The effect of calcium hydroxide and double antibiotic paste on radiographic outcomes and periapical MMP-8 levels in regenerative endodontic procedures: a randomized clinical trial.

IF 2.6 3区 医学 Q2 DENTISTRY, ORAL SURGERY & MEDICINE
Journal of Applied Oral Science Pub Date : 2024-09-20 eCollection Date: 2024-01-01 DOI:10.1590/1678-7757-2024-0122
Burc Pekpinarli, Mehmet Emin Kaval, Dilsah Cogulu, Betul Ilhan, Timo Sorsa, Taina Tervahartiala, Ozant Oncag
{"title":"The effect of calcium hydroxide and double antibiotic paste on radiographic outcomes and periapical MMP-8 levels in regenerative endodontic procedures: a randomized clinical trial.","authors":"Burc Pekpinarli, Mehmet Emin Kaval, Dilsah Cogulu, Betul Ilhan, Timo Sorsa, Taina Tervahartiala, Ozant Oncag","doi":"10.1590/1678-7757-2024-0122","DOIUrl":null,"url":null,"abstract":"<p><strong>Objective: </strong>The primary goal is to evaluate the effects of two different intracanal medicaments, calcium hydroxide [Ca(OH)2] and double antibiotic paste (DAP), on radiographic outcomes during regenerative endodontic procedures (REP) of immature permanent mandibular first molars with symptomatic irreversible pulpitis and symptomatic apical periodontitis (SIP/SAP). Additionally, the secondary goal was to evaluate MMP-8 levels during REP using two different intracanal medicaments.</p><p><strong>Methodology: </strong>The study included 20 patients with immature mandibular first molars exhibiting SIP/SAP. Participants were randomly assigned into two groups based on the applied intracanal medicament. Ca(OH)2 (n=10) was prepared by mixing it with sterile distilled water, while the same amount of powdered metronidazole and ciprofloxacin were mixed and combined with sterile distilled water for DAP (n=10). MMP-8 in periapical samples were measured at baseline and on the 14th day using immunofluorometric assay. Image-J software with TurboReg plug-in was utilized to determine changes in root length, root width, radiographic root area (RRA) during the 12-month follow-up period. Data were analyzed by SPSS 25.0 (p<.05).</p><p><strong>Results: </strong>Significant increase in MMP-8 on the 14th day compared to baseline in both groups (p<0.001). There was no significant difference between the two groups in terms of the increase in MMP-8 (p>0.05). Root length significantly increased in both groups (p=0.001), with Ca(OH)2 showing a greater increase (p=0.046). Root width and RRA increased similarly in both groups at 12th month.</p><p><strong>Conclusion: </strong>Both Ca(OH)2 and DAP applications resulted in a significant increase in periapical MMP-8 levels. Increase in radiographic root width and root area was similar between two groups, but Ca(OH)2 led to a significantly greater increase in root length. Further studies with larger sample sizes are necessary to validate our findings during REP of vital immature permanent mandibular molars. Clinical Trials database: NCT05581706.</p>","PeriodicalId":15133,"journal":{"name":"Journal of Applied Oral Science","volume":"32 ","pages":"e20240122"},"PeriodicalIF":2.6000,"publicationDate":"2024-09-20","publicationTypes":"Journal Article","fieldsOfStudy":null,"isOpenAccess":false,"openAccessPdf":"https://www.ncbi.nlm.nih.gov/pmc/articles/PMC11464082/pdf/","citationCount":"0","resultStr":null,"platform":"Semanticscholar","paperid":null,"PeriodicalName":"Journal of Applied Oral Science","FirstCategoryId":"3","ListUrlMain":"https://doi.org/10.1590/1678-7757-2024-0122","RegionNum":3,"RegionCategory":"医学","ArticlePicture":[],"TitleCN":null,"AbstractTextCN":null,"PMCID":null,"EPubDate":"2024/1/1 0:00:00","PubModel":"eCollection","JCR":"Q2","JCRName":"DENTISTRY, ORAL SURGERY & MEDICINE","Score":null,"Total":0}
引用次数: 0

Abstract

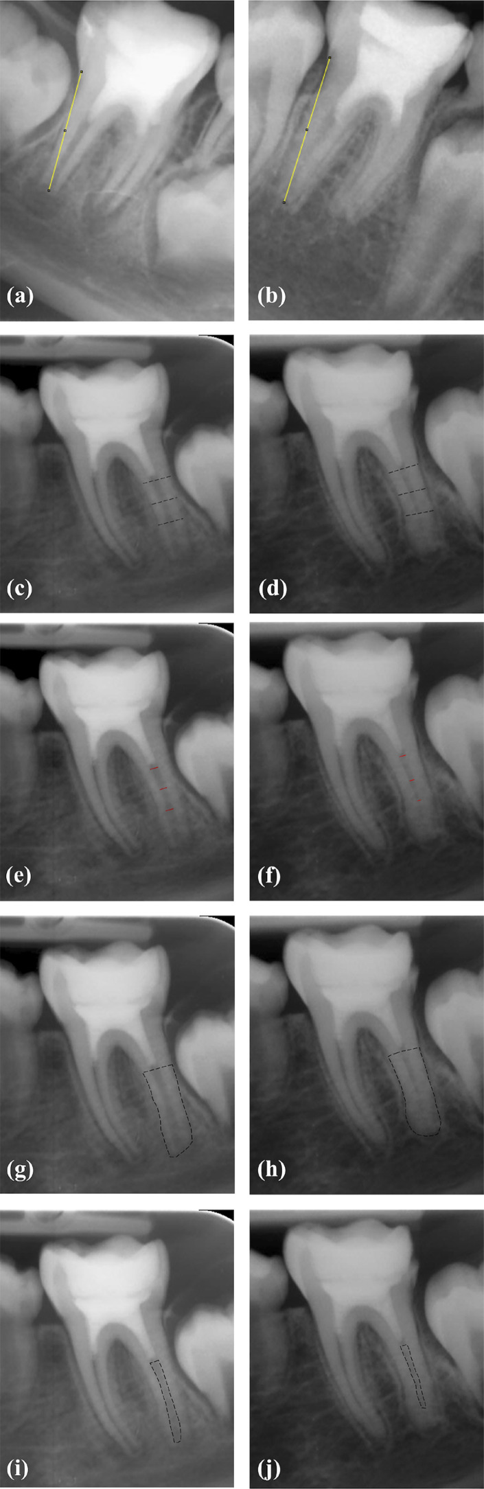
Objective: The primary goal is to evaluate the effects of two different intracanal medicaments, calcium hydroxide [Ca(OH)2] and double antibiotic paste (DAP), on radiographic outcomes during regenerative endodontic procedures (REP) of immature permanent mandibular first molars with symptomatic irreversible pulpitis and symptomatic apical periodontitis (SIP/SAP). Additionally, the secondary goal was to evaluate MMP-8 levels during REP using two different intracanal medicaments.

Methodology: The study included 20 patients with immature mandibular first molars exhibiting SIP/SAP. Participants were randomly assigned into two groups based on the applied intracanal medicament. Ca(OH)2 (n=10) was prepared by mixing it with sterile distilled water, while the same amount of powdered metronidazole and ciprofloxacin were mixed and combined with sterile distilled water for DAP (n=10). MMP-8 in periapical samples were measured at baseline and on the 14th day using immunofluorometric assay. Image-J software with TurboReg plug-in was utilized to determine changes in root length, root width, radiographic root area (RRA) during the 12-month follow-up period. Data were analyzed by SPSS 25.0 (p<.05).

Results: Significant increase in MMP-8 on the 14th day compared to baseline in both groups (p<0.001). There was no significant difference between the two groups in terms of the increase in MMP-8 (p>0.05). Root length significantly increased in both groups (p=0.001), with Ca(OH)2 showing a greater increase (p=0.046). Root width and RRA increased similarly in both groups at 12th month.

Conclusion: Both Ca(OH)2 and DAP applications resulted in a significant increase in periapical MMP-8 levels. Increase in radiographic root width and root area was similar between two groups, but Ca(OH)2 led to a significantly greater increase in root length. Further studies with larger sample sizes are necessary to validate our findings during REP of vital immature permanent mandibular molars. Clinical Trials database: NCT05581706.

Abstract Image

Abstract Image

Abstract Image

氢氧化钙和双抗生素糊剂对再生根管治疗过程中放射学结果和根尖周 MMP-8 水平的影响:随机临床试验。
目的:主要目的是评估两种不同的牙髓内药物(氢氧化钙[Ca(OH)2]和双抗生素糊剂(DAP))对患有症状性不可逆牙髓炎和症状性根尖牙周炎(SIP/SAP)的未成熟下颌第一恒磨牙再生根管治疗术(REP)的影像学结果的影响。此外,次要目标是评估在使用两种不同的根管内药物进行 REP 期间的 MMP-8 水平:研究对象包括 20 名表现出 SIP/SAP 的未成熟下颌第一磨牙患者。根据应用的龋内药物将参与者随机分为两组。将 Ca(OH)2 与无菌蒸馏水混合配制成 Ca(OH)2(10 人),而将相同数量的甲硝唑和环丙沙星粉末与无菌蒸馏水混合配制成 DAP(10 人)。在基线和第 14 天使用免疫荧光测定法测量根尖周样本中的 MMP-8。使用带有 TurboReg 插件的 Image-J 软件确定 12 个月随访期间根长、根宽和放射根面积 (RRA) 的变化。数据由 SPSS 25.0 进行分析(pResults:与基线相比,两组的 MMP-8 在第 14 天均显著增加(p0.05)。两组的根长均有明显增加(p=0.001),其中 Ca(OH)2 的增加幅度更大(p=0.046)。在第 12 个月时,两组的根宽和 RRA 增长情况相似:结论:使用 Ca(OH)2 和 DAP 都会导致根尖周 MMP-8 水平的显著增加。两组牙根宽度和牙根面积的增加情况相似,但 Ca(OH)2 使牙根长度明显增加。在对重要的未成熟下颌恒磨牙进行 REP 时,有必要进行样本量更大的进一步研究,以验证我们的发现。临床试验数据库:NCT05581706。
本文章由计算机程序翻译,如有差异,请以英文原文为准。
求助全文
约1分钟内获得全文 求助全文
来源期刊
Journal of Applied Oral Science
Journal of Applied Oral Science 医学-牙科与口腔外科
CiteScore
4.80
自引率
3.70%
发文量
46
审稿时长
4-8 weeks
期刊介绍: The Journal of Applied Oral Science is committed in publishing the scientific and technologic advances achieved by the dental community, according to the quality indicators and peer reviewed material, with the objective of assuring its acceptability at the local, regional, national and international levels. The primary goal of The Journal of Applied Oral Science is to publish the outcomes of original investigations as well as invited case reports and invited reviews in the field of Dentistry and related areas.
×
引用
GB/T 7714-2015
复制
MLA
复制
APA
复制
导出至
BibTeX EndNote RefMan NoteFirst NoteExpress
×
提示
您的信息不完整,为了账户安全,请先补充。
现在去补充
×
提示
您因"违规操作"
具体请查看互助需知
我知道了
×
提示
确定
请完成安全验证×
copy
已复制链接
快去分享给好友吧!
我知道了
右上角分享
点击右上角分享
0
联系我们:info@booksci.cn Book学术提供免费学术资源搜索服务,方便国内外学者检索中英文文献。致力于提供最便捷和优质的服务体验。 Copyright © 2023 布克学术 All rights reserved.
京ICP备2023020795号-1
ghs 京公网安备 11010802042870号
Book学术文献互助
Book学术文献互助群
群 号:604180095
Book学术官方微信