[Hypophisitis in pregnant women with persistent diabetes insipidus in the outcome].

L K Dzeranova, E A Pigarova, S Yu Vorotnikova, A A Voznesenskaya
{"title":"[Hypophisitis in pregnant women with persistent diabetes insipidus in the outcome].","authors":"L K Dzeranova, E A Pigarova, S Yu Vorotnikova, A A Voznesenskaya","doi":"10.14341/probl13384","DOIUrl":null,"url":null,"abstract":"<p><p>Autoimmune/lymphocytic hypophysitis is one of the rare causes of central diabetes insipidus in adults and is most common among women in the second or third trimester of pregnancy. Numerous studies have shown that lymphocytic hypophysitis is characterized by a very variable clinical signs with the development of neurological symptoms, visual disturbances and hypopituitarism with partial or complete loss of pituitary function, as well as a number of features in magnetic resonance imaging (MRI). Isolated lymphocytic indibuloneurohypophysitis occurs in fewer cases and involves the posterior lobe and stalk of the pituitary gland with a clinical presentation of diabetes insipidus. The above clinical case describes the development of hypophysitis in a pregnant woman with a predominant lesion of the posterior pituitary gland and an outcome in diabetes insipidus, which persists 6 years after pregnancy and childbirth. In the article some aspects of the differential diagnosis of diabetes insipidus in pregnant women, as well as instrumental diagnosis and treatment approaches of hypophysitis are discussed.</p>","PeriodicalId":101419,"journal":{"name":"Problemy endokrinologii","volume":"70 4","pages":"15-23"},"PeriodicalIF":0.0000,"publicationDate":"2024-09-15","publicationTypes":"Journal Article","fieldsOfStudy":null,"isOpenAccess":false,"openAccessPdf":"https://www.ncbi.nlm.nih.gov/pmc/articles/PMC11551802/pdf/","citationCount":"0","resultStr":null,"platform":"Semanticscholar","paperid":null,"PeriodicalName":"Problemy endokrinologii","FirstCategoryId":"1085","ListUrlMain":"https://doi.org/10.14341/probl13384","RegionNum":0,"RegionCategory":null,"ArticlePicture":[],"TitleCN":null,"AbstractTextCN":null,"PMCID":null,"EPubDate":"","PubModel":"","JCR":"","JCRName":"","Score":null,"Total":0}
引用次数: 0

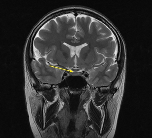
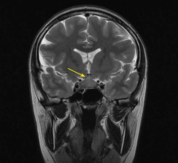
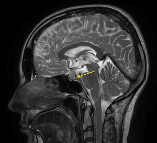
Abstract

Autoimmune/lymphocytic hypophysitis is one of the rare causes of central diabetes insipidus in adults and is most common among women in the second or third trimester of pregnancy. Numerous studies have shown that lymphocytic hypophysitis is characterized by a very variable clinical signs with the development of neurological symptoms, visual disturbances and hypopituitarism with partial or complete loss of pituitary function, as well as a number of features in magnetic resonance imaging (MRI). Isolated lymphocytic indibuloneurohypophysitis occurs in fewer cases and involves the posterior lobe and stalk of the pituitary gland with a clinical presentation of diabetes insipidus. The above clinical case describes the development of hypophysitis in a pregnant woman with a predominant lesion of the posterior pituitary gland and an outcome in diabetes insipidus, which persists 6 years after pregnancy and childbirth. In the article some aspects of the differential diagnosis of diabetes insipidus in pregnant women, as well as instrumental diagnosis and treatment approaches of hypophysitis are discussed.

Abstract Image

Abstract Image

Abstract Image

[妊娠合并顽固性尿崩症孕妇的尿道下裂]。
自身免疫/淋巴细胞性腺功能减退症是导致成人中枢性糖尿病的罕见病因之一,在妊娠第二或第三季度的妇女中最为常见。大量研究表明,淋巴细胞性肾上腺皮质功能减退症的临床表现非常多变,会出现神经系统症状、视力障碍和垂体功能减退,垂体功能部分或完全丧失,磁共振成像(MRI)也有一些特征。孤立性淋巴细胞性垂体后叶和垂体柄炎发生率较低,临床表现为尿崩症。上述临床病例描述了一名孕妇患上以垂体后叶病变为主的垂体功能减退症,并在妊娠和分娩后 6 年仍患上糖尿病。文章讨论了孕妇糖尿病性脂质减少症的鉴别诊断、仪器诊断和治疗方法。
本文章由计算机程序翻译,如有差异,请以英文原文为准。
求助全文
约1分钟内获得全文 求助全文
来源期刊
自引率
0.00%
发文量
0
×
引用
GB/T 7714-2015
复制
MLA
复制
APA
复制
导出至
BibTeX EndNote RefMan NoteFirst NoteExpress
×
提示
您的信息不完整,为了账户安全,请先补充。
现在去补充
×
提示
您因"违规操作"
具体请查看互助需知
我知道了
×
提示
确定
请完成安全验证×
copy
已复制链接
快去分享给好友吧!
我知道了
右上角分享
点击右上角分享
0
联系我们:info@booksci.cn Book学术提供免费学术资源搜索服务,方便国内外学者检索中英文文献。致力于提供最便捷和优质的服务体验。 Copyright © 2023 布克学术 All rights reserved.
京ICP备2023020795号-1
ghs 京公网安备 11010802042870号
Book学术文献互助
Book学术文献互助群
群 号:604180095
Book学术官方微信