Multidisciplinary Treatment for Breast Cancer-related Multiple Bone Metastases during Pregnancy Using Bone Metastasis Cancer Boards: A Case Report.

IF 1.5
Progress in rehabilitation medicine Pub Date : 2024-10-02 eCollection Date: 2024-01-01 DOI:10.2490/prm.20240032
Ryoga Kashima, Ryo Yoshikawa, Wataru Saho, Ken Nakamura, Yuzo Tsuda, Risa Harada, Daisuke Tatebayashi, Ryoko Sawada, Tomonari Kunihisa, Yoshitada Sakai
{"title":"Multidisciplinary Treatment for Breast Cancer-related Multiple Bone Metastases during Pregnancy Using Bone Metastasis Cancer Boards: A Case Report.","authors":"Ryoga Kashima, Ryo Yoshikawa, Wataru Saho, Ken Nakamura, Yuzo Tsuda, Risa Harada, Daisuke Tatebayashi, Ryoko Sawada, Tomonari Kunihisa, Yoshitada Sakai","doi":"10.2490/prm.20240032","DOIUrl":null,"url":null,"abstract":"<p><strong>Background: </strong>In patients vulnerable to skeletal-related events (SREs), a multidisciplinary approach is required to manage risk and determine the best treatment plan. We have used Bone Metastasis Cancer Boards (BMCBs) to deliver multidisciplinary treatments in our hospital since 2013. Here, we report a case in which we used BMCBs to coordinate multidisciplinary treatment for a pregnant patient with breast cancer and multiple bone metastases.</p><p><strong>Case: </strong>A 41-year-old pregnant woman was admitted to our hospital because low back pain compromised her ability to stand. She was diagnosed with breast cancer-associated multiple bone metastases. Our unit was consulted for rehabilitation therapy, for which we formed a BMCB. The treatment was integrated and performed according to the recommendations of the BMCB. The patient underwent a cesarean section to initiate primary tumor treatment. After evaluating the risk of SREs, we provided her with rehabilitation therapy. Wearing a plastic molded thoracolumbosacral orthosis, she was able to walk with a pick-up walker. The patient continued outpatient chemotherapy and cared for her infant without experiencing any significant adverse events.</p><p><strong>Discussion: </strong>In this case, we formed our BMCB to determine the treatment plan, which we used to support the patient's needs during childbirth and successfully improved her activities of daily living. BMCBs can contribute to preventing SREs and provide effective rehabilitation therapy for patients with bone metastases. We aspire to continually gather experience through our BMCBs and contribute to the establishment of evidence regarding the effectiveness of rehabilitation therapy for patients with bone metastases.</p>","PeriodicalId":74584,"journal":{"name":"Progress in rehabilitation medicine","volume":"9 ","pages":"20240032"},"PeriodicalIF":1.5000,"publicationDate":"2024-10-02","publicationTypes":"Journal Article","fieldsOfStudy":null,"isOpenAccess":false,"openAccessPdf":"https://www.ncbi.nlm.nih.gov/pmc/articles/PMC11443026/pdf/","citationCount":"0","resultStr":null,"platform":"Semanticscholar","paperid":null,"PeriodicalName":"Progress in rehabilitation medicine","FirstCategoryId":"1085","ListUrlMain":"https://doi.org/10.2490/prm.20240032","RegionNum":0,"RegionCategory":null,"ArticlePicture":[],"TitleCN":null,"AbstractTextCN":null,"PMCID":null,"EPubDate":"2024/1/1 0:00:00","PubModel":"eCollection","JCR":"","JCRName":"","Score":null,"Total":0}
引用次数: 0

Abstract

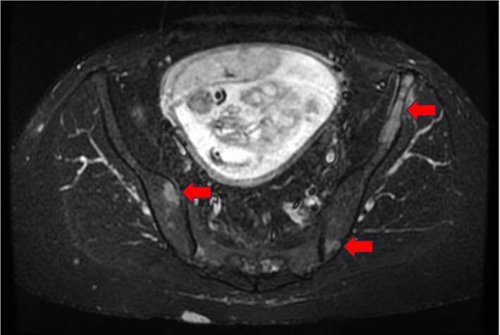
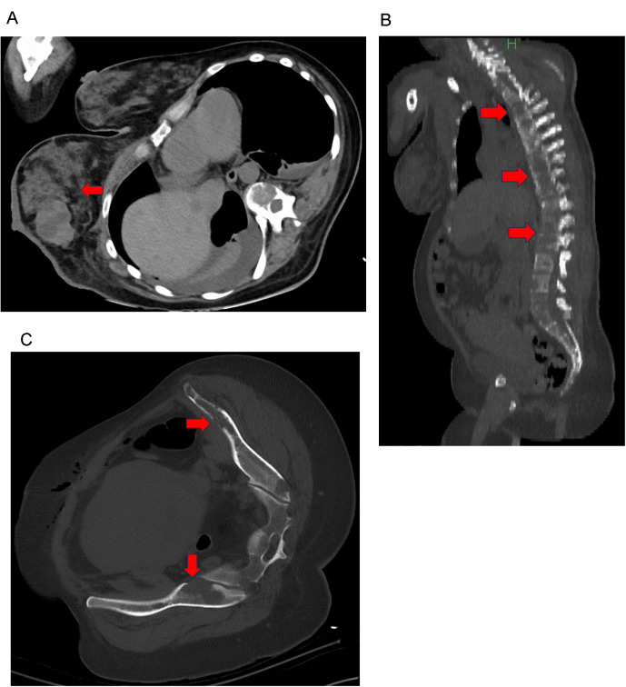
Background: In patients vulnerable to skeletal-related events (SREs), a multidisciplinary approach is required to manage risk and determine the best treatment plan. We have used Bone Metastasis Cancer Boards (BMCBs) to deliver multidisciplinary treatments in our hospital since 2013. Here, we report a case in which we used BMCBs to coordinate multidisciplinary treatment for a pregnant patient with breast cancer and multiple bone metastases.

Case: A 41-year-old pregnant woman was admitted to our hospital because low back pain compromised her ability to stand. She was diagnosed with breast cancer-associated multiple bone metastases. Our unit was consulted for rehabilitation therapy, for which we formed a BMCB. The treatment was integrated and performed according to the recommendations of the BMCB. The patient underwent a cesarean section to initiate primary tumor treatment. After evaluating the risk of SREs, we provided her with rehabilitation therapy. Wearing a plastic molded thoracolumbosacral orthosis, she was able to walk with a pick-up walker. The patient continued outpatient chemotherapy and cared for her infant without experiencing any significant adverse events.

Discussion: In this case, we formed our BMCB to determine the treatment plan, which we used to support the patient's needs during childbirth and successfully improved her activities of daily living. BMCBs can contribute to preventing SREs and provide effective rehabilitation therapy for patients with bone metastases. We aspire to continually gather experience through our BMCBs and contribute to the establishment of evidence regarding the effectiveness of rehabilitation therapy for patients with bone metastases.

Abstract Image

Abstract Image

Abstract Image

利用骨转移癌委员会对妊娠期乳腺癌相关多发性骨转移瘤进行多学科治疗:病例报告。
背景:对于容易发生骨骼相关事件(SRE)的患者,需要采用多学科方法来管理风险并确定最佳治疗方案。自 2013 年起,我们医院开始使用骨转移癌委员会(BMCB)提供多学科治疗。在此,我们报告一例利用骨转移癌委员会协调多学科治疗的病例,患者为一名患有乳腺癌和多发性骨转移的孕妇:一名 41 岁的孕妇因腰背疼痛影响站立能力而入住我院。她被诊断为乳腺癌相关多发性骨转移。我科接受了康复治疗咨询,并为此成立了 BMCB。根据 BMCB 的建议进行了综合治疗。患者接受了剖腹产手术,以启动原发性肿瘤治疗。在评估了 SRE 的风险后,我们为她提供了康复治疗。佩戴塑料成型的胸腰骶部矫形器后,她可以使用助行器行走。患者继续接受门诊化疗并照顾婴儿,未发生任何重大不良事件:在这个病例中,我们组建了BMCB来确定治疗方案,并以此来支持患者在分娩期间的需求,成功地改善了她的日常生活活动。BMCB 可以预防 SRE,并为骨转移患者提供有效的康复治疗。我们希望通过我们的 BMCB 不断积累经验,为建立骨转移患者康复治疗有效性的证据做出贡献。
本文章由计算机程序翻译,如有差异,请以英文原文为准。
求助全文
约1分钟内获得全文 求助全文
来源期刊
自引率
0.00%
发文量
0
×
引用
GB/T 7714-2015
复制
MLA
复制
APA
复制
导出至
BibTeX EndNote RefMan NoteFirst NoteExpress
×
提示
您的信息不完整,为了账户安全,请先补充。
现在去补充
×
提示
您因"违规操作"
具体请查看互助需知
我知道了
×
提示
确定
请完成安全验证×
copy
已复制链接
快去分享给好友吧!
我知道了
右上角分享
点击右上角分享
0
联系我们:info@booksci.cn Book学术提供免费学术资源搜索服务,方便国内外学者检索中英文文献。致力于提供最便捷和优质的服务体验。 Copyright © 2023 布克学术 All rights reserved.
京ICP备2023020795号-1
ghs 京公网安备 11010802042870号
Book学术文献互助
Book学术文献互助群
群 号:604180095
Book学术官方微信