Diagnosis and Management of a Patient With Chronic Lymphocytic Leukemia and a Concurrent Plasmacytoma.

IF 0.6 Q4 ONCOLOGY
Case Reports in Oncological Medicine Pub Date : 2024-09-24 eCollection Date: 2024-01-01 DOI:10.1155/2024/8870681
Danielle C Thor, Rohan Umrani, Jack Bergal, Charles Yang, Richard Gordon
{"title":"Diagnosis and Management of a Patient With Chronic Lymphocytic Leukemia and a Concurrent Plasmacytoma.","authors":"Danielle C Thor, Rohan Umrani, Jack Bergal, Charles Yang, Richard Gordon","doi":"10.1155/2024/8870681","DOIUrl":null,"url":null,"abstract":"<p><p>Chronic lymphocytic leukemia (CLL) typically presents as an indolent disease with a benign disposition in most patients. In select patients, CLL can progress into a more aggressive disease via its original morphology, following a Richter transformation to an alternative non-Hodgkin's lymphoma, or with the concomitant development of multiple myeloma. In an extremely rare subset of individuals with CLL, an extramedullary plasmacytoma may coexist. This case report seeks to describe the diagnosis and treatment of a patient with concurrent CLL and a plasmacytoma.</p>","PeriodicalId":9636,"journal":{"name":"Case Reports in Oncological Medicine","volume":"2024 ","pages":"8870681"},"PeriodicalIF":0.6000,"publicationDate":"2024-09-24","publicationTypes":"Journal Article","fieldsOfStudy":null,"isOpenAccess":false,"openAccessPdf":"https://www.ncbi.nlm.nih.gov/pmc/articles/PMC11444798/pdf/","citationCount":"0","resultStr":null,"platform":"Semanticscholar","paperid":null,"PeriodicalName":"Case Reports in Oncological Medicine","FirstCategoryId":"1085","ListUrlMain":"https://doi.org/10.1155/2024/8870681","RegionNum":0,"RegionCategory":null,"ArticlePicture":[],"TitleCN":null,"AbstractTextCN":null,"PMCID":null,"EPubDate":"2024/1/1 0:00:00","PubModel":"eCollection","JCR":"Q4","JCRName":"ONCOLOGY","Score":null,"Total":0}
引用次数: 0

Abstract

Chronic lymphocytic leukemia (CLL) typically presents as an indolent disease with a benign disposition in most patients. In select patients, CLL can progress into a more aggressive disease via its original morphology, following a Richter transformation to an alternative non-Hodgkin's lymphoma, or with the concomitant development of multiple myeloma. In an extremely rare subset of individuals with CLL, an extramedullary plasmacytoma may coexist. This case report seeks to describe the diagnosis and treatment of a patient with concurrent CLL and a plasmacytoma.

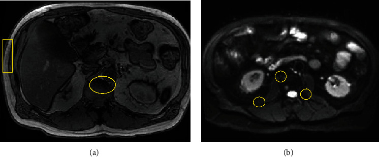
Abstract Image

慢性淋巴细胞白血病和浆细胞瘤并发症患者的诊断和治疗。
慢性淋巴细胞白血病(CLL)在大多数患者中通常表现为一种症状不明显的良性疾病。某些患者的慢性淋巴细胞白血病可能会通过其原始形态发展为更具侵袭性的疾病,或在里氏转化为另一种非霍奇金淋巴瘤后发展为慢性淋巴细胞白血病,或同时发展为多发性骨髓瘤。在 CLL 患者中,极少数人可能同时患有髓外浆细胞瘤。本病例报告旨在描述一名同时患有CLL和浆细胞瘤的患者的诊断和治疗情况。
本文章由计算机程序翻译,如有差异,请以英文原文为准。
求助全文
约1分钟内获得全文 求助全文
来源期刊
自引率
0.00%
发文量
11
审稿时长
16 weeks
期刊介绍: Case Reports in Oncological Medicine is a peer-reviewed, Open Access journal that publishes case reports and case series related to breast cancer, lung cancer, gastrointestinal cancer, skin cancer, head and neck cancer, paediatric oncology, neurooncology as well as genitourinary cancer.
×
引用
GB/T 7714-2015
复制
MLA
复制
APA
复制
导出至
BibTeX EndNote RefMan NoteFirst NoteExpress
×
提示
您的信息不完整,为了账户安全,请先补充。
现在去补充
×
提示
您因"违规操作"
具体请查看互助需知
我知道了
×
提示
确定
请完成安全验证×
copy
已复制链接
快去分享给好友吧!
我知道了
右上角分享
点击右上角分享
0
联系我们:info@booksci.cn Book学术提供免费学术资源搜索服务,方便国内外学者检索中英文文献。致力于提供最便捷和优质的服务体验。 Copyright © 2023 布克学术 All rights reserved.
京ICP备2023020795号-1
ghs 京公网安备 11010802042870号
Book学术文献互助
Book学术文献互助群
群 号:604180095
Book学术官方微信