Cecal internal hernia through Winslow's hiatus.

Q3 Medicine
Martin Chrabalowski, Priscila Begue, Franco Corvatta
{"title":"Cecal internal hernia through Winslow's hiatus.","authors":"Martin Chrabalowski, Priscila Begue, Franco Corvatta","doi":"10.31053/1853.0605.v81.n3.44555","DOIUrl":null,"url":null,"abstract":"<p><strong>Background: </strong>Hernia through Winslow's hiatus, known as Blandin's hernia, a rare but potentially life-threatening condition, represents a diagnostic and therapeutic challenge. This case report describes a successful laparoscopic approach to a cecum hernia through the foramen of Winslow in a 63-year-old female.</p><p><strong>Case presentation: </strong>The patient presented with 24 hours of abdominal pain and nausea. Abdominal CT scan revealed a herniated cecum and terminal ileum compressing the gastric chamber and portal vein, leading to periportal edema. Laparoscopic right colectomy was performed after successful colon content evacuation via the greater gastric curvature to facilitate reduction. This was done to aid in reduction, as there were indications of non-viability in the right colon. The procedure unfolded without complications. The patient developed postoperative abdominal collections requiring percutaneous drainage but recovered well and was discharged within two weeks.</p><p><strong>Conclusion: </strong>This case highlights the value of laparoscopy in managing foramen of Winslow hernias, offering minimally invasive benefits. Early diagnosis through imaging tools like CT is crucial for prompt surgical intervention and preventing complications like intestinal ischemia or perforation.</p>","PeriodicalId":38814,"journal":{"name":"Revista de la Facultad de Ciencias Medicas de Cordoba","volume":"81 3","pages":"587-597"},"PeriodicalIF":0.0000,"publicationDate":"2024-09-27","publicationTypes":"Journal Article","fieldsOfStudy":null,"isOpenAccess":false,"openAccessPdf":"https://www.ncbi.nlm.nih.gov/pmc/articles/PMC11536814/pdf/","citationCount":"0","resultStr":null,"platform":"Semanticscholar","paperid":null,"PeriodicalName":"Revista de la Facultad de Ciencias Medicas de Cordoba","FirstCategoryId":"1085","ListUrlMain":"https://doi.org/10.31053/1853.0605.v81.n3.44555","RegionNum":0,"RegionCategory":null,"ArticlePicture":[],"TitleCN":null,"AbstractTextCN":null,"PMCID":null,"EPubDate":"","PubModel":"","JCR":"Q3","JCRName":"Medicine","Score":null,"Total":0}
引用次数: 0

Abstract

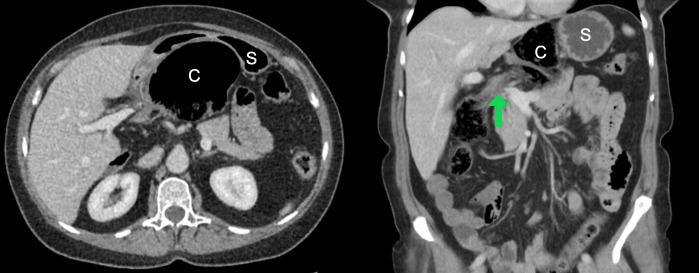
Background: Hernia through Winslow's hiatus, known as Blandin's hernia, a rare but potentially life-threatening condition, represents a diagnostic and therapeutic challenge. This case report describes a successful laparoscopic approach to a cecum hernia through the foramen of Winslow in a 63-year-old female.

Case presentation: The patient presented with 24 hours of abdominal pain and nausea. Abdominal CT scan revealed a herniated cecum and terminal ileum compressing the gastric chamber and portal vein, leading to periportal edema. Laparoscopic right colectomy was performed after successful colon content evacuation via the greater gastric curvature to facilitate reduction. This was done to aid in reduction, as there were indications of non-viability in the right colon. The procedure unfolded without complications. The patient developed postoperative abdominal collections requiring percutaneous drainage but recovered well and was discharged within two weeks.

Conclusion: This case highlights the value of laparoscopy in managing foramen of Winslow hernias, offering minimally invasive benefits. Early diagnosis through imaging tools like CT is crucial for prompt surgical intervention and preventing complications like intestinal ischemia or perforation.

Abstract Image

Abstract Image

通过温斯洛裂孔的盲肠内疝。
背景:通过温斯洛(Winslow)裂孔的疝气被称为布兰登疝,是一种罕见但可能危及生命的疾病,是诊断和治疗方面的难题。本病例报告描述了对一名 63 岁女性通过温斯洛裂孔的盲肠疝进行腹腔镜手术的成功案例:患者因腹痛和恶心 24 小时前来就诊。腹部 CT 扫描显示,疝出的盲肠和回肠末端压迫胃腔和门静脉,导致门静脉周围水肿。在通过胃大弯成功排出结肠内容物后,进行了腹腔镜右结肠切除术,以便缩小结肠。这样做是为了帮助缩小,因为有迹象表明右结肠无法存活。手术顺利进行,未出现并发症。患者术后出现腹腔积液,需要经皮引流,但恢复良好,两周内出院:本病例凸显了腹腔镜在治疗温斯洛疝孔方面的价值,它具有微创优势。通过 CT 等成像工具进行早期诊断对于及时手术干预和预防肠缺血或穿孔等并发症至关重要。
本文章由计算机程序翻译,如有差异,请以英文原文为准。
求助全文
约1分钟内获得全文 求助全文
来源期刊
CiteScore
1.60
自引率
0.00%
发文量
60
审稿时长
20 weeks
期刊介绍: The Journal of the Faculty of Medical Sciences is a scientific publication of the Secretariat of Science and Technology of the Faculty of Medical Sciences of the National University of Cordoba. Its objective is to disseminate and promote research work related to Medical and Biological Sciences. It publishes scientific works of national and international professionals on different topics related to health sciences from the field of medicine, nursing, kinesiology, diagnostic imaging, phonoaudiology, nutrition, public health, chemical sciences, dentistry and related.
×
引用
GB/T 7714-2015
复制
MLA
复制
APA
复制
导出至
BibTeX EndNote RefMan NoteFirst NoteExpress
×
提示
您的信息不完整,为了账户安全,请先补充。
现在去补充
×
提示
您因"违规操作"
具体请查看互助需知
我知道了
×
提示
确定
请完成安全验证×
copy
已复制链接
快去分享给好友吧!
我知道了
右上角分享
点击右上角分享
0
联系我们:info@booksci.cn Book学术提供免费学术资源搜索服务,方便国内外学者检索中英文文献。致力于提供最便捷和优质的服务体验。 Copyright © 2023 布克学术 All rights reserved.
京ICP备2023020795号-1
ghs 京公网安备 11010802042870号
Book学术文献互助
Book学术文献互助群
群 号:604180095
Book学术官方微信