Is there added value of the hepatobiliary phase of MRI with hepatobiliary contrast agents for hepatocellular carcinoma diagnosis? A meta-analysis.

Polish journal of radiology Pub Date : 2024-08-19 eCollection Date: 2024-01-01 DOI:10.5114/pjr/189614
Dorota Rybczynska, Karolina Markiet, Joanna Pienkowska, Andrzej Frydrychowski
{"title":"Is there added value of the hepatobiliary phase of MRI with hepatobiliary contrast agents for hepatocellular carcinoma diagnosis? A meta-analysis.","authors":"Dorota Rybczynska, Karolina Markiet, Joanna Pienkowska, Andrzej Frydrychowski","doi":"10.5114/pjr/189614","DOIUrl":null,"url":null,"abstract":"<p><strong>Purpose: </strong>So far, there have been published several meta-analyses which focused on hepatocellular carcinoma (HCC) detection with hepatobiliary phase (HBP) contrast agents. However, only a few of them aimed at establishing whether there is any added value of the HBP itself for HCC diagnosis. To answer the question, we performed a systematic literature search with the time limit going back to 2010.</p><p><strong>Material and methods: </strong>True positive, false positive, false negative, and true negative values with and without the HBP were extracted from the included studies. Pooled sensitivities and specificities with and without the HBP were calculated and summary receiver operating characteristics curves were drawn to assess the diagnostic performance of the studies with and without the HBP.</p><p><strong>Results: </strong>A total of 13 studies were included involving 1184 HCC lesions. In 13 studies without the HBP, the pooled sensitivity, specificity, and area under the curve (AUC) were 0.83, 0.89 and 0.94 respectively. In 13 studies with the HBP, the pooled sensitivity, specificity and AUC were 0.91, 0.85 and 0.98 respectively.</p><p><strong>Conclusions: </strong>We found no statistically significant differences in sensitivities between studies with and without the HBP (<i>p</i> = 0.1651).</p>","PeriodicalId":94174,"journal":{"name":"Polish journal of radiology","volume":"89 ","pages":"e402-e413"},"PeriodicalIF":0.0000,"publicationDate":"2024-08-19","publicationTypes":"Journal Article","fieldsOfStudy":null,"isOpenAccess":false,"openAccessPdf":"https://www.ncbi.nlm.nih.gov/pmc/articles/PMC11384218/pdf/","citationCount":"0","resultStr":null,"platform":"Semanticscholar","paperid":null,"PeriodicalName":"Polish journal of radiology","FirstCategoryId":"1085","ListUrlMain":"https://doi.org/10.5114/pjr/189614","RegionNum":0,"RegionCategory":null,"ArticlePicture":[],"TitleCN":null,"AbstractTextCN":null,"PMCID":null,"EPubDate":"2024/1/1 0:00:00","PubModel":"eCollection","JCR":"","JCRName":"","Score":null,"Total":0}
引用次数: 0

Abstract

Purpose: So far, there have been published several meta-analyses which focused on hepatocellular carcinoma (HCC) detection with hepatobiliary phase (HBP) contrast agents. However, only a few of them aimed at establishing whether there is any added value of the HBP itself for HCC diagnosis. To answer the question, we performed a systematic literature search with the time limit going back to 2010.

Material and methods: True positive, false positive, false negative, and true negative values with and without the HBP were extracted from the included studies. Pooled sensitivities and specificities with and without the HBP were calculated and summary receiver operating characteristics curves were drawn to assess the diagnostic performance of the studies with and without the HBP.

Results: A total of 13 studies were included involving 1184 HCC lesions. In 13 studies without the HBP, the pooled sensitivity, specificity, and area under the curve (AUC) were 0.83, 0.89 and 0.94 respectively. In 13 studies with the HBP, the pooled sensitivity, specificity and AUC were 0.91, 0.85 and 0.98 respectively.

Conclusions: We found no statistically significant differences in sensitivities between studies with and without the HBP (p = 0.1651).

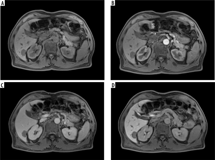
Abstract Image

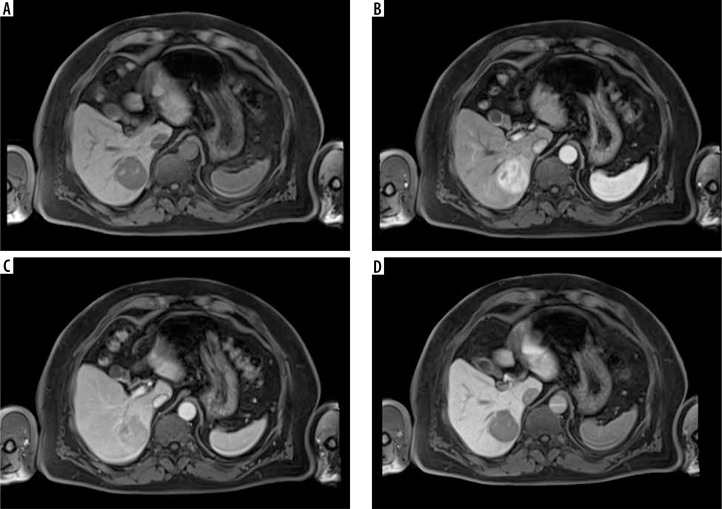
Abstract Image

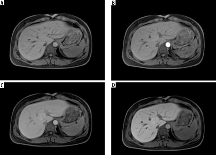
Abstract Image

使用肝胆造影剂的磁共振成像肝胆期对肝细胞癌诊断有附加价值吗?一项荟萃分析。
目的:迄今为止,已经发表了几项荟萃分析,重点关注肝胆相(HBP)造影剂对肝细胞癌(HCC)的检测。然而,只有少数研究旨在确定 HBP 本身是否对 HCC 诊断有任何附加价值。为了回答这个问题,我们进行了一次系统的文献检索,时限追溯到 2010 年:从纳入的研究中提取了有无 HBP 的真阳性、假阳性、假阴性和真阴性值。计算使用和未使用 HBP 的汇总敏感性和特异性,并绘制接收器操作特征曲线,以评估使用和未使用 HBP 的研究的诊断性能:结果:共纳入了 13 项研究,涉及 1184 例 HCC 病变。在 13 项未使用 HBP 的研究中,汇总的灵敏度、特异性和曲线下面积(AUC)分别为 0.83、0.89 和 0.94。在 13 项使用 HBP 的研究中,汇总的灵敏度、特异性和 AUC 分别为 0.91、0.85 和 0.98:我们发现,使用和不使用 HBP 的研究在灵敏度方面没有明显的统计学差异(p = 0.1651)。
本文章由计算机程序翻译,如有差异,请以英文原文为准。
求助全文
约1分钟内获得全文 求助全文
来源期刊
CiteScore
2.10
自引率
0.00%
发文量
0
×
引用
GB/T 7714-2015
复制
MLA
复制
APA
复制
导出至
BibTeX EndNote RefMan NoteFirst NoteExpress
×
提示
您的信息不完整,为了账户安全,请先补充。
现在去补充
×
提示
您因"违规操作"
具体请查看互助需知
我知道了
×
提示
确定
请完成安全验证×
copy
已复制链接
快去分享给好友吧!
我知道了
右上角分享
点击右上角分享
0
联系我们:info@booksci.cn Book学术提供免费学术资源搜索服务,方便国内外学者检索中英文文献。致力于提供最便捷和优质的服务体验。 Copyright © 2023 布克学术 All rights reserved.
京ICP备2023020795号-1
ghs 京公网安备 11010802042870号
Book学术文献互助
Book学术文献互助群
群 号:604180095
Book学术官方微信