Evaluation of Maxillary Protraction Using a Mini Screw-Retained Palatal C-Shaped Plate and Face Mask.

IF 1.4 Q4 DENTISTRY, ORAL SURGERY & MEDICINE
Mohamed Abdallah Elsaharty, Safaa Ali Ghobashi, Eman El-Shorbagy
{"title":"Evaluation of Maxillary Protraction Using a Mini Screw-Retained Palatal C-Shaped Plate and Face Mask.","authors":"Mohamed Abdallah Elsaharty, Safaa Ali Ghobashi, Eman El-Shorbagy","doi":"10.4274/TurkJOrthod.2023.2022.63","DOIUrl":null,"url":null,"abstract":"<p><strong>Objective: </strong>To evaluate a newly designed minimally invasive palatal-plate face mask combination for the management of developing Class III malocclusion due to maxillary deficiency.</p><p><strong>Methods: </strong>A sample of 16 Class III patients due to maxillary deficiency in the early mixed dentition (8 boys and 8 girls) aged between 7 and 9 years participated in this study and were treated with a combination of palatal plate face masks. Extra-oral elastics were attached between the intra-oral and extra-oral appliances; the elastics were set at 30° to the occlusal plane. The force magnitude was 250-300 g per quadrant. Cephalometric radiographs were taken before and immediately after maxillary protraction. In addition, skeletal measurements were measured, tabulated, and statistically analyzed. The pre- and post-protraction measurements were compared using the Student's t-test, and the significance level was set at a p-value <0.05.</p><p><strong>Results: </strong>A statistically significant increase in SNA angle and maxillary length was observed by 3.13±1.52 degrees and 2.60±0.75 mm (p<0.05), respectively, indicating forward maxillary growth. The skeletal and soft tissue patterns were also improved, as evidenced by the statistically significant increase in the ANB angle, Wits appraisal, and H angle by 4.50±1.28 degrees, 5.30±1.86 mm, and 5.02±3.24 degrees (p<0.05), respectively. A favorable clockwise mandibular rotation was observed as evidenced by the increase in the SN/MP angle and the decrease in the SNB angle by 1.46±1.96 degrees and -1.38±1.86 degrees (p<0.05), respectively.</p><p><strong>Conclusion: </strong>The palatal-plate facemask combination is an effective treatment alternative for Class III malocclusion due to maxillary deficiency with minimal pain and discomfort.</p>","PeriodicalId":37013,"journal":{"name":"Turkish Journal of Orthodontics","volume":"37 3","pages":"146-152"},"PeriodicalIF":1.4000,"publicationDate":"2024-09-30","publicationTypes":"Journal Article","fieldsOfStudy":null,"isOpenAccess":false,"openAccessPdf":"https://www.ncbi.nlm.nih.gov/pmc/articles/PMC11589173/pdf/","citationCount":"0","resultStr":null,"platform":"Semanticscholar","paperid":null,"PeriodicalName":"Turkish Journal of Orthodontics","FirstCategoryId":"1085","ListUrlMain":"https://doi.org/10.4274/TurkJOrthod.2023.2022.63","RegionNum":0,"RegionCategory":null,"ArticlePicture":[],"TitleCN":null,"AbstractTextCN":null,"PMCID":null,"EPubDate":"","PubModel":"","JCR":"Q4","JCRName":"DENTISTRY, ORAL SURGERY & MEDICINE","Score":null,"Total":0}
引用次数: 0

Abstract

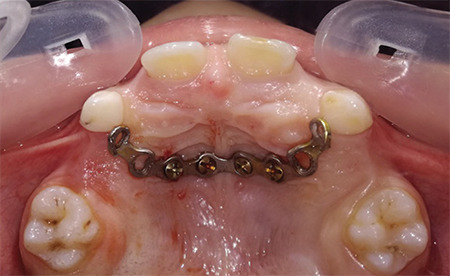
Objective: To evaluate a newly designed minimally invasive palatal-plate face mask combination for the management of developing Class III malocclusion due to maxillary deficiency.

Methods: A sample of 16 Class III patients due to maxillary deficiency in the early mixed dentition (8 boys and 8 girls) aged between 7 and 9 years participated in this study and were treated with a combination of palatal plate face masks. Extra-oral elastics were attached between the intra-oral and extra-oral appliances; the elastics were set at 30° to the occlusal plane. The force magnitude was 250-300 g per quadrant. Cephalometric radiographs were taken before and immediately after maxillary protraction. In addition, skeletal measurements were measured, tabulated, and statistically analyzed. The pre- and post-protraction measurements were compared using the Student's t-test, and the significance level was set at a p-value <0.05.

Results: A statistically significant increase in SNA angle and maxillary length was observed by 3.13±1.52 degrees and 2.60±0.75 mm (p<0.05), respectively, indicating forward maxillary growth. The skeletal and soft tissue patterns were also improved, as evidenced by the statistically significant increase in the ANB angle, Wits appraisal, and H angle by 4.50±1.28 degrees, 5.30±1.86 mm, and 5.02±3.24 degrees (p<0.05), respectively. A favorable clockwise mandibular rotation was observed as evidenced by the increase in the SN/MP angle and the decrease in the SNB angle by 1.46±1.96 degrees and -1.38±1.86 degrees (p<0.05), respectively.

Conclusion: The palatal-plate facemask combination is an effective treatment alternative for Class III malocclusion due to maxillary deficiency with minimal pain and discomfort.

Abstract Image

Abstract Image

使用微型螺钉固定腭C形板和面罩评估上颌前突。
目的评估一种新设计的微创腭板面罩组合,用于治疗因上颌骨缺损导致的发育性III类错牙合畸形:方法:16 名年龄在 7 到 9 岁之间的混合牙列早期上颌缺损 III 类患者(8 名男孩和 8 名女孩)参与了这项研究,并接受了腭板组合面罩的治疗。口内矫治器和口外矫治器之间连接了口外矫治器;矫治器与咬合面成 30°。每个象限的压力为 250-300 克。在上颌前突之前和之后立即拍摄头颅X光片。此外,还对骨骼测量值进行了测量、制表和统计分析。采用学生 t 检验法比较牵引前和牵引后的测量结果,显著性水平设定为 p 值:SNA角和上颌长度分别增加了3.13±1.52度和2.60±0.75毫米(p),具有统计学意义:腭板面罩组合是上颌骨缺损导致的 III 类错牙合畸形的一种有效替代治疗方法,且疼痛和不适感极小。
本文章由计算机程序翻译,如有差异,请以英文原文为准。
求助全文
约1分钟内获得全文 求助全文
来源期刊
Turkish Journal of Orthodontics
Turkish Journal of Orthodontics Dentistry-Orthodontics
CiteScore
2.10
自引率
9.10%
发文量
34
×
引用
GB/T 7714-2015
复制
MLA
复制
APA
复制
导出至
BibTeX EndNote RefMan NoteFirst NoteExpress
×
提示
您的信息不完整,为了账户安全,请先补充。
现在去补充
×
提示
您因"违规操作"
具体请查看互助需知
我知道了
×
提示
确定
请完成安全验证×
copy
已复制链接
快去分享给好友吧!
我知道了
右上角分享
点击右上角分享
0
联系我们:info@booksci.cn Book学术提供免费学术资源搜索服务,方便国内外学者检索中英文文献。致力于提供最便捷和优质的服务体验。 Copyright © 2023 布克学术 All rights reserved.
京ICP备2023020795号-1
ghs 京公网安备 11010802042870号
Book学术文献互助
Book学术文献互助群
群 号:604180095
Book学术官方微信