Protective effect of long-chain polyunsaturated fatty acids on hepatorenal syndrome in rats.

João Bruno Beretta Duailibe, Cassiana Macagnan Viau, Jenifer Saffi, Sabrina Alves Fernandes, Marilene Porawski
{"title":"Protective effect of long-chain polyunsaturated fatty acids on hepatorenal syndrome in rats.","authors":"João Bruno Beretta Duailibe, Cassiana Macagnan Viau, Jenifer Saffi, Sabrina Alves Fernandes, Marilene Porawski","doi":"10.5527/wjn.v13.i3.95627","DOIUrl":null,"url":null,"abstract":"<p><strong>Background: </strong>Hepatorenal syndrome (HRS) is the most prevalent form of acute kidney injury in cirrhotic patients. It is characterized by reduced renal blood flow and represents the most severe complication in cirrhotic patients with advanced disease. Previous research has indicated that antioxidants can delay the onset of a hyperdynamic circulatory state in cirrhosis and improve renal function in HRS patients. Regular omega-3 supplementation has significantly reduced the risk of liver disease. This supplementation could represent an additional therapy for individuals with HRS.</p><p><strong>Aim: </strong>To evaluated the antioxidant effect of omega-3 polyunsaturated fatty acid supplementation on the kidneys of cirrhotic rats.</p><p><strong>Methods: </strong>Secondary biliary cirrhosis was induced in rats by biliary duct ligation (BDL) for 28 d. We used 24 male Wistar rats divided into the following groups: I (control); II (treated with omega-3, 1 g/kg of body weight); III (BDL treated with omega-3, 1 g/kg of body weight); and IV (BDL without treatment). The animals were killed by overdose of anesthetic; the kidneys were dissected, removed, frozen in liquid nitrogen, and stored in a freezer at -80℃ for later analysis. We evaluated oxidative stress, nitric oxide (NO) metabolites, DNA damage by the comet assay, cell viability test, and apoptosis in the kidneys. Data were analyzed by one-way analysis of variance, and means were compared using the Tukey test, with <i>P</i> ≤ 0.05.</p><p><strong>Results: </strong>Omega-3 significantly decreased the production of reactive oxygen species (<i>P</i> < 0.001) and lipoperoxidation in the kidneys of cirrhotic rats treated with omega-3 (<i>P</i> < 0.001). The activity of the antioxidant enzymes superoxide dismutase and catalase increased in the BDL+omega-3 group compared to the BDL group (<i>P</i> < 0.01). NO production, DNA damage, and caspase-9 cleavage decreased significantly in the omega-3-treated BDL group. There was an increase in mitochondrial electrochemical potential (<i>P</i> < 0.001) in BDL treated with omega-3 compared to BDL. No changes in the cell survival index in HRS with omega-3 compared to the control group (<i>P</i> > 0.05) were observed.</p><p><strong>Conclusion: </strong>The study demonstrates that omega-3 can protect cellular integrity and function by increasing antioxidant enzymes, inhibiting the formation of free radicals, and reducing apoptosis.</p>","PeriodicalId":94272,"journal":{"name":"World journal of nephrology","volume":"13 3","pages":"95627"},"PeriodicalIF":0.0000,"publicationDate":"2024-09-25","publicationTypes":"Journal Article","fieldsOfStudy":null,"isOpenAccess":false,"openAccessPdf":"https://www.ncbi.nlm.nih.gov/pmc/articles/PMC11439093/pdf/","citationCount":"0","resultStr":null,"platform":"Semanticscholar","paperid":null,"PeriodicalName":"World journal of nephrology","FirstCategoryId":"1085","ListUrlMain":"https://doi.org/10.5527/wjn.v13.i3.95627","RegionNum":0,"RegionCategory":null,"ArticlePicture":[],"TitleCN":null,"AbstractTextCN":null,"PMCID":null,"EPubDate":"","PubModel":"","JCR":"","JCRName":"","Score":null,"Total":0}
引用次数: 0

Abstract

Background: Hepatorenal syndrome (HRS) is the most prevalent form of acute kidney injury in cirrhotic patients. It is characterized by reduced renal blood flow and represents the most severe complication in cirrhotic patients with advanced disease. Previous research has indicated that antioxidants can delay the onset of a hyperdynamic circulatory state in cirrhosis and improve renal function in HRS patients. Regular omega-3 supplementation has significantly reduced the risk of liver disease. This supplementation could represent an additional therapy for individuals with HRS.

Aim: To evaluated the antioxidant effect of omega-3 polyunsaturated fatty acid supplementation on the kidneys of cirrhotic rats.

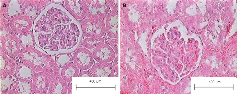
Methods: Secondary biliary cirrhosis was induced in rats by biliary duct ligation (BDL) for 28 d. We used 24 male Wistar rats divided into the following groups: I (control); II (treated with omega-3, 1 g/kg of body weight); III (BDL treated with omega-3, 1 g/kg of body weight); and IV (BDL without treatment). The animals were killed by overdose of anesthetic; the kidneys were dissected, removed, frozen in liquid nitrogen, and stored in a freezer at -80℃ for later analysis. We evaluated oxidative stress, nitric oxide (NO) metabolites, DNA damage by the comet assay, cell viability test, and apoptosis in the kidneys. Data were analyzed by one-way analysis of variance, and means were compared using the Tukey test, with P ≤ 0.05.

Results: Omega-3 significantly decreased the production of reactive oxygen species (P < 0.001) and lipoperoxidation in the kidneys of cirrhotic rats treated with omega-3 (P < 0.001). The activity of the antioxidant enzymes superoxide dismutase and catalase increased in the BDL+omega-3 group compared to the BDL group (P < 0.01). NO production, DNA damage, and caspase-9 cleavage decreased significantly in the omega-3-treated BDL group. There was an increase in mitochondrial electrochemical potential (P < 0.001) in BDL treated with omega-3 compared to BDL. No changes in the cell survival index in HRS with omega-3 compared to the control group (P > 0.05) were observed.

Conclusion: The study demonstrates that omega-3 can protect cellular integrity and function by increasing antioxidant enzymes, inhibiting the formation of free radicals, and reducing apoptosis.

Abstract Image

Abstract Image

Abstract Image

长链多不饱和脂肪酸对大鼠肝肾综合征的保护作用
背景:肝肾综合征(HRS)是肝硬化患者最常见的急性肾损伤形式。其特点是肾血流量减少,是晚期肝硬化患者最严重的并发症。以往的研究表明,抗氧化剂可以延缓肝硬化高动力循环状态的发生,并改善 HRS 患者的肾功能。定期补充欧米伽-3能显著降低肝病风险。目的:评估补充欧米伽-3 多不饱和脂肪酸对肝硬化大鼠肾脏的抗氧化作用:方法:用胆管结扎法(BDL)诱导大鼠继发性胆汁性肝硬化 28 d:I组(对照组);II组(使用欧米伽-3治疗,每公斤体重1克);III组(使用欧米伽-3进行胆管结扎,每公斤体重1克);IV组(未进行胆管结扎治疗)。动物被过量麻醉剂杀死,解剖并取出肾脏,冷冻在液氮中,并保存在-80℃的冰箱中,以备日后分析。我们评估了肾脏中的氧化应激、一氧化氮(NO)代谢物、彗星试验DNA损伤、细胞存活率测试和细胞凋亡。数据采用单因素方差分析,均值比较采用Tukey检验,P≤0.05:结果:欧米茄-3能明显减少肝硬化大鼠肾脏中活性氧的产生(P < 0.001)和脂肪过氧化反应(P < 0.001)。与 BDL 组相比,BDL+omega-3 组的抗氧化酶超氧化物歧化酶和过氧化氢酶的活性有所提高(P < 0.01)。在欧米伽-3处理的BDL组中,NO生成、DNA损伤和caspase-9裂解显著减少。与 BDL 相比,用欧米伽-3 处理的 BDL 的线粒体电化学电位升高(P < 0.001)。与对照组相比,使用欧米伽-3的HRS的细胞存活指数没有变化(P > 0.05):该研究表明,欧米伽-3可通过增加抗氧化酶、抑制自由基的形成和减少细胞凋亡来保护细胞的完整性和功能。
本文章由计算机程序翻译,如有差异,请以英文原文为准。
求助全文
约1分钟内获得全文 求助全文
来源期刊
CiteScore
3.40
自引率
0.00%
发文量
0
×
引用
GB/T 7714-2015
复制
MLA
复制
APA
复制
导出至
BibTeX EndNote RefMan NoteFirst NoteExpress
×
提示
您的信息不完整,为了账户安全,请先补充。
现在去补充
×
提示
您因"违规操作"
具体请查看互助需知
我知道了
×
提示
确定
请完成安全验证×
copy
已复制链接
快去分享给好友吧!
我知道了
右上角分享
点击右上角分享
0
联系我们:info@booksci.cn Book学术提供免费学术资源搜索服务,方便国内外学者检索中英文文献。致力于提供最便捷和优质的服务体验。 Copyright © 2023 布克学术 All rights reserved.
京ICP备2023020795号-1
ghs 京公网安备 11010802042870号
Book学术文献互助
Book学术文献互助群
群 号:604180095
Book学术官方微信