Investigating the Correlation Between Long-Term Response in Patients with Metastatic HER2+ Breast Cancer and the Activity of Regulatory T Cells: A Retrospective Study.

IF 3.4 4区 医学 Q2 ONCOLOGY
Breast Cancer : Targets and Therapy Pub Date : 2024-09-27 eCollection Date: 2024-01-01 DOI:10.2147/BCTT.S470570
Mustafa Degirmenci, Gulden Diniz, Dudu Solakoglu Kahraman, Mustafa Sahbazlar, Lokman Koral, Umut Varol, Ruchan Uslu
{"title":"Investigating the Correlation Between Long-Term Response in Patients with Metastatic HER2+ Breast Cancer and the Activity of Regulatory T Cells: A Retrospective Study.","authors":"Mustafa Degirmenci, Gulden Diniz, Dudu Solakoglu Kahraman, Mustafa Sahbazlar, Lokman Koral, Umut Varol, Ruchan Uslu","doi":"10.2147/BCTT.S470570","DOIUrl":null,"url":null,"abstract":"<p><strong>Background: </strong>Trastuzumab is commonly utilized in the management of metastatic HER2-positive breast cancer. Our main goal was to examine the clinical outcomes and immune markers of patients who received trastuzumab and chemotherapy treatment.</p><p><strong>Methods: </strong>Between 1995 and 2012, a total of 98 patients diagnosed with metastatic HER2-positive breast cancer were retrospectively analyzed at Ege University Hospital and Tepecik Training and Research Hospital. The clinicopathological characteristics and clinical outcomes of the patients were assessed, and the associations between response rates, survival and the immune profiles of tumor infiltrating lymphocytes were statistically evaluated.</p><p><strong>Results: </strong>The average age of patients at the time of diagnosis was 50.1±10.3 (ranging from 30 to 79) years. The mean follow-up period for all patients was 97.9±53.8 months. Among the patients, complete response was observed in 24.5%, partial response in 61.2%, and stable disease in 8.2% of cases. The average progression-free survival was 50.3±26.9 months (ranging from 1 to 163 months), and the average overall survival was 88.8±59.4 months (ranging from 12 to 272 months). After analyzing all cases, it was found that patients who were younger (p=0.006), exhibited higher CD3-positivity (p=0.041), presented with higher FOXP3-positivity (p=0.025), showed complete or at least partial response to treatment (p=0.008), and experienced a long-term response to trastuzumab (and chemotherapy) treatment had longer survival (p=0.001).</p><p><strong>Conclusion: </strong>Patients with HER2-positive breast cancer, who initially respond positively to palliative trastuzumab and chemotherapy treatment, can achieve long-term tumor remission lasting for several years.</p>","PeriodicalId":9106,"journal":{"name":"Breast Cancer : Targets and Therapy","volume":"16 ","pages":"645-655"},"PeriodicalIF":3.4000,"publicationDate":"2024-09-27","publicationTypes":"Journal Article","fieldsOfStudy":null,"isOpenAccess":false,"openAccessPdf":"https://www.ncbi.nlm.nih.gov/pmc/articles/PMC11444060/pdf/","citationCount":"0","resultStr":null,"platform":"Semanticscholar","paperid":null,"PeriodicalName":"Breast Cancer : Targets and Therapy","FirstCategoryId":"3","ListUrlMain":"https://doi.org/10.2147/BCTT.S470570","RegionNum":4,"RegionCategory":"医学","ArticlePicture":[],"TitleCN":null,"AbstractTextCN":null,"PMCID":null,"EPubDate":"2024/1/1 0:00:00","PubModel":"eCollection","JCR":"Q2","JCRName":"ONCOLOGY","Score":null,"Total":0}
引用次数: 0

Abstract

Background: Trastuzumab is commonly utilized in the management of metastatic HER2-positive breast cancer. Our main goal was to examine the clinical outcomes and immune markers of patients who received trastuzumab and chemotherapy treatment.

Methods: Between 1995 and 2012, a total of 98 patients diagnosed with metastatic HER2-positive breast cancer were retrospectively analyzed at Ege University Hospital and Tepecik Training and Research Hospital. The clinicopathological characteristics and clinical outcomes of the patients were assessed, and the associations between response rates, survival and the immune profiles of tumor infiltrating lymphocytes were statistically evaluated.

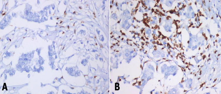
Results: The average age of patients at the time of diagnosis was 50.1±10.3 (ranging from 30 to 79) years. The mean follow-up period for all patients was 97.9±53.8 months. Among the patients, complete response was observed in 24.5%, partial response in 61.2%, and stable disease in 8.2% of cases. The average progression-free survival was 50.3±26.9 months (ranging from 1 to 163 months), and the average overall survival was 88.8±59.4 months (ranging from 12 to 272 months). After analyzing all cases, it was found that patients who were younger (p=0.006), exhibited higher CD3-positivity (p=0.041), presented with higher FOXP3-positivity (p=0.025), showed complete or at least partial response to treatment (p=0.008), and experienced a long-term response to trastuzumab (and chemotherapy) treatment had longer survival (p=0.001).

Conclusion: Patients with HER2-positive breast cancer, who initially respond positively to palliative trastuzumab and chemotherapy treatment, can achieve long-term tumor remission lasting for several years.

Abstract Image

Abstract Image

Abstract Image

调查转移性 HER2+ 乳腺癌患者的长期反应与调节性 T 细胞活性之间的相关性:一项回顾性研究
背景:曲妥珠单抗是治疗转移性 HER2 阳性乳腺癌的常用药物:曲妥珠单抗是治疗转移性HER2阳性乳腺癌的常用药物。我们的主要目的是研究接受曲妥珠单抗和化疗的患者的临床疗效和免疫指标:1995年至2012年期间,埃格大学医院和泰佩契克培训与研究医院共对98名确诊为转移性HER2阳性乳腺癌的患者进行了回顾性分析。对患者的临床病理特征和临床结果进行了评估,并对反应率、生存期和肿瘤浸润淋巴细胞的免疫特征之间的关联进行了统计评估:患者确诊时的平均年龄为(50.1±10.3)岁(30 至 79 岁不等)。所有患者的平均随访时间为(97.9±53.8)个月。其中,24.5%的患者有完全应答,61.2%的患者有部分应答,8.2%的患者病情稳定。平均无进展生存期为(50.3±26.9)个月(1至163个月),平均总生存期为(88.8±59.4)个月(12至272个月)。对所有病例进行分析后发现,年龄较小(p=0.006)、CD3阳性率较高(p=0.041)、FOXP3阳性率较高(p=0.025)、对治疗有完全或至少部分反应(p=0.008)、对曲妥珠单抗(和化疗)治疗有长期反应的患者生存期较长(p=0.001):结论:HER2阳性乳腺癌患者如果对曲妥珠单抗和化疗的姑息治疗最初反应积极,则可获得持续数年的长期肿瘤缓解。
本文章由计算机程序翻译,如有差异,请以英文原文为准。
求助全文
约1分钟内获得全文 求助全文
来源期刊
CiteScore
4.10
自引率
0.00%
发文量
40
审稿时长
16 weeks
×
引用
GB/T 7714-2015
复制
MLA
复制
APA
复制
导出至
BibTeX EndNote RefMan NoteFirst NoteExpress
×
提示
您的信息不完整,为了账户安全,请先补充。
现在去补充
×
提示
您因"违规操作"
具体请查看互助需知
我知道了
×
提示
确定
请完成安全验证×
copy
已复制链接
快去分享给好友吧!
我知道了
右上角分享
点击右上角分享
0
联系我们:info@booksci.cn Book学术提供免费学术资源搜索服务,方便国内外学者检索中英文文献。致力于提供最便捷和优质的服务体验。 Copyright © 2023 布克学术 All rights reserved.
京ICP备2023020795号-1
ghs 京公网安备 11010802042870号
Book学术文献互助
Book学术文献互助群
群 号:604180095
Book学术官方微信