步规划治疗方案。
本文章由计算机程序翻译,如有差异,请以英文原文为准。
求助全文
约1分钟内获得全文 求助全文
来源期刊
自引率
6.20%
发文量
22
审稿时长
4 weeks
×
引用
GB/T 7714-2015
复制
MLA
复制
APA
复制
导出至
BibTeX EndNote RefMan NoteFirst NoteExpress
×
提示
您的信息不完整,为了账户安全,请先补充。
现在去补充
×
提示
您因"违规操作"
具体请查看互助需知
我知道了
×
提示
确定
请完成安全验证×
copy
已复制链接
快去分享给好友吧!
我知道了
右上角分享
点击右上角分享
0
联系我们:info@booksci.cn Book学术提供免费学术资源搜索服务,方便国内外学者检索中英文文献。致力于提供最便捷和优质的服务体验。 Copyright © 2023 布克学术 All rights reserved.
京ICP备2023020795号-1
ghs 京公网安备 11010802042870号
Book学术文献互助
Book学术文献互助群
群 号:604180095
Book学术官方微信