Clinical utility of bedside Contrast-Enhanced Ultrasound (CEUS) in the diagnosis of pneumonia in elderly patients: Comparison with clinical, -radiological and ultrasound diagnosis.

IF 1.6 Q3 RESPIRATORY SYSTEM
Francesco Giangregorio, Emilio Mosconi, Maria Grazia Debellis, Stella Provini, Ciro Esposito, Manuela Mendozza, Rita Raccanelli, Luigi Maresca, Sara Cinquini, Francesco Tursi
{"title":"Clinical utility of bedside Contrast-Enhanced Ultrasound (CEUS) in the diagnosis of pneumonia in elderly patients: Comparison with clinical, -radiological and ultrasound diagnosis.","authors":"Francesco Giangregorio, Emilio Mosconi, Maria Grazia Debellis, Stella Provini, Ciro Esposito, Manuela Mendozza, Rita Raccanelli, Luigi Maresca, Sara Cinquini, Francesco Tursi","doi":"10.5826/mrm.2024.967","DOIUrl":null,"url":null,"abstract":"<p><strong>Aims: </strong>to measure the clinical impact of contrast-enhanced ultrasound (CEUS) in the diagnosis of -community-acquired pneumonia (CAP), compared to clinical, radiological and ultrasound diagnosis.</p><p><strong>Methods: </strong>84 patients (47/37 males/females, mean age:78,57±11,7 Y) with clinical suspicion of pneumonia and with ultrasound findings of peripheral lung lesions, were investigated with CEUS for a better characterization. Final diagnosis of 65 cap was obtained with complete disappearance of symptoms and pulmonary nodule(s); 19 neoplasms: 16 patients performed histologically with bronchoscopy; 3 refused (non-invasive diagnosis with basal CT-scan and positron emission tomography (PET) with fluorodeoxyglucose (FDG)). Sensitivity, specificity, overall diagnostic accuracy (ODA) (and corresponding AUROC) of clinical-data (CD), chest X-ray(CXR), Lung-ultrasound(LUS), CEUS were calculated with SPSS 26.0 software.</p><p><strong>Results: </strong>Final diagnosis: 65 CAP, and 19 chest cancers. 9/65 (13%) patients died, of these 7/9 with older age and heart disease as comorbidity. CD: True-Positive (TP):23, True-negative (TN): 17; False-Positive (FP):2; False-negative (FN):42 (sens:35,4% spec:89,5% ODA10%: PPV:92%, NPV:28,8%) (AUROC±SEauc:0,46±0,076); CXR: TP: 36, TN:14; FP:5, FN:29; (sens: 55,4%; spec: 73,7%; ODA: 32%; PPV:87,5%, NPV:32,66%) (AUROC±SEauc:0,645±0,068). US: TP:59; TN: 14; FP:5, FN:6 (sens: 90,8%, spec: 73,7%, ODA: 84,9%, PPV:92,2%, NPV:70%) (AUROC±SEauc:0,9417±0,024); CEUS: TP: 63; TN: 19; FP:0; FN:2 (sens: 96,9%; spec: 100% ODA: 97,5%; PPV: 100%, NPV:90,5%) (AUROC±SEauc:0,98±0,01).</p><p><strong>Conclusions: </strong>Clinical-data and chest X-RAYS are insufficient to obtain a correct diagnosis of CAP in elderly population; US demonstrated a good accuracy to establish CAP, but with a relatively low specificity; in these cases, CEUS is able to give a correct characterization, allowing you to save the need for a chest contrast-enhanced-CT (CECT).</p>","PeriodicalId":51135,"journal":{"name":"Multidisciplinary Respiratory Medicine","volume":"19 ","pages":""},"PeriodicalIF":1.6000,"publicationDate":"2024-10-01","publicationTypes":"Journal Article","fieldsOfStudy":null,"isOpenAccess":false,"openAccessPdf":"https://www.ncbi.nlm.nih.gov/pmc/articles/PMC11482042/pdf/","citationCount":"0","resultStr":null,"platform":"Semanticscholar","paperid":null,"PeriodicalName":"Multidisciplinary Respiratory Medicine","FirstCategoryId":"1085","ListUrlMain":"https://doi.org/10.5826/mrm.2024.967","RegionNum":0,"RegionCategory":null,"ArticlePicture":[],"TitleCN":null,"AbstractTextCN":null,"PMCID":null,"EPubDate":"","PubModel":"","JCR":"Q3","JCRName":"RESPIRATORY SYSTEM","Score":null,"Total":0}
引用次数: 0

Abstract

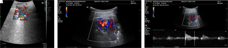
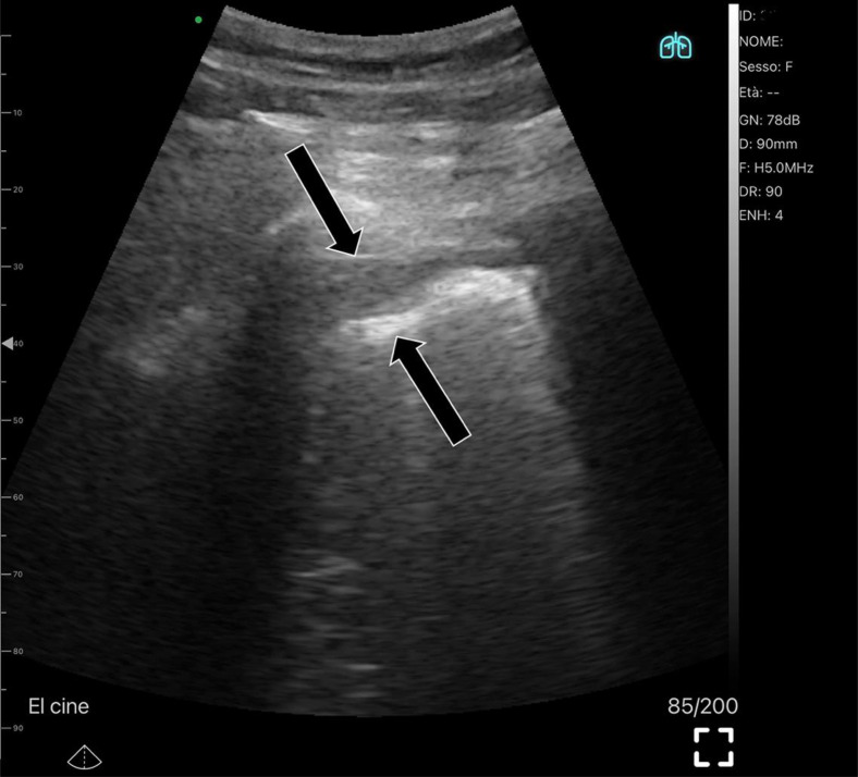
Aims: to measure the clinical impact of contrast-enhanced ultrasound (CEUS) in the diagnosis of -community-acquired pneumonia (CAP), compared to clinical, radiological and ultrasound diagnosis.

Methods: 84 patients (47/37 males/females, mean age:78,57±11,7 Y) with clinical suspicion of pneumonia and with ultrasound findings of peripheral lung lesions, were investigated with CEUS for a better characterization. Final diagnosis of 65 cap was obtained with complete disappearance of symptoms and pulmonary nodule(s); 19 neoplasms: 16 patients performed histologically with bronchoscopy; 3 refused (non-invasive diagnosis with basal CT-scan and positron emission tomography (PET) with fluorodeoxyglucose (FDG)). Sensitivity, specificity, overall diagnostic accuracy (ODA) (and corresponding AUROC) of clinical-data (CD), chest X-ray(CXR), Lung-ultrasound(LUS), CEUS were calculated with SPSS 26.0 software.

Results: Final diagnosis: 65 CAP, and 19 chest cancers. 9/65 (13%) patients died, of these 7/9 with older age and heart disease as comorbidity. CD: True-Positive (TP):23, True-negative (TN): 17; False-Positive (FP):2; False-negative (FN):42 (sens:35,4% spec:89,5% ODA10%: PPV:92%, NPV:28,8%) (AUROC±SEauc:0,46±0,076); CXR: TP: 36, TN:14; FP:5, FN:29; (sens: 55,4%; spec: 73,7%; ODA: 32%; PPV:87,5%, NPV:32,66%) (AUROC±SEauc:0,645±0,068). US: TP:59; TN: 14; FP:5, FN:6 (sens: 90,8%, spec: 73,7%, ODA: 84,9%, PPV:92,2%, NPV:70%) (AUROC±SEauc:0,9417±0,024); CEUS: TP: 63; TN: 19; FP:0; FN:2 (sens: 96,9%; spec: 100% ODA: 97,5%; PPV: 100%, NPV:90,5%) (AUROC±SEauc:0,98±0,01).

Conclusions: Clinical-data and chest X-RAYS are insufficient to obtain a correct diagnosis of CAP in elderly population; US demonstrated a good accuracy to establish CAP, but with a relatively low specificity; in these cases, CEUS is able to give a correct characterization, allowing you to save the need for a chest contrast-enhanced-CT (CECT).

Abstract Image

Abstract Image

Abstract Image

床旁对比增强超声(CEUS)在老年患者肺炎诊断中的临床实用性:与临床、放射学和超声诊断的比较。
目的:与临床、放射学和超声诊断相比,衡量对比增强超声(CEUS)在诊断社区获得性肺炎(CAP)中的临床影响。方法:对 84 例临床怀疑为肺炎并经超声检查发现周围肺部病变的患者(47/37 男/女,平均年龄:78,57±11,7 Y)进行 CEUS 检查,以更好地确定病变特征。最终确诊 65 例患者的症状和肺结节完全消失,其中 19 例为肿瘤:16 名患者通过支气管镜进行了组织学检查;3 名患者拒绝接受检查(通过基础 CT 扫描和含氟脱氧葡萄糖(FDG)的正电子发射断层扫描(PET)进行无创诊断)。用 SPSS 26.0 软件计算了临床数据(CD)、胸部 X 光(CXR)、肺部超声(LUS)和 CEUS 的敏感性、特异性、总体诊断准确性(ODA)(以及相应的 AUROC):最终诊断:65 例 CAP,19 例胸部肿瘤。9/65(13%)名患者死亡,其中 7/9 合并有老年和心脏病。CD:真阳性(TP):23,真阴性(TN):17;假阳性(FP):2;假阴性(FN):42(感度:35,4%,标度:89,5%,ODA10%:PPV:92%,NPV:28,8%) (AUROC±SEauc:0,46±0,076); CXR: TP: 36, TN:14; FP:5, FN:29; (sens: 55,4%; spec: 73,7%; ODA: 32%; PPV:87,5%, NPV:32,66%) (AUROC±SEauc:0,645±0,068).美国TP:59;TN:14;FP:5,FN:6(感觉:90,8%,规格:73,7%,ODA:84,9%,PPV:92,2%,NPV:70%)(AUROC±SEauc:0,9417±0,024);CEUS:TP:63;TN:19;FP:0;FN:2(感觉:96.9%;规格:100% ODA:97.5%;PPV:100%,NPV:90.5%)(AUROC±SEauc:0.98±0.01)。结论临床数据和胸部 X 射线不足以正确诊断老年人群中的 CAP;US 显示了确定 CAP 的良好准确性,但特异性相对较低;在这些病例中,CEUS 能够给出正确的特征,使您无需进行胸部对比增强 CT (CECT)。
本文章由计算机程序翻译,如有差异,请以英文原文为准。
求助全文
约1分钟内获得全文 求助全文
来源期刊
CiteScore
4.40
自引率
0.00%
发文量
23
审稿时长
>12 weeks
期刊介绍: Multidisciplinary Respiratory Medicine is the official journal of the Italian Respiratory Society - Società Italiana di Pneumologia (IRS/SIP). The journal publishes on all aspects of respiratory medicine and related fields, with a particular focus on interdisciplinary and translational research. The interdisciplinary nature of the journal provides a unique opportunity for researchers, clinicians and healthcare professionals across specialties to collaborate and exchange information. The journal provides a high visibility platform for the publication and dissemination of top quality original scientific articles, reviews and important position papers documenting clinical and experimental advances.
×
引用
GB/T 7714-2015
复制
MLA
复制
APA
复制
导出至
BibTeX EndNote RefMan NoteFirst NoteExpress
×
提示
您的信息不完整,为了账户安全,请先补充。
现在去补充
×
提示
您因"违规操作"
具体请查看互助需知
我知道了
×
提示
确定
请完成安全验证×
copy
已复制链接
快去分享给好友吧!
我知道了
右上角分享
点击右上角分享
0
联系我们:info@booksci.cn Book学术提供免费学术资源搜索服务,方便国内外学者检索中英文文献。致力于提供最便捷和优质的服务体验。 Copyright © 2023 布克学术 All rights reserved.
京ICP备2023020795号-1
ghs 京公网安备 11010802042870号
Book学术文献互助
Book学术文献互助群
群 号:604180095
Book学术官方微信