[Acute porphyria as a rare etiology of PRES]

Q3 Medicine
Juan Ramon Y Cajal Calvo, David Lopez Negredo, Javier Raymundez Valhondo, Laura Perez Abad
{"title":"[Acute porphyria as a rare etiology of PRES]","authors":"Juan Ramon Y Cajal Calvo, David Lopez Negredo, Javier Raymundez Valhondo, Laura Perez Abad","doi":"10.31053/1853.0605.v81.n3.44767","DOIUrl":null,"url":null,"abstract":"<p><strong>Introduction: </strong>porphyria is a rare condition in which heme metabolism is altered.</p><p><strong>Clinical case: </strong>29-year-old young man who goes to the emergency room with abdominal pain, vomiting and seizures. To determine the underlying cause, a brain computed tomography (CT) and magnetic resonance imaging (MRI) were performed, confirming the presence of involvement at the parieto-occipital level. Laboratory and urine tests are positive for porphyria, with improvement and resolution of the condition through targeted treatment.</p><p><strong>Discussion: </strong>Porphyrias are rare metabolic disorders with dominant autonomic inheritance that affect heme biosynthesis. In a minority of cases, an external factor can trigger a crisis producing abdominal and neurological symptoms. Imaging findings in acute porphyria are characteristic of PRES (posterior reversible encephalopathy syndrome), with cortico-subcortical involvement.</p><p><strong>Conclusion: </strong>Although it is an uncommon etiology in typical PRES imaging, acute porphyria attacks should be suspected in young patients with seizure attacks without hypertension and associated abdominal pain.</p>","PeriodicalId":38814,"journal":{"name":"Revista de la Facultad de Ciencias Medicas de Cordoba","volume":"81 3","pages":"598-607"},"PeriodicalIF":0.0000,"publicationDate":"2024-09-27","publicationTypes":"Journal Article","fieldsOfStudy":null,"isOpenAccess":false,"openAccessPdf":"https://www.ncbi.nlm.nih.gov/pmc/articles/PMC11536817/pdf/","citationCount":"0","resultStr":null,"platform":"Semanticscholar","paperid":null,"PeriodicalName":"Revista de la Facultad de Ciencias Medicas de Cordoba","FirstCategoryId":"1085","ListUrlMain":"https://doi.org/10.31053/1853.0605.v81.n3.44767","RegionNum":0,"RegionCategory":null,"ArticlePicture":[],"TitleCN":null,"AbstractTextCN":null,"PMCID":null,"EPubDate":"","PubModel":"","JCR":"Q3","JCRName":"Medicine","Score":null,"Total":0}
引用次数: 0

Abstract

Introduction: porphyria is a rare condition in which heme metabolism is altered.

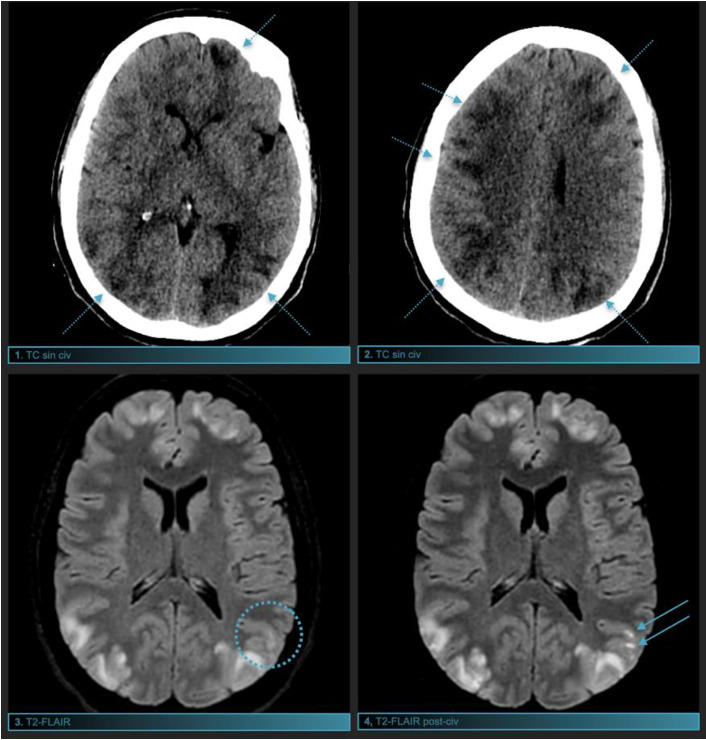
Clinical case: 29-year-old young man who goes to the emergency room with abdominal pain, vomiting and seizures. To determine the underlying cause, a brain computed tomography (CT) and magnetic resonance imaging (MRI) were performed, confirming the presence of involvement at the parieto-occipital level. Laboratory and urine tests are positive for porphyria, with improvement and resolution of the condition through targeted treatment.

Discussion: Porphyrias are rare metabolic disorders with dominant autonomic inheritance that affect heme biosynthesis. In a minority of cases, an external factor can trigger a crisis producing abdominal and neurological symptoms. Imaging findings in acute porphyria are characteristic of PRES (posterior reversible encephalopathy syndrome), with cortico-subcortical involvement.

Conclusion: Although it is an uncommon etiology in typical PRES imaging, acute porphyria attacks should be suspected in young patients with seizure attacks without hypertension and associated abdominal pain.

Abstract Image

[急性卟啉症是 PRES 的罕见病因]
导读:卟啉症是一种罕见的血红素代谢改变的疾病。临床病例:29 岁的年轻男子因腹痛、呕吐和癫痫发作前往急诊室就诊。为了确定病因,他接受了脑部计算机断层扫描(CT)和磁共振成像(MRI)检查,结果证实顶枕部受累。实验室和尿液检查均呈卟啉症阳性,通过针对性治疗,病情得到改善和缓解:卟啉症是一种罕见的代谢性疾病,具有显性自主遗传性,影响血红素的生物合成。在少数病例中,外部因素可引发危象,产生腹部和神经系统症状。急性卟啉症的影像学检查结果具有后可逆性脑病综合征(PRES)的特征,皮质-皮质下受累:结论:虽然在典型的 PRES 影像中,急性卟啉症是一种不常见的病因,但如果年轻患者出现癫痫发作、无高血压并伴有腹痛,则应怀疑其为急性卟啉症。
本文章由计算机程序翻译,如有差异,请以英文原文为准。
求助全文
约1分钟内获得全文 求助全文
来源期刊
CiteScore
1.60
自引率
0.00%
发文量
60
审稿时长
20 weeks
期刊介绍: The Journal of the Faculty of Medical Sciences is a scientific publication of the Secretariat of Science and Technology of the Faculty of Medical Sciences of the National University of Cordoba. Its objective is to disseminate and promote research work related to Medical and Biological Sciences. It publishes scientific works of national and international professionals on different topics related to health sciences from the field of medicine, nursing, kinesiology, diagnostic imaging, phonoaudiology, nutrition, public health, chemical sciences, dentistry and related.
×
引用
GB/T 7714-2015
复制
MLA
复制
APA
复制
导出至
BibTeX EndNote RefMan NoteFirst NoteExpress
×
提示
您的信息不完整,为了账户安全,请先补充。
现在去补充
×
提示
您因"违规操作"
具体请查看互助需知
我知道了
×
提示
确定
请完成安全验证×
copy
已复制链接
快去分享给好友吧!
我知道了
右上角分享
点击右上角分享
0
联系我们:info@booksci.cn Book学术提供免费学术资源搜索服务,方便国内外学者检索中英文文献。致力于提供最便捷和优质的服务体验。 Copyright © 2023 布克学术 All rights reserved.
京ICP备2023020795号-1
ghs 京公网安备 11010802042870号
Book学术文献互助
Book学术文献互助群
群 号:604180095
Book学术官方微信