Mechanisms that potentially contribute to the development of post-streptococcal glomerulonephritis.

IF 2.7 4区 医学 Q3 IMMUNOLOGY
Mohammad Raguib Munif, Robert A Hart, Rukshan A M Rafeek, Amali C Mallawaarachchi, Lyndal Anderson, David J McMillan, Kadaba S Sriprakash, Natkunam Ketheesan
{"title":"Mechanisms that potentially contribute to the development of post-streptococcal glomerulonephritis.","authors":"Mohammad Raguib Munif, Robert A Hart, Rukshan A M Rafeek, Amali C Mallawaarachchi, Lyndal Anderson, David J McMillan, Kadaba S Sriprakash, Natkunam Ketheesan","doi":"10.1093/femspd/ftae024","DOIUrl":null,"url":null,"abstract":"<p><p>Post-streptococcal glomerulonephritis (PSGN) is primarily associated with preceding group A streptococcal skin or throat infections, now mainly observed in economically disadvantaged communities. This condition significantly predisposes individuals to later-life chronic kidney disease and concurrent renal complications, with the elderly experiencing increased severity and less favourable outcomes. Streptococcal pyrogenic exotoxin B and nephritis-associated plasmin receptor are identified nephritogenic antigens (nephritogens). Pathogenesis of PSGN is multifactorial. It can involve the formation of antigen-antibody immune complexes, causing inflammatory damage to renal glomeruli. Deposition of circulating immune complexes or in situ formation of immune complexes in glomeruli, or both, results in glomerulonephritis. Additionally, molecular mimicry is hypothesized as a mechanism, wherein cross-reactivity between anti-streptococcal antibodies and glomerular intrinsic matrix proteins leads to glomerulonephritis. Besides, as observed in clinical studies, streptococcal inhibitor of complement, a streptococcal-secreted protein, can also be associated with PSGN. However, the interplay between these streptococcal antigens in the pathogenesis of PSGN necessitates further investigation. Despite the clinical significance of PSGN, the lack of credible animal models poses challenges in understanding the association between streptococcal antigens and the disease process. This review outlines the postulated mechanisms implicated in the development of PSGN with possible therapeutic approaches.</p>","PeriodicalId":19795,"journal":{"name":"Pathogens and disease","volume":" ","pages":""},"PeriodicalIF":2.7000,"publicationDate":"2024-02-07","publicationTypes":"Journal Article","fieldsOfStudy":null,"isOpenAccess":false,"openAccessPdf":"https://www.ncbi.nlm.nih.gov/pmc/articles/PMC11556339/pdf/","citationCount":"0","resultStr":null,"platform":"Semanticscholar","paperid":null,"PeriodicalName":"Pathogens and disease","FirstCategoryId":"3","ListUrlMain":"https://doi.org/10.1093/femspd/ftae024","RegionNum":4,"RegionCategory":"医学","ArticlePicture":[],"TitleCN":null,"AbstractTextCN":null,"PMCID":null,"EPubDate":"","PubModel":"","JCR":"Q3","JCRName":"IMMUNOLOGY","Score":null,"Total":0}
引用次数: 0

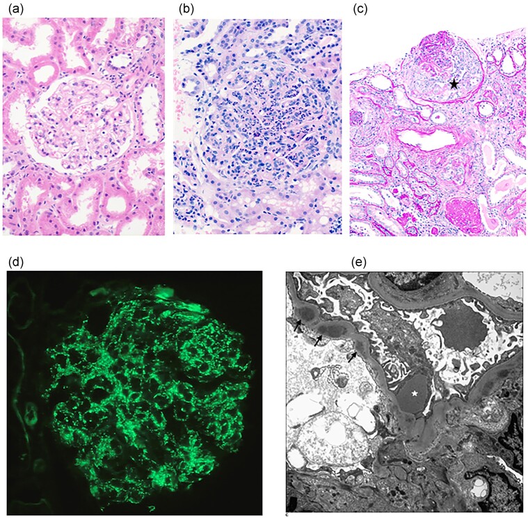
Abstract

Post-streptococcal glomerulonephritis (PSGN) is primarily associated with preceding group A streptococcal skin or throat infections, now mainly observed in economically disadvantaged communities. This condition significantly predisposes individuals to later-life chronic kidney disease and concurrent renal complications, with the elderly experiencing increased severity and less favourable outcomes. Streptococcal pyrogenic exotoxin B and nephritis-associated plasmin receptor are identified nephritogenic antigens (nephritogens). Pathogenesis of PSGN is multifactorial. It can involve the formation of antigen-antibody immune complexes, causing inflammatory damage to renal glomeruli. Deposition of circulating immune complexes or in situ formation of immune complexes in glomeruli, or both, results in glomerulonephritis. Additionally, molecular mimicry is hypothesized as a mechanism, wherein cross-reactivity between anti-streptococcal antibodies and glomerular intrinsic matrix proteins leads to glomerulonephritis. Besides, as observed in clinical studies, streptococcal inhibitor of complement, a streptococcal-secreted protein, can also be associated with PSGN. However, the interplay between these streptococcal antigens in the pathogenesis of PSGN necessitates further investigation. Despite the clinical significance of PSGN, the lack of credible animal models poses challenges in understanding the association between streptococcal antigens and the disease process. This review outlines the postulated mechanisms implicated in the development of PSGN with possible therapeutic approaches.

Abstract Image

Abstract Image

链球菌感染后肾小球肾炎的潜在发病机制。
链球菌感染后肾小球肾炎(PSGN)主要与之前的 A 组链球菌皮肤或咽喉感染有关,目前主要出现在经济条件较差的社区。这种疾病极易使患者在晚年患上慢性肾脏疾病并并发肾脏并发症,老年人的病情更为严重,治疗效果也更差。链球菌化脓性外毒素 B 和肾炎相关血浆蛋白受体是已确定的致肾炎抗原(肾炎原)。PSGN 的发病机制是多因素的。它可能涉及抗原-抗体免疫复合物的形成,对肾小球造成炎性损害。循环免疫复合物沉积或免疫复合物在肾小球原位形成,或两者兼而有之,都会导致肾小球肾炎。此外,分子模拟也被认为是一种机制,即抗链球菌抗体与肾小球固有基质蛋白之间的交叉反应导致肾小球肾炎。此外,正如临床研究观察到的那样,链球菌分泌的一种蛋白--链球菌补体抑制剂也可能与 PSGN 有关。然而,这些链球菌抗原在 PSGN 发病机制中的相互作用还需要进一步研究。尽管 PSGN 具有重要的临床意义,但由于缺乏可靠的动物模型,因此在理解链球菌抗原与疾病过程之间的关联方面存在挑战。本综述概述了 PSGN 发病的假定机制以及可能的治疗方法。
本文章由计算机程序翻译,如有差异,请以英文原文为准。
求助全文
约1分钟内获得全文 求助全文
来源期刊
Pathogens and disease
Pathogens and disease IMMUNOLOGY-INFECTIOUS DISEASES
CiteScore
7.40
自引率
3.00%
发文量
44
期刊介绍: Pathogens and Disease publishes outstanding primary research on hypothesis- and discovery-driven studies on pathogens, host-pathogen interactions, host response to infection and their molecular and cellular correlates. It covers all pathogens – eukaryotes, prokaryotes, and viruses – and includes zoonotic pathogens and experimental translational applications.
×
引用
GB/T 7714-2015
复制
MLA
复制
APA
复制
导出至
BibTeX EndNote RefMan NoteFirst NoteExpress
×
提示
您的信息不完整,为了账户安全,请先补充。
现在去补充
×
提示
您因"违规操作"
具体请查看互助需知
我知道了
×
提示
确定
请完成安全验证×
copy
已复制链接
快去分享给好友吧!
我知道了
右上角分享
点击右上角分享
0
联系我们:info@booksci.cn Book学术提供免费学术资源搜索服务,方便国内外学者检索中英文文献。致力于提供最便捷和优质的服务体验。 Copyright © 2023 布克学术 All rights reserved.
京ICP备2023020795号-1
ghs 京公网安备 11010802042870号
Book学术文献互助
Book学术文献互助群
群 号:604180095
Book学术官方微信